Nuclear pleomorphism
Jump to navigation
Jump to search
Nuclear pleomorphism is a common finding in malignant lesions. Anisonucleosis is often used as a synonym for nuclear pleomorphism; iso- means equal or identical,[1] and an- means not.[2]
File:Glioblastoma with extreme nuclear enlargement - very high mag.jpg
Extreme nuclear pleomorphism in a case of glioblastoma.
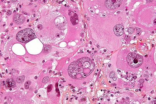
File:Pleomorphic undifferentiated sarcoma - very high mag.jpg
Severe nuclear pleomorphism is a case of pleomorphic undifferentiated sarcoma. H&E stain.
File:Mucinous lung adenocarcinoma and airway - alt -- high mag.jpg
Some forms of cancer have no or minimal nuclear pleomorphism; mucinous adenocarcinoma of the lung (left of image) looks similar to (benign) gastric foveolar epithelium and in this image is juxtaposed with benign ciliated epithelium (right of image). H&E stain.
Definition
Nuclear pleomorphism is the marked variation of:[3]
- Nuclear size.
- Nuclear shape.
- Nuclear staining (especially with hyperchromasia).
Memory device 3 S: size, shape, staining.
Images
- Glioblastoma with extreme nuclear enlargement - high mag.jpg
Marked nuclear pleomorphism - in a case of glioblastoma - high mag. (WC/Nephron)
- Glioblastoma with extreme nuclear enlargement - very high mag.jpg
Marked nuclear pleomorphism - in a case of glioblastoma - very high mag. (WC/Nephron)
- Pleomorphic undifferentiated sarcoma - intermed mag.jpg
Pleomorphic undifferentiated sarcoma - intermed. mag. (WC/Nephron)
- Pleomorphic undifferentiated sarcoma - very high mag.jpg
Pleomorphic undifferentiated sarcoma - high mag. (WC/Nephron)
See also
References
- ↑ URL: http://dictionary.reference.com/browse/iso-?s=ts. Accessed on: 26 September 2013.
- ↑ URL: http://dictionary.reference.com/browse/an-?s=t. Accessed on: 26 September 2013.
- ↑ Rashid, F.; Ul Haque, A. (Dec 2011). "Frequencies of different nuclear morphological features in prostate adenocarcinoma.". Ann Diagn Pathol 15 (6): 414-21. doi:10.1016/j.anndiagpath.2011.06.002. PMID 21849255.