Chondro-osseous tumours
Chondro-osseous tumours occasionally cross the desk of the pathologist. They are grouped together as bone may develop from cartilage.
Primary bone tumours are rare; the most common bone tumour is metastases.[1]
Bone tumours occasionally are lumped with soft tissue tumours. Soft tissue tumours are dealt with in the soft tissue lesions article. An introduction to bone is found in the bone article. An introduction to cartilage is found in the cartilage article.
General
- Diagnosis of a primary bone tumour should not be made without radiologic & clinical information!
- Metastasis:primary bone tumours = >20:1.[1]
Common malignant
- Osteosarcoma.
- Chondrosarcoma.
- Ewing's sarcoma.
- Multiple myeloma.
- Metastases.
- Most common tumours metastatic to bone (mnemonic: BLT with Ketchup & Pickles):
Epidemiology:[2]
- Osteosarcoma -> 2nd decade.
- Ewing's ->5-20 yrs.
- Chondrosarcoma -> from enchondroma or osteochrondroma -- patients over 40 yrs.
- Multiple myeloma -> most common primary bone tumour in adults.
Malignant bone tumours by age
Most common by age:[2]
- <1 year old - neuroblastoma.
- 1-10 years old - Ewing's of tubular bones.
- 10-30 years old - osteosarcoma, Ewing's of flat bones.
- 30-40 years old - reticulum cell sarcoma, fibrosarcoma, parosteal osteosarcoma, malignant giant cell tumour, lymphoma.
- >40 years old - mets, multiple myeloma, chondrosarcoma.
Benign aggressive bone tumours
- Giant cell tumour of bone.
- Osteoblastoma.
- Thought to be related to osteoid osteoma.
- If in long bones often diaphyseal.
Summary tables
Bone tumours
| Entity | Key feature | Other features | Radiology / gross | Clinical | Stains / other | Image |
|---|---|---|---|---|---|---|
| Osteoma | normal bone (???) | other features (???) | radiology / gross (???) | ? | no stains / may be assoc. with FAP | |
| Osteoid osteoma | osteoblastic rimming | anastomosing bony trabeculae | must be <2 cm,[5] metaphysis | painful, NSAIDs remove pain, young | IHC / other | |
| Osteoblastoma | osteoblastic rimming | anastomosing bony trabeculae | must be >1 cm,[5] often >=2 cm, metaphysis | not painful | IHC / other | |
| Ewing sarcoma | small round blue cell tumour | cytoplasmic clearing (due to glycogen) | usu. diaphysis | pediatric, typically 1-10 years | PAS+, PASD-, chromosomal translocations (usually t(11;22)(q24;q12)) | Ewing sarcoma. PAS stain. (WC) |
| Osteosarcoma | osteoid | +/-hemorrhage, +/-cartilage | distal femur, prox. tibia, prox. humerous | typically 10-30 years, pain, swelling | no stains; many subtypes | |
| Giant cell tumour of bone | abundant giant cells | nuclei of surrounding cells similar to those in giant cells | growth plate of long bones | 20-45 years old, +/-joint pain, +/-immobility | IHC / other |
Cartilage tumours
| Entity | Key feature | Other features | Radiology / gross | Clinical | Stains / other | Image |
|---|---|---|---|---|---|---|
| Chondroma | ctyologically benign cells | equally spaced nests | usu. diaphysis | benign / DDx: chondroma, well-diff. chondrosarcoma | IHC / bone marrow cavity chondroma = enchondroma | |
| Chondroblastoma | abundant extracellular material, abundant eosinophilic cytoplasm | calcifications surround cells nests ("chickenwire" appearance) - classic | epiphysis | DDx: giant cell tumour of bone | S100+ve, vimentin +ve | Error creating thumbnail: Chondroblastoma. (WC) |
| Chondrosarcoma | cartilaginous appearance +/- nuclear atypia | lack osteoid, if present -> osteosarcoma | usu. diaphysis, classically hip; almost never distal extremity | >40 years old | IHC / may be histologically benign looking |
Other
| Entity | Key feature | Other features | Radiology / gross | Clinical | Stains / other | Image |
|---|---|---|---|---|---|---|
| Osteochondroma | benign bone and cartilage | Other features | metaphyseal lesions | Clinical | IHC / other | Image |
| Adamantinoma | bisphasic - stroma & epithelium | Other features | tibia, fibula, intracortical, radiolucent | Clinical | IHC / other | File:Adamantinoma - intermed mag.jpg Adamantinoma. (WC) |
| Diffuse tenosynovial giant-cell tumour (AKA PVNS) | pigmented giant cells | nodules | Radiology / gross | Clinical | IHC / other | |
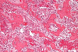
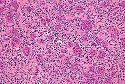
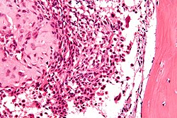
| Brown tumour | fibrosis, +/-giant cells | unaffected bone incr. osteoblasts and osteoclasts | Radiology / gross | due to hypercalcemia; not a neoplasm | IHC / other | File:Brown tumour - low mag.jpg Brown tumour. (WC) |
Radiology
Radiologic features
| Features | Benign | Malignant |
|---|---|---|
| Bone changes | sclerotic rim | tumour perforation |
| Circumscription | pushing margins | ill-defined/moth-eaten |
| Soft tissue involvement | no | common |
| Periosteal reaction | no | "hair-on-end" or "sunburst", "onion skin", Codman's triangle |
Location
| Diagnosis | Epiphysis | Metaphysis | Diaphysis | Type of lesion |
|---|---|---|---|---|
| Aneurysmal bone cyst | common | most common | rare | bone |
| Chondroblastoma | most common | rare | extremely rare | cartilage |
| Chondrosarcoma | uncommon | common | most common | cartilage |
| Chondromyxoid fibroma | rare | most common | common | other |
| Enchondroma | rare | common | common | cartilage |
| Ewing sarcoma | rare | common | most common | bone |
| Giant cell tumour | most common | rare | extremely rare | bone |
| Metastatic carcinoma | rare | common | most common | other |
| Non-ossifying fibroma | extremely rare | most common | common | other |
| Osteoblastoma | rare | most common | uncommon | bone |
| Osteochondroma | extremely rare[citation needed] | most common | common | bone/cartilage |
| Osteoid osteoma | uncommon | common | common[6] | bone |
| Osteosarcoma | rare | most common | uncommon | bone |
How to remember the primary bone lesions:
- Ewing sarcoma is the only malignant primary bone tumour of the diaphysis.
