Intravenous drug use

From Libre Pathology
Revision as of 06:04, 22 October 2014 by Michael (talk | contribs)
(diff) ← Older revision | Latest revision (diff) | Newer revision → (diff)
Jump to navigation Jump to search
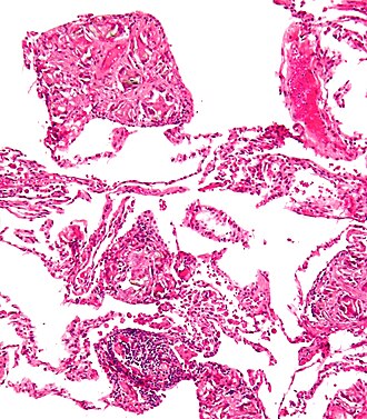
Micrograph showing pulmonary talcosis. H&E stain.

Intravenous drug use, abbreviated IVDU, is the injection of drugs of abuse into the veins.

IV drug users are relatively frequent forensic autopsies. As these people often live on the margins of society, they are at increased risk of trauma.

A classic story is, an addict gets released from jail and consumes their usual amount -- but in doing so over does it as they have lost their drug tolerance.

See also