Renal cell carcinoma with sarcomatoid differentiation
Renal cell carcinoma with sarcomatoid differentiation is a malignant epithelial derived kidney tumour with malignant mesenchymal differentiation.
These tumours are not recognized as a distinct type of renal cell carcinoma;[1] they are classified by the non-sarcomatous component. If a renal tumour is purely sarcomatous it is renal cell carcinoma, unclassified.
Sarcomatoid renal cell carcinoma, abbreviated sarcomatoid RCC, redirects here.
General
Features:[2]
- Not recognized as a distinct entity in 2004 WHO classification[3] and after.
- Tend to present at higher stage.
- Worse prognosis when adjusted for stage.
- ISUP nucleolar grade (Fuhrman grade) 4 by definition.
- Most commonly seen in association with clear cell renal cell carcinoma[1] or chromophobe RCC.[5][6]
Gross
- White solid area.
DDx:
- Degenerative changes.
Microscopic
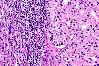
Features:[2]
- Identifiable subtype of renal cell carcinoma, e.g. clear cell renal cell carcinoma, chromophobe renal cell carcinoma, others.
- Sarcomatoid component:
- Fibrosarcoma - most common.
- Undifferentiated - common.
- Rhabdomyosarcoma - very rare.
Notes:
- In essence, any kidney tumour with spindle cells should make one think of this.[7]
- Rhabdoid change in renal cell carcinoma is probably analogous to sarcomatoid change.[8]
DDx:
- Retroperitoneal sarcoma.
- Renal mucinous tubular and spindle cell carcinoma.
Images
Case 1
- Sarcomatoid differentiation in renal cell carcinoma -- intermed mag.jpg
RCC with sarc. diff. - intermed. mag. (WC)
- Sarcomatoid differentiation in renal cell carcinoma -- high mag.jpg
RCC with sarc. diff - high mag. (WC)
- Sarcomatoid differentiation in renal cell carcinoma -- very high mag.jpg
RCC with sarc. diff. - very high mag. (WC)
- Clear cell renal cell carcinoma - 2 -- intermed mag.jpg
CCRCC - intermed. mag. (WC)
- Clear cell renal cell carcinoma - 2 -- high mag.jpg
CCRCC - high mag. (WC)
- Clear cell renal cell carcinoma - 2 -- very high mag.jpg
CCRCC - very high mag. (WC)
Case 2
- Chromophobe renal cell carcinoma with sarcomatoid differentiation -- low mag.jpg
ChRCC with SD - low mag.
- Chromophobe renal cell carcinoma with sarcomatoid differentiation -- intermed mag.jpg
ChRCC with SD - intermed. mag.
- Chromophobe renal cell carcinoma with sarcomatoid differentiation -- high mag.jpg
ChRCC with SD - high mag.
- Chromophobe renal cell carcinoma with sarcomatoid differentiation - alt -- intermed mag.jpg
ChRCC with SD - intermed. mag.
- Chromophobe renal cell carcinoma with sarcomatoid differentiation - alt -- high mag.jpg
ChRCC with SD - high mag.
www
Sign out
- Classified by the underlying renal cell carcinoma, e.g. clear cell renal cell carcinoma.
- If only a sarcomatous component is present these are labeled renal cell carcinoma, unclassified.
- Always ISUP nucleolar grade 4.
See also
References
- ↑ 1.0 1.1 1.2 Shuch, B.; Bratslavsky, G.; Linehan, WM.; Srinivasan, R. (2012). "Sarcomatoid renal cell carcinoma: a comprehensive review of the biology and current treatment strategies.". Oncologist 17 (1): 46-54. doi:10.1634/theoncologist.2011-0227. PMID 22234634.
- ↑ 2.0 2.1 de Peralta-Venturina, M.; Moch, H.; Amin, M.; Tamboli, P.; Hailemariam, S.; Mihatsch, M.; Javidan, J.; Stricker, H. et al. (Mar 2001). "Sarcomatoid differentiation in renal cell carcinoma: a study of 101 cases.". Am J Surg Pathol 25 (3): 275-84. PMID 11224597.
- ↑ 3.0 3.1 Lopez-Beltran, A.; Scarpelli, M.; Montironi, R.; Kirkali, Z. (May 2006). "2004 WHO classification of the renal tumors of the adults.". Eur Urol 49 (5): 798-805. doi:10.1016/j.eururo.2005.11.035. PMID 16442207.
- ↑ Cangiano, T.; Liao, J.; Naitoh, J.; Dorey, F.; Figlin, R.; Belldegrun, A. (Feb 1999). "Sarcomatoid renal cell carcinoma: biologic behavior, prognosis, and response to combined surgical resection and immunotherapy.". J Clin Oncol 17 (2): 523-8. PMID 10080595.
- ↑ Cheville, JC.; Lohse, CM.; Zincke, H.; Weaver, AL.; Leibovich, BC.; Frank, I.; Blute, ML. (Apr 2004). "Sarcomatoid renal cell carcinoma: an examination of underlying histologic subtype and an analysis of associations with patient outcome.". Am J Surg Pathol 28 (4): 435-41. PMID 15087662.
- ↑ Akhtar, M.; Tulbah, A.; Kardar, AH.; Ali, MA. (Oct 1997). "Sarcomatoid renal cell carcinoma: the chromophobe connection.". Am J Surg Pathol 21 (10): 1188-95. PMID 9331291.
- ↑ 7.0 7.1 Dall'Oglio, MF.; Lieberknecht, M.; Gouveia, V.; Sant'Anna, AC.; Leite, KR.; Srougi, M.. "Sarcomatoid differentiation in renal cell carcinoma: prognostic implications.". Int Braz J Urol 31 (1): 10-6. PMID 15763002.
- ↑ Chapman-Fredricks, JR.; Herrera, L.; Bracho, J.; Gomez-Fernandez, C.; Leveillee, R.; Rey, L.; Jorda, M. (Oct 2011). "Adult renal cell carcinoma with rhabdoid morphology represents a neoplastic dedifferentiation analogous to sarcomatoid carcinoma.". Ann Diagn Pathol 15 (5): 333-7. doi:10.1016/j.anndiagpath.2011.03.002. PMID 21665507.
- ↑ Golshayan, AR.; George, S.; Heng, DY.; Elson, P.; Wood, LS.; Mekhail, TM.; Garcia, JA.; Aydin, H. et al. (Jan 2009). "Metastatic sarcomatoid renal cell carcinoma treated with vascular endothelial growth factor-targeted therapy.". J Clin Oncol 27 (2): 235-41. doi:10.1200/JCO.2008.18.0000. PMID 19064974.