Male infertility
Jump to navigation
Jump to search
| Male infertility | |
|---|---|
| Diagnosis in short | |
|
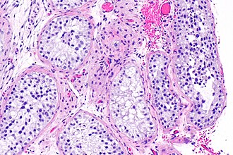
Mixed pattern male infertility (Sertoli cells only mixed with hypospermatogensis). H&E stain. | |
|
| |
| LM | various patterns - see microscopic |
| LM DDx | germ cell neoplasia in situ, germ cell tumour, inflammation of the testis |
| Site | testis, vas deferens and other sites |
|
| |
| Prevalence | not very common |
| Prognosis | benign |
| Clin. DDx | (clinical diagnosis) |
| Treatment | dependent on underlying cause |
Male infertility is a clinical diagnosis. It is pretty much the only reason for a testicular biopsy.
This article focuses on the testicular causes of infertility. Testicular biopsy redirects to here.
General
- Infertility is a clinical diagnosis.
It can be divided into:[1]
- Pre-testicular - e.g. hormonal, pituitary.
- Testicular.
- Post-testicular - e.g. blockage of vas deferens.
Microscopic
Male infertility on testicular biopsy shows one the following patterns:[1]
- Normal testis.
- Hypospermatogensis.
- Maturation arrest.
- Sertoli cells only.
- Seminiferous tubule hyalinization
- Some combination of the above patterns.
DDx:
- Germ cell neoplasia in situ (GCNIS).
- Germ cell tumour.
- Testicular adrenal rest tumour in the context of congenital adrenal hyperplasia - case report.[2]
- Inflammation of the testis.
Sign out
- The diagnosis should be the pattern (#1-6 above).
The following should be commented on:
- The number of tubules.
- The number of tubules with sperm.
- Hyalinization of the tubules.
- Inflammation.
- Absence of germ cell neoplasia in situ.
Mixed pattern
LEFT TESTIS, BIOPSY WITH SPERM RETRIEVAL: - SERTOLI CELLS ONLY REGIONS (25% OF BIOPSY) INTERMIXED WITH HISTOLOGICALLY NORMAL TESTIS (75% OF BIOPSY) WITH NORMAL NUMBERS OF SPERM. - NEGATIVE FOR SIGNIFICANT SEMINIFEROUS TUBULE HYALINIZATION. - NEGATIVE FOR SIGNIFICANT INFLAMMATION. - NEGATIVE FOR GERM CELL NEOPLASIA IN SITU (INTRATUBULAR GERM CELL NEOPLASIA).
Hypospematogensis
A. Left Testis, Biopsy with Sperm Retrieval: - Hypospematogensis (70% of biopsy) intermixed with histologically normal test (30% of biopsy) with normal numbers of sperm. - NEGATIVE for significant seminiferous tubule hyalinization. - NEGATIVE for significant inflammation. - NEGATIVE for germ cell neoplasia in situ.
Normal
A. Right Testis, Biopsy: - Testis within normal limits with spermatogenesis. - NEGATIVE for significant inter-tubular changes. - NEGATIVE for significant seminiferous tubule hyalinization. - NEGATIVE for significant inflammation. - NEGATIVE for germ cell neoplasia in situ.
See also
References
- ↑ 1.0 1.1 Cerilli LA, Kuang W, Rogers D (August 2010). "A practical approach to testicular biopsy interpretation for male infertility". Arch Pathol Lab Med 134 (8): 1197–204. doi:10.5858/2009-0379-RA.1. PMID 20670143.
- ↑ Niedziela, M.; Joanna, T.; Piotr, J. (Sep 2012). "Testicular adrenal rest tumors (TARTs) as a male infertility factor. Case report.". Ginekol Pol 83 (9): 700-2. PMID 23342900.