Hemangioma of the liver
(Redirected from Liver hemangioma)
Jump to navigation
Jump to search
| Hemangioma of the liver | |
|---|---|
| Diagnosis in short | |
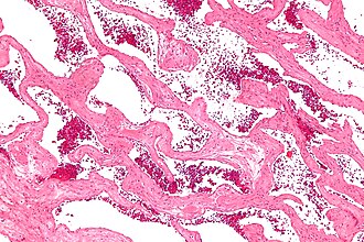
|
Template:Px Cavernous liver hemangioma. H&E stain. | |
| LM DDx | epithelioid hemangioendothelioma, angiosarcoma, metastatic disease |
| Site | liver |
|
| |
| Clinical history | often an incidental finding |
| Symptoms | +/-upper abdominal pain |
| Radiology | well circumscribed mass |
| Prognosis | benign |
| Clin. DDx | metastatic disease |
| Treatment | usually follow-up, non-conservative if very large |
Hemangioma of the liver, also liver hemangioma and hepatic hemangioma, is a benign vascular tumour of the liver, that may be mistaken for metastatic disease.[1]
Hemangiomas, more generally, are dealt with in the hemangioma article.
General
- Benign.[2]
- Can be hard to differentiate from metastatic disease on imaging.[1]
- May cause congestive heart failure in infants - if large.[3]
- May rupture and be life-threatening.[4]
Clinical:
- Do not grow in size - can be followed if small or medium size (<10 cm).[2]
- Usually an incidental finding (incidentaloma) and often asymptomatic.[2]
- Large lesions may present with upper abdominal pain.
Gross
- Variable size.
- Well circumscribed.
- Classically subcapsular.[citation needed]
Microscopic
Features:
- Channels lined by benign endothelium containing RBCs.
- Surrounding (non-endothelial) cells without significant atypia.
DDx:
- Epithelioid hemangioendothelioma - atypical perivascular cells, classically with cytoplasmic vacuolization ("blister cells").
- Angiosarcoma.
- Metastatic disease.
Images
- Cavernous liver hemangioma - intermed mag.jpg
Cavernous liver hemangioma - intermed. mag. (WC/Nephron)
- Cavernous liver hemangioma - high mag.jpg
Cavernous liver hemangioma - high mag. (WC/Nephron)
Sign out
Liver Lesion, Core Biopsy: - Cavernous hemangioma. - NEGATIVE for malignancy.
Micro
The sections show dilated vascular spaces containing red blood cells that are lined by endothelial cells without significant atypia. The vascular spaces are separated by bland fibrous tissue.
Abnormal perivascular cells are not identified. The background liver is without atypia and does not have appreciable fat.
See also
References
- ↑ 1.0 1.1 Yamashita, Y.; Shimada, M.; Taguchi, K.; Gion, T.; Hasegawa, H.; Utsunomiya, T.; Hamatsu, T.; Matsumata, T. et al. (2000). "Hepatic sclerosing hemangioma mimicking a metastatic liver tumor: report of a case.". Surg Today 30 (9): 849-52. PMID 11039718.
- ↑ 2.0 2.1 2.2 Bajenaru, N.; Balaban, V.; Săvulescu, F.; Campeanu, I.; Patrascu, T. (2015). "Hepatic hemangioma -review.". J Med Life 8 Spec Issue: 4-11. PMID 26361504.
- ↑ Kayaalp, C.; Sabuncuoglu, MZ. (Aug 2015). "Embolization of Liver Hemangiomas.". Hepat Mon 15 (8): e30334. doi:10.5812/hepatmon.30334. PMID 26322113.
- ↑ Vokaer, B.; Kothonidis, K.; Delatte, P.; De Cooman, S.; Pector, JC.; Liberale, G.. "Should ruptured liver haemangioma be treated by surgery or by conservative means? A case report.". Acta Chir Belg 108 (6): 761-4. PMID 19241936.