Collagenous colitis

From Libre Pathology
Revision as of 14:30, 25 May 2016 by Michael (talk | contribs) (→‎Microscopic)
(diff) ← Older revision | Latest revision (diff) | Newer revision → (diff)
Jump to navigation Jump to search
Collagenous colitis
Diagnosis in short

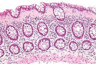
Collagenous colitis. H&E stain.

LM intraepithelial lymphocytes (>20/100 enterocytes), subepithelial collagen band (>= 10 micrometres thick)
LM DDx lymphocytic colitis, Crohn's disease (very rare)
Site colon - typically more prominent proximally

Clinical history predominantly women (women:men=20:1)
Symptoms diarrhea, non-bloody
Endoscopy normal
Clin. DDx irritable bowel syndrome, lymphocytic colitis

Collagenous colitis is a type of microscopic colitis. It has a characteristic clinical presentation and no apparent endoscopic changes.

General

Presentation:

  • Chronic diarrhea, non-bloody.[1]

Notes:

  • Clinical DDx includes irritable bowel syndrome - which has no or subtle histopathologic changes.
  • This pathology also afflicits rectum; however, it is less commonly found there.
    • The rectum is afflicted in approximately in 65% of cases.[3]

Epidemiology

  • Age: a disease of adults - usually 50s.
  • Sex:
    • LC males ~= females,[1]
    • CC females:males = 20:1.[1]
  • Drugs are associated with LC and CC.
    • NSAIDs - posulated association/weak association,
    • SSRIs (used primarily for depression) - moderate association, dependent on specific drug.
  • Associated with autoimmune disorders - celiac disease, diabetes mellitus, thyroid disorders and arthritis.[4]
  • No increased risk of colorectal carcinoma.[4]

Treatment

  • Sometimes just follow-up.
  • Steroids - budesonide -- short-term treatment.[4]

Gross

Microscopic

Features:

  • Intraepithelial lymphocytes - important.
  • Collagenous material in the lamina propria (pink on H&E) -- key feature.
    • Can be demonstrated with a trichrome stain -- collagen = green on trichrome.
    • Subepithelial collagen needs to be >= 10 micrometres thick for diagnosis.[4]
      • 8 micrometres is the diameter of a RBC.
      • The normal thickness of the subepithelial collagen is 3 micrometres.[4]
      • Transverse colon usually thickest - in one series ~ 47 micrometres on average.[5]
    • Thickening is usually patchy.[6]
    • Thickening "follows the crypts from the surface" - useful for differentiating from tangential sections of the basement membrane.[7]
    • Collagen may envelope capillaries - useful to discern from basement membrane.[7]

Notes:

  • CC is typically more prominent in the proximal colon - may reflect concentration gradient of offending causitive agents.[4]
  • Significant negative findings:[8]
    • No PMNs.
    • No crypt distortion.
  • Thickened collagen band uncommon in rectum.[6]
  • Described in association of pseudomembranes.[9]

DDx:

Images

Sign out

TRANSVERSE COLON, BIOPSY:
- COLLAGENOUS COLITIS.

Micro

The sections show colonic mucosa with abundant intraepithelial lymphocytes (>20 lymphocytes/100 surface epithelial cells). A prominent collagen band is apparent below the epithelium (>10 micrometres thick). The glandular architecture is within normal limits.

There are no granulomas. No neutrophilic cryptitis is apparent. The epithelium matures appropriately to the surface.

See also

References

  1. 1.0 1.1 1.2 1.3 URL: http://emedicine.medscape.com/article/180664-overview. Accessed on: 31 May 2010.
  2. Brain, O.; Rajaguru, C.; Warren, B.; Booth, J.; Travis, S. (Dec 2009). "Collagenous gastritis: reports and systematic review.". Eur J Gastroenterol Hepatol 21 (12): 1419-24. doi:10.1097/MEG.0b013e32832770fa. PMID 19730387.
  3. Agnarsdottir M, Gunnlaugsson O, Orvar KB, et al. (May 2002). "Collagenous and lymphocytic colitis in Iceland". Dig. Dis. Sci. 47 (5): 1122–8. PMID 12018911.
  4. 4.0 4.1 4.2 4.3 4.4 4.5 Tysk C, Bohr J, Nyhlin N, Wickbom A, Eriksson S (December 2008). "Diagnosis and management of microscopic colitis". World J. Gastroenterol. 14 (48): 7280-8. PMID 19109861. http://www.wjgnet.com/1007-9327/14/7280.asp.
  5. Offner, FA.; Jao, RV.; Lewin, KJ.; Havelec, L.; Weinstein, WM. (Apr 1999). "Collagenous colitis: a study of the distribution of morphological abnormalities and their histological detection.". Hum Pathol 30 (4): 451-7. PMID 10208468.
  6. 6.0 6.1 Tanaka, M.; Mazzoleni, G.; Riddell, RH. (Jan 1992). "Distribution of collagenous colitis: utility of flexible sigmoidoscopy.". Gut 33 (1): 65-70. PMID 1740280.
  7. 7.0 7.1 Bell, D. 4 Mar 2009.
  8. http://hopkins-gi.nts.jhu.edu/pages/latin/templates/index.cfm?pg=disease1&disease=29&organ=6&lang_id=1
  9. Yuan, S.; Reyes, V.; Bronner, MP. (Oct 2003). "Pseudomembranous collagenous colitis.". Am J Surg Pathol 27 (10): 1375-9. PMID 14508399.
  10. Goldstein, NS.; Gyorfi, T. (Sep 1999). "Focal lymphocytic colitis and collagenous colitis: patterns of Crohn's colitis?". Am J Surg Pathol 23 (9): 1075-81. PMID 10478667.