Succinate dehydrogenase

From Libre Pathology
Revision as of 15:18, 15 March 2016 by Michael (talk | contribs) (→‎See also)
(diff) ← Older revision | Latest revision (diff) | Newer revision → (diff)
Jump to navigation Jump to search

Succinate dehydrogenase, abbreviated SDH, is an enzyme complex in the citric acid cycle and electron transport chain. It is localized to the mitochondria.

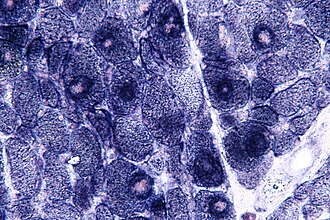
SDH immunostain in a muscle biopsy with denervation atrophy.

Immunostain

  • It is used to look for mitochondrial disease.
  • Loss of staining is pathologic.

Associated pathology

Mutations in SDH genes are associated with:

See also

References

  1. 1.0 1.1 Vicha, A.; Taieb, D.; Pacak, K. (Jun 2014). "Current views on cell metabolism in SDHx-related pheochromocytoma and paraganglioma.". Endocr Relat Cancer 21 (3): R261-77. doi:10.1530/ERC-13-0398. PMID 24500761.
  2. Ricketts, CJ.; Shuch, B.; Vocke, CD.; Metwalli, AR.; Bratslavsky, G.; Middelton, L.; Yang, Y.; Wei, MH. et al. (Dec 2012). "Succinate dehydrogenase kidney cancer: an aggressive example of the Warburg effect in cancer.". J Urol 188 (6): 2063-71. doi:10.1016/j.juro.2012.08.030. PMID 23083876.