- Giant cell tumour of bone is the only primary bone lesion of the epiphysis.
- The rest of the primary bone lesions are metaphyseal.
- Osteochondroma is bone first and cartilage second. It behaves like most primary bone lesions; it is usually metaphyseal.
How to remember the primary cartilaginous lesions:
- Chondroblastoma is epiphyseal. The chicken wire goes around the chicken coop.
- The others are diaphyseal.
Cartilage
Chondroma
Chondroblastoma
Chondromyxoid fibroma
Chondrosarcoma
Bone
Osteoma
Osteoid osteoma
Osteoblastoma
Ewing sarcoma
Osteosarcoma
Giant cell tumour of bone
Other
This section collects stuff that doesn't neatly fit into the bone or cartilage category.
Notochordal tumors
Notochordal tumors arise from notochordal remnants and thus are seen in the clivus or sacrum.
Osteochondroma
Diffuse tenosynovial giant-cell tumour
- AKA tenosynovial giant-cell tumour, diffuse type.
- Previously known as pigmented villonodular synovitis (PVNS).[7]
Giant cell tumour of tendon sheath
- Abbreviated GCT of tendon sheath.
Adamantinoma
Brown tumour
General
- Not a true neoplasm.[8]
- If tumour is understood as a synonym for neoplasm, the name is a misnomer.
- May (clinically) mimic a true neoplasm.
- Due to hyperparathyroidism - usually parathyroid adenoma.
- Usually secondary to chronic renal failure.
Hypercalcemia DDx
Mnemonic GRIMED:[9]
- Granulomatous disease (tuberculosis, sarcoidosis).
- Renal disease.
- Immobility.
- Malignancy (esp. squamous cell carcinoma, plasmacytoma).
- Endocrine (primary hyperparathyroidism - leads to brown tumour).
- Drugs (thiazides ... others).
Microscopic
Features:
- Fibrosis.
- +/-Giant cells with round to oval nuclei and nucleoli.[10]
- Bone unaffected by tumour - increased numbers of the following:
- Multinucleated cells (osteoclasts).
- Mononuclear cells around the bony trabeculae (osteoblasts).
DDx:
- Giant cell tumour of bone and other giant cell lesions.
Images
- Brown tumour - low mag.jpg
Brown tumour - low mag. (WC)
- Brown tumour - intermed mag.jpg
Brown tumour - intermed. mag. (WC)
- Brown tumour - high mag.jpg
Brown tumour - high mag. (WC)
www:
See also
References
- ↑ 1.0 1.1 Humphrey, Peter A; Dehner, Louis P; Pfeifer, John D (2008). The Washington Manual of Surgical Pathology (1st ed.). Lippincott Williams & Wilkins. pp. 632. ISBN 978-0781765275.
- ↑ 2.0 2.1 Yeung, J.C.; Leonard, Blair J. N. (2005). The Toronto Notes 2005 - Review for the MCCQE and Comprehensive Medical Reference (2005 ed.). The Toronto Notes Inc. for Medical Students Inc.. pp. OR42. ISBN 978-0968592854.
- ↑ Yeung, J.C.; Leonard, Blair J. N. (2005). The Toronto Notes 2005 - Review for the MCCQE and Comprehensive Medical Reference (2005 ed.). The Toronto Notes Inc. for Medical Students Inc.. pp. OR41. ISBN 978-0968592854.
- ↑ URL: http://www.emedicine.com/RADIO/topic494.htm.
- ↑ 5.0 5.1 Yalcinkaya, U.; Doganavsargil, B.; Sezak, M.; Kececi, B.; Argin, M.; Basdemir, G.; Oztop, F. (Dec 2014). "Clinical and morphological characteristics of osteoid osteoma and osteoblastoma: a retrospective single-center analysis of 204 patients.". Ann Diagn Pathol 18 (6): 319-25. doi:10.1016/j.anndiagpath.2014.08.006. PMID 25224389.
- ↑ URL: http://www.wheelessonline.com/ortho/osteoid_osteoma. Accessed on: 7 May 2012
- ↑ Kumar, Vinay; Abbas, Abul K.; Fausto, Nelson; Aster, Jon (2009). Robbins and Cotran pathologic basis of disease (8th ed.). Elsevier Saunders. pp. 1247. ISBN 978-1416031215.
- ↑ Meydan N, Barutca S, Guney E, et al. (June 2006). "Brown tumors mimicking bone metastases". J Natl Med Assoc 98 (6): 950–3. PMC 2569361. PMID 16775919. http://www.ncbi.nlm.nih.gov/pmc/articles/PMC2569361/?page=1.
- ↑ Shiau, Carolyn; Toren, Andrew (2006). Toronto Notes 2006: Comprehensive Medical Reference (Review for MCCQE 1 and USMLE Step 2) (22nd edition (2006) ed.). Toronto Notes for Medical Students, Inc.. pp. Emerg.. ISBN 978-0968592861.
- ↑ URL: http://path.upmc.edu/cases/case139/micro.html. Accessed on: 6 January 2012.