Pulmonary hamartoma
| Pulmonary hamartoma | |
|---|---|
| Diagnosis in short | |
|
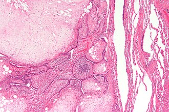
Template:Px Pulmonary hamartoma. H&E stain. | |
|
| |
| LM | benign cartilage, adipocytes and respiratory epithelium; lesion without significant nuclear atypia |
| Gross | well circumscribed, cartilageous or fatty appearing |
| Site | lung - see lung tumours |
|
| |
| Prevalence | uncommon |
| Radiology | popcorn-type calcifications |
| Prognosis | benign |
| Clin. DDx | slow growing lung tumours |
Pulmonary hamartoma, also lung hamartoma, is a benign lesion of the lung that may be confused with malignancy.[1]
General
- Benign.
- Malignant transformation reported.[2]
- Typically an incidental (radiologic) finding.[3]
- Treatment: surgical resection.
Gross
- Well circumscribed lesion.
- Varied morphology.
Radiology
Microscopic
Features:
- Cartilage - key feature.
- Single cells in lacunae surrounded by abundant matrix.
- Paucicellular vis-a-vis malignant lesions.
- Single cells in lacunae surrounded by abundant matrix.
- Fat (adipocytes) - key feature.
- Respiratory epithelium (columnar epithelium with cilia).
Notes:
- No nuclear atypia.
DDx:
- Other lung tumours - especially slow growing ones.
- Myxoid sarcomas, e.g. myxoid chondrosarcoma.
Images
www:
IHC
- S100 +ve[1] - highlights the fat.
Sign out
Biopsy
Right Upper Lobe of Lung, Core Biopsy:
- Chondromyxoid neoplasm, favour pulmonary hamartoma versus chondroma,
see comment.
- Scant lung parenchyma, benign.
Comment:
The lesion stains with S-100.
Excision
LUNG LESION, LEFT UPPER LOBE, WEDGE RESECTION: - PULMONARY HAMARTOMA WITH MILD FOCAL ACUTE INFLAMMATION AND SURROUNDING EDEMA. - SURROUNDING LUNG WITH MILD EMPHYSEMATOUS CHANGES.
Micro
The sections show lung with a well circumscribed lesion with a fibrous capsule partially lined by respiratory-type epithelium. The lesion consists of abundant respiratory epithelium and glands with focal sheeting and small collections of neutrophils focally. Small foci of degenerative changes are seen. The epithelium of the lesion as a bland cytomorphology. Mitotic activity is not readily apparent. Fat is not identified as a component of the lesion. Around the periphery of the lesion pulmonary edema is present.
The piece surrounding lung more distant from the lesion has mild emphysematous changes. No interstitial fibrosis is identified. No significant inflammation is present. The arteries are approximately the size of accompanying airway. The arteries have no appreciable intimal thickening.
See also
- Pulmonary pathology.
- Multifocal micronodular pneumocyte hyperplasia associated with tuberous sclerosis.
- Hamartoma.
References
- ↑ 1.0 1.1 Wood, B.; Swarbrick, N.; Frost, F.. "Diagnosis of pulmonary hamartoma by fine needle biopsy.". Acta Cytol 52 (4): 412-7. PMID 18702357.
- ↑ Lee, BJ.; Kim, HR.; Cheon, GJ.; Koh, JS.; Kim, CH.; Lee, JC. (Feb 2011). "Squamous cell carcinoma arising from pulmonary hamartoma.". Clin Nucl Med 36 (2): 130-1. doi:10.1097/RLU.0b013e318203bc27. PMID 21220977.
- ↑ Yang, C.; Zhao, H.; Yin, H. (Jul 1999). "[Diagnosis and treatment of pulmonary hamartoma].". Zhonghua Jie He He Hu Xi Za Zhi 22 (7): 399-400. PMID 11775809.
- ↑ Diederich, S. (Feb 2006). "[Pulmonary tumors].". Radiologe 46 (2): 155-64; quiz 165-6. doi:10.1007/s00117-005-1315-x. PMID 16369824.
- ↑ Park, CM.; Goo, JM. (Mar 2009). "Images in clinical medicine. "Popcorn" calcifications in a pulmonary chondroid hamartoma.". N Engl J Med 360 (12): e17. doi:10.1056/NEJMicm0708685. PMID 19297567.
- ↑ URL: http://www.path.utah.edu/casepath/pm%20cases/pmcase8/pmcase8part4.htm. Accessed on: 9 June 2011.