Pseudopyloric mucous glands

From Libre Pathology
(Redirected from Pyloric gland metaplasia)
Jump to navigation Jump to search
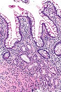
Micrograph showing pseudopyloric mucous glands (bottom) and intestinal epithelium (top). H&E stain.

Pseudopyloric mucous glands, also pyloric gland metaplasia,[1] is a change seen the intestine. It is associated with Crohn's disease.

Pseudopyloric mucous glands is abbreviated PMG. Pyloric gland metaplasia is abbreviated PGM.

General

Microscopic

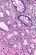
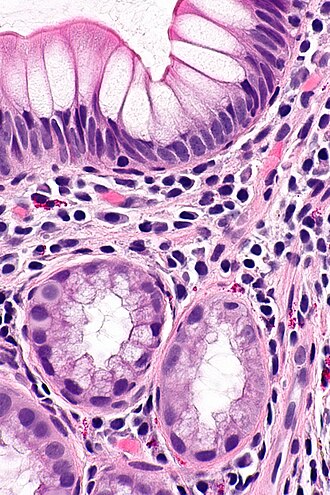
Features:[4]

  • Round glands composed of tall columnar cells with:
    • Abundant pale (pink) cytoplasm.
    • Small basal nuclei.
  • Usually in the deep aspect of the mucosa.

Note:

  • The lining cells look somewhat like stubby champagne flutes.

Images

See also

References

  1. URL: http://www.medunigraz.at/22698. Accessed on: 6 August 2013.
  2. Geboes, K.; Ectors, N.; D'Haens, G.; Rutgeerts, P. (Feb 1998). "Is ileoscopy with biopsy worthwhile in patients presenting with symptoms of inflammatory bowel disease?". Am J Gastroenterol 93 (2): 201-6. doi:10.1111/j.1572-0241.1998.00201.x. PMID 9468242.
  3. Agarwal, S.; Stucchi, AF.; Dendrinos, K.; Cerda, S.; O'Brien, MJ.; Becker, JM.; Heeren, T.; Farraye, FA. (Oct 2013). "Is pyloric gland metaplasia in ileal pouch biopsies a marker for Crohn's disease?". Dig Dis Sci 58 (10): 2918-25. doi:10.1007/s10620-013-2655-4. PMID 23543088.
  4. Weber, CR.; Rubin, DT. (Oct 2013). "Chronic pouchitis versus recurrent Crohn's disease: a diagnostic challenge.". Dig Dis Sci 58 (10): 2748-50. doi:10.1007/s10620-013-2816-5. PMID 23925821.