Glycogenic acanthosis of the esophagus
Jump to navigation
Jump to search
| Glycogenic acanthosis of the esophagus | |
|---|---|
| Diagnosis in short | |
|
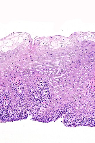
Glycogenic acanthosis of the esophagus. H&E stain. | |
|
| |
| LM | squamous epithelium with (1) superficial clearing of the cytoplasm, and (2) thickening |
| Stains | PAS +ve, PASD -ve |
| Site | esophagus |
|
| |
| Associated Dx | possibly associated with gastroesophageal reflux disease |
| Syndromes | possibly Cowden's disease when diffuse |
|
| |
| Clinical history | ingestion of hot liquids (???) |
| Prevalence | uncommon |
| Endoscopy | raised grey/white lesions |
| Prognosis | benign |
Glycogenic acanthosis of the esophagus, abbreviated GAE, is an uncommon benign change of the esophagus with a distinctive endoscopic appearance.
General
- Uncommon - seen 3.5% of consecutive 2328 upper endoscopies.[1]
- Benign.[2]
- May be associated with GERD;[1][3] however, lesions do not resolve with PPI treatment.[2]
- Possible association with ingestion of hot liquids.[4]
- Described in the context of Cowden's disease when seen diffusely.[5]
Gross/endoscopic
- Distinctive endoscopic appearance - grey/white raised lesion.[4]
Image
Microscopic
Features:[4]
- Squamous epithelium with:
- Superficial clearing of the cytoplasm.
- Thickening.
- No significant nuclear atypia.
Images
www
Stains
Features:[6]
See also
References
- ↑ 1.0 1.1 Vadva, MD.; Triadafilopoulos, G. (Jul 1993). "Glycogenic acanthosis of the esophagus and gastroesophageal reflux.". J Clin Gastroenterol 17 (1): 79-83. PMID 8409304.
- ↑ 2.0 2.1 2.2 Tsai, SJ.; Lin, CC.; Chang, CW.; Hung, CY.; Shieh, TY.; Wang, HY.; Shih, SC.; Chen, MJ. (Jan 2015). "Benign esophageal lesions: endoscopic and pathologic features.". World J Gastroenterol 21 (4): 1091-8. doi:10.3748/wjg.v21.i4.1091. PMID 25632181.
- ↑ Nazligül, Y.; Aslan, M.; Esen, R.; Yeniova, AÖ.; Kefeli, A.; Küçükazman, M.; Dülger, AC.; Celik, Y. (Jun 2012). "Benign glycogenic acanthosis lesions of the esophagus.". Turk J Gastroenterol 23 (3): 199-202. PMID 22798107.
- ↑ 4.0 4.1 4.2 Lopes, S.; Figueiredo, P.; Amaro, P.; Freire, P.; Alves, S.; Cipriano, MA.; Gouveia, H.; Sofia, C. et al. (May 2010). "Glycogenic acanthosis of the esophagus: an unusually endoscopic appearance.". Rev Esp Enferm Dig 102 (5): 341-2. PMID 20524767.
- ↑ Kay, PS.; Soetikno, RM.; Mindelzun, R.; Young, HS. (Jun 1997). "Diffuse esophageal glycogenic acanthosis: an endoscopic marker of Cowden's disease.". Am J Gastroenterol 92 (6): 1038-40. PMID 9177527.
- ↑ Glick, SN.; Teplick, SK.; Goldstein, J.; Stead, JA.; Zitomer, N. (Oct 1982). "Glycogenic acanthosis of the esophagus.". AJR Am J Roentgenol 139 (4): 683-8. doi:10.2214/ajr.139.4.683. PMID 6981928.