Papillary renal neoplasm with reverse polarity
Jump to navigation
Jump to search
| Papillary renal neoplasm with reverse polarity | |
|---|---|
| Diagnosis in short | |
|
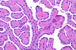
Papillary renal neoplasm with reverse polarity. H&E stain. | |
|
| |
| LM | papillary structures, eosinophilic cytoplasm, reverse polarity of nuclei (nuclei at luminal aspect of cell), low nuclear grade |
| LM DDx | eosinophilic papillary renal cell carcinoma, other renal tumours with eosinophilic cytoplasm |
| IHC | GATA3 +ve, PAX-8 +ve, CK7 +ve, CD10 +ve, CD117 -ve |
| Molecular | KRAS mutations |
| Grossing notes | partial nephrectomy, radical nephrectomy |
| Site | kidney - see kidney tumours |
|
| |
| Prevalence | rare |
| Prognosis | indolent - based on limited data |
| Clin. DDx | other kidney tumours |
Papillary renal neoplasm with reverse polarity is a rare renal tumour and an evolving entity.[1] It has a distinctive morphology that matches the name.
General
- Evolving entity.
- Thought to be distinct from eosinophilic papillary renal cell carcinoma.[2][3]
- Early data suggests an indolent behaviour.[1]
Microscopic
Features:[1]
- Branching papillae with:
- Thin fibrovascular cores.
- Cuboidal to columnar lining cells with granular eosinophilic cytoplasm.
- May have occasional cytoplasmic clearing.
- Smooth luminal borders.
- Reverse polarized nuclei (luminal nuclei; nuclei closer to lumen than basement membrane).
- Nucleoli absent or small.
DDx:
- Eosinophilic papillary renal cell carcinoma - considered distinct from this entity.
- Renal tumours with eosinophilic cytoplasm.
Images
Case 1
Case 2
IHC
Features:[1]
- GATA3 +ve (43 of 43 cases[3]) - key stain.
- Negative in other papillary RCCs.[3]
- CK7 +ve (88% +ve, 37 of 42 cases[3]).
- CD10 +ve/-ve (50% +ve, 21 of 42 cases[3]).
- Vimentin -ve (all cases).
- CD117 -ve.
- AE1/AE3 +ve.
- EMA +ve.
- L1CAM +ve.
- PAX8 +ve.
- AMACR -ve (4 of 43 cases[3]).
- RCC -ve (1 of 43 cases[3]).
Differentiating between papillary RCC and PRNRP
Adapted from Kim et al.:[3]
| Diagnosis | GATA3 | AMACR | RCC | Vimentin |
|---|---|---|---|---|
| Papillary RCC | 0% +ve | 85-90% +ve | 60-75% +ve | 60-70% +ve |
| PRNRP | 100% +ve | ~10% +ve | ~2% +ve | ~2% +ve |
Molecular
Sign out
A. Right Kidney, Tumour, Partial Nephrectomy: - Papillary renal neoplasm with reverse polarity, clear of margin, see comment. Comment: The tumour has a papillary architecture, eosinophilic cytoplasm, low nuclear grade, and reversed nuclear polarity. It stains as follows: POSITIVE: PAX8 (moderate, diffuse), CK7 (strong, diffuse), AE1/AE3 (strong, diffuse), GATA3 (moderate, diffuse), AMACR (moderate, diffuse). NEGATIVE: vimentin (stroma), CD117, CD10. The findings are in keeping with papillary renal neoplasm with reverse polarity (PRNRP). PRNRP is thought to be distinct from papillary RCC.[1][2] Limited data suggests PRNRP has an indolent behaviour.[3] Follow-up is recommended. 1. Pathol Int. 2024 Apr;74(4):222-226. doi: 10.1111/pin.13417. https://pubmed.ncbi.nlm.nih.gov/38456605/ 2. Hum Pathol. 2023 Dec:142:1-6. doi: 10.1016/j.humpath.2023.09.011. https://pubmed.ncbi.nlm.nih.gov/37797754/ 3. Am J Surg Pathol. 2019 Aug;43(8):1099-1111. doi: 10.1097/PAS.0000000000001288. https://pubmed.ncbi.nlm.nih.gov/31135486/
See also
References
- ↑ 1.0 1.1 1.2 1.3 Al-Obaidy KI, Eble JN, Cheng L, Williamson SR, Sakr WA, Gupta N, Idrees MT, Grignon DJ (August 2019). "Papillary Renal Neoplasm With Reverse Polarity: A Morphologic, Immunohistochemical, and Molecular Study". Am J Surg Pathol 43 (8): 1099–1111. doi:10.1097/PAS.0000000000001288. PMID 31135486.
- ↑ Castillo VF, Trpkov K, Van der Kwast T, Rotondo F, Hamdani M, Saleeb R (April 2024). "Papillary renal neoplasm with reverse polarity is biologically and clinically distinct from eosinophilic papillary renal cell carcinoma". Pathol Int 74 (4): 222–226. doi:10.1111/pin.13417. PMID 38456605.
- ↑ 3.0 3.1 3.2 3.3 3.4 3.5 3.6 3.7 3.8 Kim B, Lee S, Moon KC (December 2023). "Papillary renal neoplasm with reverse polarity: a clinicopathologic study of 43 cases with a focus on the expression of KRAS signaling pathway downstream effectors". Hum Pathol 142: 1–6. doi:10.1016/j.humpath.2023.09.011. PMID 37797754.