Non-specific interstitial pneumonia
Non-specific interstitial pneumonia, abbreviated NSIP, is an uncommon type of diffuse lung disease.
| Non-specific interstitial pneumonia | |
|---|---|
| Diagnosis in short | |
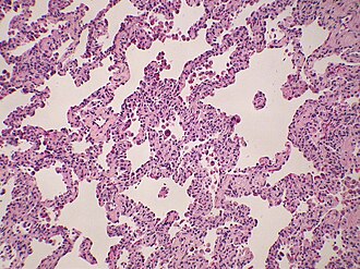
|
NSIP. H&E stain. | |
|
| |
| LM | diffuse fibrosis (uniform fibrosis (unlike UIP), +/-linear fibrosis (fibrosis that follows alveolar walls + no architectural distortion), +/-lymphoid nodules (assoc. with collagen vascular disease), +/-focal organizing pneumonia |
| Subtypes | idiopathic NSIP, NSIP due to an underlying cause |
| LM DDx | organizing pneumonia, collagen vascular disease, drug reaction, hypersensitivity pneumonitis, lymphocytic interstitial pneumonia |
| Site | lung - see diffuse lung diseases |
|
| |
| Signs | cough |
| Symptoms | dyspnea |
| Prevalence | uncommon |
| Radiology | lower lung zone fibrosis, patchy ground glass, no honeycombing |
| Prognosis | good |
| Treatment | corticosteroids (?) |
General
- Better prognosis than UIP.
- May respond to corticosteroids.[1]
- Some radiologists and pathologists don't believe in this entity.[citation needed]
Associations:[2]
Note:
- If no underlying cause is present it is known as idiopathic NSIP.
Clinical features (typical) of the idiopathic form:[4]
- Middle-aged, never-smoker women.
- Dyspnea.
- Cough.
- Ground glass on HRCT.
- Very good prognosis.
Gross/Radiology
- No honeycombing.
- Fibrosis usually lower lung zone.
- Patchy ground glass.
Microscopic
Features:[2]
- Diffuse fibrosis:
- Uniform fibrosis (unlike UIP).
- "Linear fibrosis" has a good prognosis - should be mentioned in the report.
- Linear fibrosis = fibrosis that follows alveolar walls + no architectural distortion.
- +/-Lymphoid nodules - association with collagen vascular disease. (???)
- +/-Focal organizing pneumonia.
Notes:
- Inflammation in NSIP usually more prominent than in UIP.
- No honeycombing - key difference between UIP and NSIP.
DDx:
- Collagen vascular disease.
- Drug reaction.
- Hypersensitivity pneumonitis (extrinic allergic alveolitis).
- Lymphocytic interstitial pneumonia (LIP) - much more inflammation.
- Organizing pneumonia.
Images
See also
References
- ↑ Lee JY, Jin SM, Lee BJ, et al. (June 2012). "Treatment response and long term follow-up results of nonspecific interstitial pneumonia". J. Korean Med. Sci. 27 (6): 661–7. doi:10.3346/jkms.2012.27.6.661. PMC 3369453. PMID 22690098. https://www.ncbi.nlm.nih.gov/pmc/articles/PMC3369453/.
- ↑ 2.0 2.1 Humphrey, Peter A; Dehner, Louis P; Pfeifer, John D (2008). The Washington Manual of Surgical Pathology (1st ed.). Lippincott Williams & Wilkins. pp. 92. ISBN 978-0781765275.
- ↑ Hauber HP, Bittmann I, Kirsten D (August 2011). "[Non-specific interstitial pneumonia (NSIP)]" (in German). Pneumologie 65 (8): 477–83. doi:10.1055/s-0030-1256284. PMID 21437858.
- ↑ Romagnoli M, Poletti V (December 2009). "[Update on non-specific interstitial pneumonia: a pattern, a clinical entity or different phenotypes? Surgical or bronchoscopic diagnosis?]" (in Italian). Recenti Prog Med 100 (12): 531–4. PMID 20178304.