Difference between revisions of "Epidermoid cyst of the testis"
Jump to navigation
Jump to search
| Line 5: | Line 5: | ||
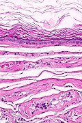
| Caption = Epidermoid cyst of testis. [[H&E stain]]. (WC) | | Caption = Epidermoid cyst of testis. [[H&E stain]]. (WC) | ||
| Synonyms = | | Synonyms = | ||
| Micro = unilocular cyst lined by squamous epithelium without significant nuclear atypia, no [[ | | Micro = unilocular cyst lined by squamous epithelium without significant nuclear atypia, no [[GCNIS]] (ITGCN) | ||
| Subtypes = | | Subtypes = | ||
| LMDDx = [[teratoma]], [[mixed germ cell tumour]], [[immature teratoma]], [[dermoid cyst]] of testis (subtype of teratoma) | | LMDDx = [[teratoma]], [[mixed germ cell tumour]], [[immature teratoma]], [[dermoid cyst]] of testis (subtype of teratoma) | ||
| Line 61: | Line 61: | ||
DDx: | DDx: | ||
*[[Dermoid cyst]] - adnexal structures, e.g. sweat glands, hair follicules. | *[[Dermoid cyst]] - adnexal structures, e.g. sweat glands, hair follicules. | ||
*[[Teratoma]] - nuclear atypia, multilocular, | *[[Teratoma]] - nuclear atypia, multilocular, mesenchymal elements. | ||
*[[Mixed germ cell tumour]]. | *[[Mixed germ cell tumour]]. | ||
Revision as of 23:42, 15 March 2016
| Epidermoid cyst of the testis | |
|---|---|
| Diagnosis in short | |
|
Epidermoid cyst of testis. H&E stain. (WC) | |
|
| |
| LM | unilocular cyst lined by squamous epithelium without significant nuclear atypia, no GCNIS (ITGCN) |
| LM DDx | teratoma, mixed germ cell tumour, immature teratoma, dermoid cyst of testis (subtype of teratoma) |
| Gross | unilocular cyst containing keratineous material with a laminated appearance |
| Grossing notes | orchiectomy grossing |
| Site | testis |
|
| |
| Signs | testicular mass |
| Symptoms | typically asymptomatic |
| Prevalence | rare (1-2% of testicular masses) |
| Blood work | normal (beta-hCG, AFP, LDH) |
| Prognosis | benign |
| Clin. DDx | other testicular mass - germ cell tumours, abscess |
| Treatment | excision to exclude a malignant tumour/treat symptoms |
Epidermoid cyst of the testis is a rare benign lesion of the testis. It is important to differentiate it from a testicular teratoma.
General
Clinical:
- Asymptomatic mass (typical).[1]
Gross
Features:[2]
- Unilocular cyst containing keratineous material with a laminated appearance.
Notes:
- Teratomas are usually multilocular.
- Presence of hair suggests a dermoid cyst.
Microscopic
Features:[2]
- Cyst lined by squamous epithelium without significant nuclear atypia.
- No adnexal structures.
- No intratubular germ cell neoplasia in the adjacent seminiferous tubules.
- No nuclear atypia.
Notes:
- Surround testis usually within normal limits.
- Granulomas may be seen in the context of cyst rupture.
DDx:
- Dermoid cyst - adnexal structures, e.g. sweat glands, hair follicules.
- Teratoma - nuclear atypia, multilocular, mesenchymal elements.
- Mixed germ cell tumour.
Images
See also
References
- ↑ 1.0 1.1 1.2 Loya, AG.; Said, JW.; Grant, EG. (Oct 2004). "Epidermoid cyst of the testis: radiologic-pathologic correlation.". Radiographics 24 Suppl 1: S243-6. doi:10.1148/rg.24si035223. PMID 15486244.
- ↑ 2.0 2.1 Ye, H.; Ulbright, TM. (Apr 2012). "Difficult differential diagnoses in testicular pathology.". Arch Pathol Lab Med 136 (4): 435-46. doi:10.5858/arpa.2011-0475-RA. PMID 22458906.