Aggressive angiomyxoma
(Redirected from Deep aggressive angiomyxoma)
Jump to navigation
Jump to search
| Aggressive angiomyxoma | |
|---|---|
| Diagnosis in short | |
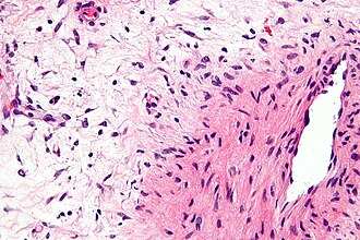
|
Aggressive angiomyxoma. H&E stain. | |
|
| |
| LM | thick blood vessels that meld into the surrounding stroma, myxoid stroma, small stellate cells/spindle cells without significant nuclear atypia |
| LM DDx | angiomyofibroblastoma, neurofibroma, myxoma |
| IHC | desmin +ve, vimentin +ve, ER +ve, PR +ve |
| Gross | poorly circumscribed lesion with a "rubbery" or "gelatinous" consistency |
| Site | soft tissue - typically vulva, scrotum |
|
| |
| Signs | mass lesion |
| Prevalence | rare |
| Prognosis | benign, locally aggressive |
| Clin. DDx | Bartholin cyst, angiomyofibroblastoma |
| Treatment | excision |
Aggressive angiomyxoma, also deep aggressive angiomyxoma, is a rare benign lesion, typically of the vulva, with a locally aggressive behaviour.
General
- Classically a vulvar mass or (less commonly) a scrotal mass.
- Case report of a thigh lesion.[1]
- Benign - no metastatic potential.
- "Aggressive" as it has a high recurrance.
Gross
- Poorly circumscribed.
- "Rubbery" or "gelatinous".
Location:
- Vulva - classic location.
Clinical DDx:
Microscopic
Features:[2]
- Thick blood vessels that meld into the surrounding stroma - key feature.
- Myxoid stroma - key feature.
- Small stellate cell/spindle cells without significant nuclear atypia.
DDx:
Images
www:
- Aggressive angiomyxoma - low mag. (webpathology.com).
- Aggressive angiomyxoma - high mag. (webpathology.com).
- Aggressive angiomyxoma - several images (upmc.edu).
IHC
Features:[2]
- Desmin +ve.
- Vimentin +ve.
- ER +ve.
- PR +ve.
See also
References
- ↑ Heffernan, EJ.; Hayes, MM.; Alkubaidan, FO.; Clarkson, PW.; Munk, PL. (Jul 2008). "Aggressive angiomyxoma of the thigh.". Skeletal Radiol 37 (7): 673-8. doi:10.1007/s00256-008-0465-0. PMID 18338163.
- ↑ 2.0 2.1 Humphrey, Peter A; Dehner, Louis P; Pfeifer, John D (2008). The Washington Manual of Surgical Pathology (1st ed.). Lippincott Williams & Wilkins. pp. 624. ISBN 978-0781765275.
- ↑ Fletcher, CD.; Tsang, WY.; Fisher, C.; Lee, KC.; Chan, JK. (Apr 1992). "Angiomyofibroblastoma of the vulva. A benign neoplasm distinct from aggressive angiomyxoma.". Am J Surg Pathol 16 (4): 373-82. PMID 1314521.