Difference between revisions of "Radiation colitis"
Jump to navigation
Jump to search
(+infobox, +images) |
m |
||
| Line 30: | Line 30: | ||
| Tx = | | Tx = | ||
}} | }} | ||
'''Radiation [[colitis]]''' is inflammation of the [[colon]] due to radiation. It is usually iatrogenic. This article also covers '''radiation proctitis'''. | '''Radiation [[colitis]]''' is inflammation of the [[colon]] due to radiation. It is usually iatrogenic. This article also covers '''radiation proctitis''' (abbreviated '''RP'''). | ||
==General== | ==General== | ||
Latest revision as of 04:56, 28 December 2014
| Radiation colitis | |
|---|---|
| Diagnosis in short | |
|
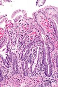
Radiation proctitis. H&E stain. | |
|
| |
| LM | acute: mucosal changes (necrosis of epithelium, "ghost cells" = cells without nuclei, hemorrhage), submucosa edema with neutrophilic infiltrate, +/-fibrin thrombi; chronic: nuclear atypia - esp. of the stromal cells, fibrosis - esp. of the submucosa |
| LM DDx | inflammatory bowel disease, Infectious colitis, ischemic colitis, pseudosarcomatous stromal changes, sarcoma |
| Site | colon and rectum (radiation proctitis) |
|
| |
| Clinical history | history of radiation, history of cancer |
| Prevalence | uncommon |
| Clin. DDx | cancer recurrence, colitis/proctitis (idiopathic, infection, ischemic, radiation) |
Radiation colitis is inflammation of the colon due to radiation. It is usually iatrogenic. This article also covers radiation proctitis (abbreviated RP).
General
- Diagnosis should be supported by the clinical history.
General DDx for a colitis:
- Idiopathic, e.g. inflammatory bowel disease.
- Infection.
- Ischemia.
- Radiation.
Gross
- Superficial bowel wall injury - shallow ulceration.[1]
- Telangiectatic lesions.
Image
Microscopic
Features - acute:[1]
- Mucosal changes:
- Necrosis of epithelium.
- "Ghost cells" = cells without nuclei.
- Hemorrhage.
- Necrosis of epithelium.
- Submucosa edema with neutrophilic infiltrate.
- +/-Fibrin thrombi.
Features - chronic:
- Nuclear atypia - esp. of the stromal cells.
- The epithelium is shed and regenerates... therefore usually does not have the changes.
- Fibrosis - esp. of the submucosa.
DDx:
- Ischemic colitis.
- Inflammatory bowel disease.
- Infectious colitis.
Images
www:
Sign out
RECTUM, BIOPSY: - RECTAL MUCOSA WITH ACTIVE INFLAMMATION, ULCERATION AND REGENERATIVE CHANGES. - LARGE ATYPICAL STROMAL CELLS COMPATIBLE WITH RADIATION CHANGES. - NO EVIDENCE OF DYSPLASIA AND NO EVIDENCE OF MALIGNANCY. COMMENT: The immunostains done (pankeratin, p53, Ki-67) are in keeping with regeneration and radiation changes.
See also
References
- ↑ 1.0 1.1 1.2 Yano, Y.; Yao, H.; Aoyagi, K.; Kawakubo, K.; Nakamura, S.; Doi, K.; Ibayashi, S.; Fujishima, M. (Sep 1997). "Photochemically induced colonic ischaemic lesions: a new model of ischaemic colitis in rats.". Gut 41 (3): 354-7. PMID 9378391.
- ↑ 2.0 2.1 Nielsen, OH.; Vainer, B.; Rask-Madsen, J. (Jan 2008). "Non-IBD and noninfectious colitis.". Nat Clin Pract Gastroenterol Hepatol 5 (1): 28-39. doi:10.1038/ncpgasthep1005. PMID 18174905.