Testicular metastasis
Jump to navigation
Jump to search
Testicular metastasis is a the discontiguous spread of a malignant tumour to the testis.
| Testicular metastasis | |
|---|---|
| Diagnosis in short | |
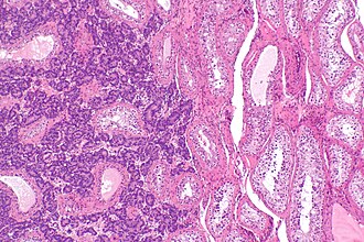
|
Testis with metastatic prostate carcinoma. H&E stain. (WC) | |
|
| |
| Synonyms | testicle with metastatic disease |
|
| |
| LM | atypical cells between seminiferous tubules, negative for ITGCN, +/-lymphovascular invasion |
| IHC | IHC dependent on primary site, OCT4 -ve, AFP -ve, beta-hCG -ve |
| Site | testis |
|
| |
| Clinical history | +/-history of malignancy |
| Signs | testicular mass |
| Prevalence | rare - esp. as first presentation |
| Prognosis | poor |
| Clin. DDx | primary testicular tumour |
General
- Rare as first presentation - case report worthy.[1][2]
- May be the first manifestation of an abdominal malignancy.[2]
Reports:
- Stomach (gastric carcinoma).[1]
- Pancreas.[2]
- Kidney (renal cell carcinoma).[3]
- Prostate.[4]
- Lung (squamous cell carcinoma of the lung).[5]
Microscopic
Features:
- Lack of intratubular germ cell neoplasia (ITGCN).
- Atypical cells infiltrating between benign-appearing seminiferous tubules.
- +/-Lymphovascular invasion.
DDx:
- Germ cell tumours - esp. embryonal carcinoma.
- Malignant sex cord stromal tumour.
- Lymphoma.
Images
www
See also
References
- ↑ 1.0 1.1 Li, B.; Cai, H.; Kang, ZC.; Wu, H.; Hou, JG.; Ma, LY. (Jun 2015). "Testicular metastasis from gastric carcinoma: A case report.". World J Gastroenterol 21 (21): 6764-8. doi:10.3748/wjg.v21.i21.6764. PMID 26074716.
- ↑ 2.0 2.1 2.2 Cormio, L.; Sanguedolce, F.; Massenio, P.; Di Fino, G.; Bruno, M.; Carrieri, G. (2015). "Testicular metastasis as the first clinical manifestation of pancreatic adenocarcinoma: a case report.". J Med Case Rep 9: 139. doi:10.1186/s13256-015-0626-4. PMID 26066034.
- ↑ Fragkoulis, C.; Pappas, A.; Goumas, G.; Gkialas, I.; Ntoumas, K.. "Renal cell carcinoma with metastasis to the testis.". J BUON 20 (2): 663. PMID 26011366.
- ↑ Shinn, BJ.; Greenwald, DW.; Ahmad, N. (2015). "Unilateral testicular metastasis of low PSA level prostatic adenocarcinoma.". BMJ Case Rep 2015. doi:10.1136/bcr-2015-209914. PMID 25994435.
- ↑ 5.0 5.1 Buck, DA.; Byrd, RH.; Holmes, CL.; Pollock, T.. "Testicular metastasis in a case of squamous cell carcinoma of the lung.". Case Rep Oncol 8 (1): 133-7. doi:10.1159/000380814. PMID 25873879.