Morton neuroma
(Redirected from Morton's neuroma)
Jump to navigation
Jump to search
| Morton neuroma | |
|---|---|
| Diagnosis in short | |
|
Template:Px Morton neuroma. H&E stain. | |
|
| |
| Synonyms | plantar interdigital neuroma |
|
| |
| LM | extensive fibrosis around and within the nerve, digital artery +/-thrombosis +/-arterial thickening |
| LM DDx | traumatic neuroma, plexiform neurofibroma |
| Site | soft tissue of the foot |
|
| |
| Symptoms | foot pain |
| Prevalence | not common |
| Prognosis | benign |
| Treatment | +/-surgical excision |
Morton neuroma is a benign lesion of the foot that can be grouped with the peripheral nerve sheath tumours.
It is also known as a plantar interdigital neuroma.[1]
General
- Benign foot condition.
- Uncommon.
- Usually interdigital nerves.
Etiology:
- Indirect nerve trauma.
Clinical:[2]
- Foot pain.
Note:
- Morton's neuroma is related traumatic neuroma:[3]
- The difference is that in traumatic neuroma the nerve is usually transected; in Morton's neuroma the nerve is chronically compressed.
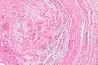
Microscopic
Features:[2]
- Extensive fibrosis around and within the nerve.
- Digital artery:
- +/-Thrombosis.
- +/-Arterial thickening.
DDx:
Images
www:
- Morton neuroma -- low mag.jpg
Morton neuroma - low mag. (WC)
- Morton neuroma -- intermed mag.jpg
Morton neuroma - intermed. mag. (WC)
- Morton neuroma -- high mag.jpg
Morton neuroma - high mag. (WC)
- Morton neuroma -- very high mag.jpg
Morton neuroma - very high mag. (WC)
- Morton neuroma - alt 1 -- intermed mag.jpg
Morton neuroma - intermed. mag. (WC)
- Morton neuroma - alt 2 -- intermed mag.jpg
Morton neuroma - intermed. mag. (WC)
- Morton neuroma - alt -- high mag.jpg
Morton neuroma - high mag. (WC)
Sign out
LESION, THIRD WEB SPACE OF RIGHT FOOT ("MORTON'S NEUROMA"), EXCISION:
- CONSISTENT WITH MORTON'S NEUROMA.
Micro
The sections show soft tissue with larger nerves with extensive fibrosis around and within the nerve. There is no significant nuclear atypia. Mitotic activity is not readily apparent.
See also
References
- ↑ Makki, D.; Haddad, BZ.; Mahmood, Z.; Shahid, MS.; Pathak, S.; Garnham, I. (Sep 2012). "Efficacy of corticosteroid injection versus size of plantar interdigital neuroma.". Foot Ankle Int 33 (9): 722-6. doi:DOI: 10.3113/FAI.2012.0722. PMID 22995258.
- ↑ 2.0 2.1 Mills, Stacey E; Carter, Darryl; Greenson, Joel K; Oberman, Harold A; Reuter, Victor E (2004). Sternberg's Diagnostic Surgical Pathology (4th ed.). Lippincott Williams & Wilkins. pp. 243. ISBN 978-0781740517.
- ↑ Perry, Arie; Brat, Daniel J. (2010). Practical Surgical Neuropathology: A Diagnostic Approach: A Volume in the Pattern Recognition series (1st ed.). Churchill Livingstone. pp. 238. ISBN 978-0443069826.
- ↑ URL: http://www.sciencedirect.com/science/article/pii/S1027811711000863. Accessed on: 27 December 2012.