Cystic tumour of the atrioventricular nodal region
Jump to navigation
Jump to search
| Cystic tumour of the atrioventricular nodal region | |
|---|---|
| Diagnosis in short | |
|
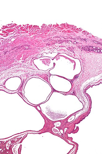
Cystic tumour of the atrioventricular nodal region. H&E stain. | |
|
| |
| Synonyms | cystic tumour of the atrioventricular node |
|
| |
| LM | cystic spaces lined by single layer of bland epithelial cells, +/-focal mononuclear inflammation, +/-psammoma bodies |
| LM DDx | cystic metastatic carcinoma |
| IHC | CEA +ve, EMA +ve, calretinin -ve, WT1 -ve |
| Gross | very small cysts in region of AV node |
| Grossing notes | see conducting system of heart |
| Site | heart - see cardiac tumours |
|
| |
| Associated Dx | sudden cardiac death |
| Clinical history | usu. women - young |
| Signs | conduction abnormalities, +/-bradycardia (due to complete heart block) |
| Prevalence | very rare |
| Prognosis | good if caught in time |
| Clin. DDx | other cardiac tumours |
| Treatment | excision for diagnosis + pacemaker |
Cystic tumour of the atrioventricular nodal region, abbreviated CTAVNR, is a rare cardiac tumour that can lead to sudden cardiac death.
It is also known as cystic tumour of the atrioventricular node.
Benign mesothelioma of the atrioventricular node is also used; however, these tumours are not mesotheliomas.[1][2]
General
- Very rare.[3]
- May cause sudden cardiac death.[4]
- Antemortem diagnosis extremely rare - only four reported in literature as of 2010.[2]
Clinical:[2]
- Conduction abnormalities.
- Complete heart block.
- Usually women - mean age 38 years.
Treatment:
Gross
- "Bump" in the triangle of Koch.
- Usually 1-2 mm.
- Cystic spaces - often not apparent at gross.
Microscopic
Features:[4]
- Cystic spaces lined with single layer of epithelial cells.
- +/-Focal mononuclear inflammation.
- +/-Psammoma bodies.
DDx:
- Cystic metastatic carcinoma.
Images
IHC
See also
References
- ↑ 1.0 1.1 Evans, CA.; Suvarna, SK. (Nov 2005). "Cystic atrioventricular node tumour: not a mesothelioma.". J Clin Pathol 58 (11): 1232. PMID 16254122.
- ↑ 2.0 2.1 2.2 Sharma, G.; Linden, MD.; Schultz, DS.; Inamdar, KV.. "Cystic tumor of the atrioventricular node: an unexpected finding in an explanted heart.". Cardiovasc Pathol 19 (3): e75-8. doi:10.1016/j.carpath.2008.10.011. PMID 19144541.
- ↑ Kaminishi, Y.; Watanabe, Y.; Nakata, H.; Shimokama, T.; Jikuya, T. (Jan 2002). "Cystic tumor of the atrioventricular nodal region.". Jpn J Thorac Cardiovasc Surg 50 (1): 37-9. PMID 11855098.
- ↑ 4.0 4.1 Paniagua, JR.; Sadaba, JR.; Davidson, LA.; Munsch, CM. (Apr 2000). "Cystic tumour of the atrioventricular nodal region: report of a case successfully treated with surgery.". Heart 83 (4): E6. PMID 10722558.
- ↑ Guo, J.; Zuo, S.; Lin, C.; Ji, Y. (May 2009). "Surgical treatment of a giant cystic tumor of the atrioventricular nodal region.". Interact Cardiovasc Thorac Surg 8 (5): 592-3. doi:10.1510/icvts.2008.191866. PMID 19237400.
- ↑ Saito, S.; Kobayashi, J.; Tagusari, O.; Bando, K.; Niwaya, K.; Nakajima, H.; Yamagishi, M.; Yagihara, T. et al. (Oct 2005). "Successful excision of a cystic tumor of the atrioventricular nodal region.". Circ J 69 (10): 1293-4. PMID 16195634.
- ↑ Pan, Y.; Chen, JL.; Li, ZJ.; Zhao, LX.; Wang, M.; Li, YK.; Tian, LB.; Guo, H. (Dec 2012). "Cystic tumour of the atrioventricular node: a case report and review of the literature.". Chin Med J (Engl) 125 (24): 4514-6. PMID 23253729.