Hyperplastic polyp of the stomach
Jump to navigation
Jump to search
Hyperplastic polyp of the stomach, also gastric hyperplastic polyp, is a common pathology of the stomach. Hyperplastic polyps more generally are dealt with in the hyperplastic polyp article.
| Hyperplastic polyp of the stomach | |
|---|---|
| Diagnosis in short | |
|
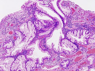
Hyperplastic polyp of the stomach. H&E stain. | |
|
| |
| LM | abundant foveolar cells and elongated glands, +/-gland dilation |
| LM DDx | Ménétrier's disease, juvenile polyp, Peutz-Jeghers polyp, fundic gland polyp |
| Gross | polypoid mass |
| Site | stomach |
|
| |
| Prevalence | common |
| Prognosis | benign - good |
| Clin. DDx | other gastric polyps |
General
- Benign.
- Most common gastric polyp.[1]
Gross
- Polypoid mass.
Microscopic
Features:[2]
- Abundant foveolar cells and elongated glands - key feature.
- +/-Gland dilation.
Negatives:
- No atypical nuclei.
- No hyperchromasia.
- No loss of pseudostratification.
Notes:
- No serrations - as in the colon.
DDx:
- Ménétrier's disease[3] (hyperplastic hypersecretory gastropathy).
- Juvenile polyp[1] - abundant lamina propria, dilated glands may have neutrophils.[4]
- Peutz-Jeghers polyp - thick superficial muscle.
- Fundic gland polyp - doesn't have foveolar hyperplasia.
Images
www:
Sign out
POLYP, STOMACH (ANTRUM), EXCISION: - HYPERPLASTIC POLYP.
Micro
The sections show antral-type gastric mucosa with hyperplastic gastric pits. No gland dilation is apparent. The epithelium matures to the surface. The lamina propria is not expanded.
Focal neutrophilic inflammation is present. No Helicobacter-like organisms are identified. No intestinal metaplasia is present. No mitotic activity or nuclear atypia is apparent.
See also
- Hyperplastic polyp of the colon and rectum.
- Stomach.
- Ménétrier's disease.
References
- ↑ 1.0 1.1 Jain, R.; Chetty, R. (Sep 2009). "Gastric hyperplastic polyps: a review.". Dig Dis Sci 54 (9): 1839-46. doi:10.1007/s10620-008-0572-8. PMID 19037727.
- ↑ URL: http://pathologyoutlines.com/stomach.html#hyperplastic. Accessed on: 26 July 2011.
- ↑ Park, do Y.; Lauwers, GY. (Apr 2008). "Gastric polyps: classification and management.". Arch Pathol Lab Med 132 (4): 633-40. doi:10.1043/1543-2165(2008)132[633:GPCAM]2.0.CO;2. PMID 18384215. http://www.archivesofpathology.org/doi/full/10.1043/1543-2165(2008)132%5B633:GPCAM%5D2.0.CO;2.
- ↑ Iacobuzio-Donahue, Christine A.; Montgomery, Elizabeth A. (2005). Gastrointestinal and Liver Pathology: A Volume in the Foundations in Diagnostic Pathology Series (1st ed.). Churchill Livingstone. pp. 102. ISBN 978-0443066573.