Renal tumours with eosinophilic cytoplasm
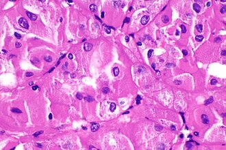
A renal tumour with an eosinophilic cytoplasm (chromophobe RCC). (WC/Nephron)
Renal tumours with eosinophilic cytoplasm, also eosinophilic renal tumours and kidney tumours with eosinophilic cytoplasm, are relatively common and have a differential diagnosis.
Common
- Renal oncocytoma.
- Chromophobe renal cell carcinoma, eosinophilic variant.
Less common
- Clear cell renal cell carcinoma, eosinophilic variant[1] - often high-grade/aggressive tumours.
- Papillary renal cell carcinoma, oncocytic variant.[2]
Rare stuff
- Angiomyolipoma, epithelioid.
- Xp11.2 translocation carcinoma.
- Hereditary leiomyomatosis renal cell carcinoma syndrome associated renal cell carcinoma.[3]
- Tubulocystic carcinoma.[3]
- Acquired cystic disease-associated renal cell carcinoma.[3]
- Renal hybrid oncocytic/chromophobe tumour.[3]
- Renal oncocytosis.
- Unclassified renal cell carcinoma.
- Juxtaglomerular cell tumour.
- Succinate dehydrogenase-deficient renal cell carcinoma.
Proposed entities
- Eosinophilic solid and cystic renal cell carcinoma.[4]
- Follicular thyroid-like renal cell carcinoma.[3]
- High-grade oncocytic renal tumour.
Evloving entities
References
- ↑ Engel, U.; Horn, T. (1991). "Eosinophilic renal cell tumours. A study on tumour heterogeneity with special emphasis on oncocytes.". Scand J Urol Nephrol 25 (4): 297-301. PMID 1780705.
- ↑ Xia, QY.; Rao, Q.; Shen, Q.; Shi, SS.; Li, L.; Liu, B.; Zhang, J.; Wang, YF. et al. (2013). "Oncocytic papillary renal cell carcinoma: a clinicopathological study emphasizing distinct morphology, extended immunohistochemical profile and cytogenetic features.". Int J Clin Exp Pathol 6 (7): 1392-9. PMID 23826421.
- ↑ 3.0 3.1 3.2 3.3 3.4 Kryvenko, ON.; Jorda, M.; Argani, P.; Epstein, JI. (Nov 2014). "Diagnostic approach to eosinophilic renal neoplasms.". Arch Pathol Lab Med 138 (11): 1531-41. doi:10.5858/arpa.2013-0653-RA. PMID 25357116.
- ↑ Trpkov, K.; Hes, O.; Bonert, M.; Lopez, JI.; Bonsib, SM.; Nesi, G.; Comperat, E.; Sibony, M. et al. (Sep 2015). "Eosinophilic, Solid, and Cystic Renal Cell Carcinoma: Clinicopathologic Study of 16 Unique, Sporadic Neoplasms Occurring in Women.". Am J Surg Pathol. doi:10.1097/PAS.0000000000000508. PMID 26414221.