Serous carcinoma of the endometrium
Jump to navigation
Jump to search
| Serous carcinoma of the endometrium | |
|---|---|
| Diagnosis in short | |
|
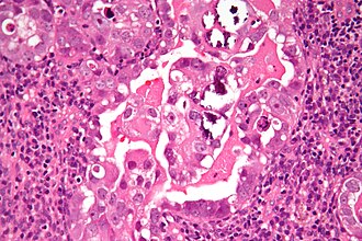
Serous carcinoma of the endometrium. H&E stain. | |
|
| |
| Synonyms | serous endometrial carcinoma, serous carcinoma of the uterus, uterine serous carcinoma, uterine papillary serous carcinoma |
| LM DDx | high-grade endometrioid endometrial carcinoma, clear cell carcinoma of the endometrium,Arias-Stella reaction, serous carcinoma from elsewhere |
| IHC | p16 +ve (strong), p53 +ve usu. (diffuse & strong > 50% or 75% of the tumour), Ki-67 "high", ER -ve, PR -ve |
| Site | endometrium - see endometrial carcinoma |
|
| |
| Clinical history | usu. post-menopausal women |
| Prognosis | moderate-to-poor - dependent on stage |
| Treatment | total hysterectomy + lymph node dissection |
Serous carcinoma of the endometrium is an aggressive type of endometrial carcinoma that typically afflicts post-menopausal women.
It is also known as serous endometrial carcinoma, serous carcinoma of the uterus, uterine serous carcinoma and uterine papillary serous carcinoma.
General
- Arising in the setting of atrophy.
- Usually post-menopausal.
- Precursor lesion: endometrial intraepithelial carcinoma.[1]
- Aggressive behaviour - high probability of disseminated disease.
Gross
- Thin endometrium.
- +/-Polypoid mass.
Microscopic
Features - serous:
- Architecture - classically papillary.
- May be glomeruloid, tubulocystic, solid (uncommon).
- Cytology:
- Columnar or cuboidal cells.
- Moderate to marked nuclear pleomorphism - variation of size, shape and staining.
- Large nuclear size variation between cells often esp. prominent.
- Singular prominent, classically red, nucleolus.
- Moderate to marked nuclear pleomorphism - variation of size, shape and staining.
- Columnar or cuboidal cells.
- +/-Psammoma bodies.
DDx:
- High-grade endometrioid endometrial carcinoma - uncommon, typically younger age.
- Clear cell carcinoma of the endometrium - usually have less nuclear pleomorphism and less mitoses.
- Arias-Stella reaction.
- Metastatic serous carcinoma.
- Endometrium with psammoma bodies - no atypical cells.
Images
IHC
- p16 +ve[2] - should be strong.
- p53 +ve[3] diffuse & strong > 50% or 75% of the tumour - depending on the paper one reads.
- Subset is p53 -ve.
- Ki-67 "high" - no cut-point defined.
- ER often -ve.[4]
- PR often -ve.[4]
High-grade endometrioid carcinoma versus serous carcinoma:[5]
- p53 -ve, PR +ve, PTEN loss -- suggest endometrioid.
- p16 and PTEN superior to ER, PR, and p53.[6]
Notes:
- p16 +ve in tubal metaplasia.[7]
- WT1 usu. -ve -- useful to differentiate from ovarian serous carcinoma.[8]
Sign out
ENDOMETRIUM, BIOPSY: - SEROUS CARCINOMA, HIGH-GRADE. COMMENT: The tumour stains as follows: POSITIVE: p16 (strong, diffuse), p53 (strong >85% of tumour). NEGATIVE: ER, PR. PROLIFERATION (Ki-67): 80% of the tumour.
See also
References
- ↑ Roelofsen, T.; van Kempen, LC.; van der Laak, JA.; van Ham, MA.; Bulten, J.; Massuger, LF. (Mar 2012). "Concurrent endometrial intraepithelial carcinoma (EIC) and serous ovarian cancer: can EIC be seen as the precursor lesion?". Int J Gynecol Cancer 22 (3): 457-64. doi:10.1097/IGC.0b013e3182434a81. PMID 22249577.
- ↑ Chiesa-Vottero, AG.; Malpica, A.; Deavers, MT.; Broaddus, R.; Nuovo, GJ.; Silva, EG. (Jul 2007). "Immunohistochemical overexpression of p16 and p53 in uterine serous carcinoma and ovarian high-grade serous carcinoma.". Int J Gynecol Pathol 26 (3): 328-33. doi:10.1097/01.pgp.0000235065.31301.3e. PMID 17581420.
- ↑ Yemelyanova, A.; Ji, H.; Shih, IeM.; Wang, TL.; Wu, LS.; Ronnett, BM. (Oct 2009). "Utility of p16 expression for distinction of uterine serous carcinomas from endometrial endometrioid and endocervical adenocarcinomas: immunohistochemical analysis of 201 cases.". Am J Surg Pathol 33 (10): 1504-14. doi:10.1097/PAS.0b013e3181ac35f5. PMID 19623034.
- ↑ 4.0 4.1 Kounelis, S.; Kapranos, N.; Kouri, E.; Coppola, D.; Papadaki, H.; Jones, MW. (Apr 2000). "Immunohistochemical profile of endometrial adenocarcinoma: a study of 61 cases and review of the literature.". Mod Pathol 13 (4): 379-88. doi:10.1038/modpathol.3880062. PMID 10786803.
- ↑ Darvishian, F.; Hummer, AJ.; Thaler, HT.; Bhargava, R.; Linkov, I.; Asher, M.; Soslow, RA. (Dec 2004). "Serous endometrial cancers that mimic endometrioid adenocarcinomas: a clinicopathologic and immunohistochemical study of a group of problematic cases.". Am J Surg Pathol 28 (12): 1568-78. PMID 15577675.
- ↑ Alkushi, A.; Köbel, M.; Kalloger, SE.; Gilks, CB. (Jul 2010). "High-grade endometrial carcinoma: serous and grade 3 endometrioid carcinomas have different immunophenotypes and outcomes.". Int J Gynecol Pathol 29 (4): 343-50. doi:10.1097/PGP.0b013e3181cd6552. PMID 20567148.
- ↑ Horree, N.; Heintz, AP.; Sie-Go, DM.; van Diest, PJ. (2007). "p16 is consistently expressed in endometrial tubal metaplasia.". Cell Oncol 29 (1): 37-45. PMID 17429140.
- ↑ Bárcena, C.; Oliva, E. (Nov 2011). "WT1 expression in the female genital tract.". Adv Anat Pathol 18 (6): 454-65. doi:10.1097/PAP.0b013e318234aaed. PMID 21993272.