Papillary
Jump to navigation
Jump to search
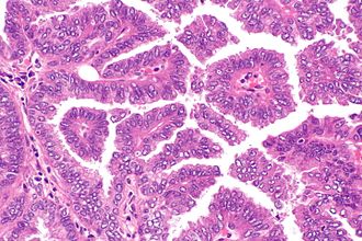
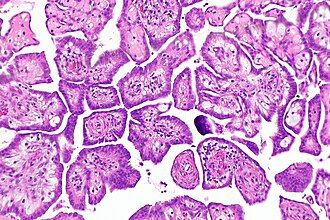
In pathology, papillary refers to a nipple-like projection with a fibrovascular core.
Papillary pattern redirects here.
General
- Common histomorphologic pattern that is seen in a large number of contexts.
Microscopy
Histologic definition - papilla:
- Nipple-shaped structure consisting of epithelium on a fibrovascular core.
- Fibrovascular core = fibrous tissue + least one blood vessel.
Note:
- May be associated with psammoma bodies.
DDx:
- Micropapilla - nipple-shaped structure without blood vessels; usually smaller than papillae.
- Pseudopapilla - cells distant from the blood vessels undergo necrosis imparting a papillary-like appearance, e.g. solid pseudopapillary tumour.
Some entities with the word papillary
Breast pathology
Cardiovascular pathology
Dermatopathology
Endocrine pathology
Gastrointestinal pathology
- Solid and papillary epithelial neoplasm - actually pseudopapillary; also known as solid pseudopapillary tumour.
- Intraductal papillary mucinous tumour.
- Biliary intraductal papillary neoplasm.
Genitourinary pathology
- Papillary urothelial neoplasm of low malignant potential.
- Low-grade papillary urothelial carcinoma.
- High-grade papillary urothelial carcinoma.
- Papillary adenoma.
- Papillary renal cell carcinoma.
- Clear cell papillary renal cell carcinoma.
Gynecologic pathology
Head and neck pathology
- Papillary cystadeoma lymphomatosum (Warthin tumour).