Zenker's diverticulum
(Redirected from ZD)
Jump to navigation
Jump to search
| Zenker's diverticulum | |
|---|---|
| Diagnosis in short | |
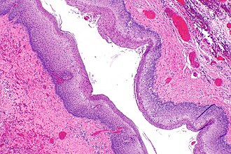
|
Consistent with Zenker's diverticulum (squamous mucosa). H&E stain. | |
|
| |
| Synonyms | cricopharyngeal diverticulum, pharyngoesophageal diverticulum and hypopharyngeal diverticulum |
|
| |
| LM | squamous mucosa without nuclear atypia +/- parakeratosis |
| LM DDx | squamous dysplasia of the esophagus, squamous cell carcinoma of the esophagus, squamous cell carcinoma of the head and neck |
| Site | esophagus/pharynx |
|
| |
| Clinical history | elderly |
| Symptoms | dysphagia |
| Prognosis | benign |
| Treatment | excision |
Zenker's diverticulum is an outpouching of the mucosa and submucosa at the junction of the pharynx and esophagus.
It is also known as cricopharyngeal diverticulum, pharyngoesophageal diverticulum and hypopharyngeal diverticulum.[1]
General
- Clinical diagnosis.
- Benign.
- A malignancy (squamous cell carcinoma) may arise from it;[2][3] seen in ~0.3% of cases.[4]
- Relatively uncommon[5] - but most common among esophageal diverticula.[6]
Clinical:[5]
Gross
Images
Microscopic
Features:[7]
- Squamous mucosa without nuclear atypia +/- parakeratosis.
DDx:
- Squamous dysplasia of the esophagus.
- Squamous cell carcinoma of the esophagus.
- Squamous cell carcinoma of the head and neck.
Images
ZD - very low mag. (WC)
ZD - very low mag. (WC)
ZD - low mag. (WC)
ZD - intermed. mag. (WC)
Sign out
Submitted as "Zenker's Diverticulum", Excision: - Squamous mucosa with parakeratosis, mild chronic inflammation and fibrosis; compatible with Zenker's diverticulum. - NEGATIVE for dysplasia and NEGATIVE for malignancy.
Alternate
Submitted as "Zenker's Diverticulum", Excision: - Squamous mucosa with mild chronic inflammation and reactive changes; compatible with Zenker's diverticulum. - Benign skeletal muscle. - NEGATIVE for dysplasia and NEGATIVE for malignancy.
See also
References
- ↑ Nuño-Guzmán, CM.; García-Carrasco, D.; Haro, M.; Arróniz-Jáuregui, J.; Corona, JL.; Salcido, M.. "Zenker's Diverticulum: Diagnostic Approach and Surgical Management.". Case Rep Gastroenterol 8 (3): 346-52. doi:10.1159/000369130. PMID 25759630.
- ↑ Acar, T.; Savaş, R.; Kocaçelebi, K.; Ersöz, G. (Sep 2015). "Squamous cell carcinoma arising from a Zenker's diverticulum: contribution of FDG-PET/CT to the diagnosis.". Dis Esophagus. doi:10.1111/dote.12406. PMID 26415863.
- ↑ Wakita, A.; Motoyama, S.; Sato, Y.; Yoshino, K.; Sasaki, T.; Saito, H.; Minamiya, Y.; Ogawa, J. (2012). "Squamous cell carcinoma in an esophageal diverticulum below the aortic arch.". Int J Surg Case Rep 3 (11): 574-6. doi:10.1016/j.ijscr.2012.07.010. PMID 22940699.
- ↑ Iacobuzio-Donahue, Christine A.; Montgomery, Elizabeth A. (2005). Gastrointestinal and Liver Pathology: A Volume in the Foundations in Diagnostic Pathology Series (1st ed.). Churchill Livingstone. pp. 7. ISBN 978-0443066573.
- ↑ 5.0 5.1 Law, R.; Katzka, DA.; Baron, TH. (Nov 2014). "Zenker's Diverticulum.". Clin Gastroenterol Hepatol 12 (11): 1773-82; quiz e111-2. doi:10.1016/j.cgh.2013.09.016. PMID 24055983.
- ↑ Iacobuzio-Donahue, Christine A.; Montgomery, Elizabeth A. (2005). Gastrointestinal and Liver Pathology: A Volume in the Foundations in Diagnostic Pathology Series (1st ed.). Churchill Livingstone. pp. 6. ISBN 978-0443066573.
- ↑ 7.0 7.1 Singaporewalla, RM.; Mukherjee, JJ.; Thamboo, TP.; Cheah, WK. (Dec 2011). "Pharyngoesophageal diverticulum resembling a thyroid nodule on ultrasound.". Head Neck 33 (12): 1800-3. doi:10.1002/hed.21474. PMID 20665743.