Clear cell papillary renal cell tumour
Jump to navigation
Jump to search
| Clear cell papillary renal cell tumour | |
|---|---|
| Diagnosis in short | |
|
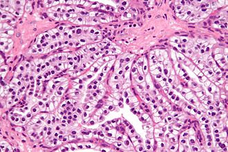
Clear cell papillary renal cell tumour. H&E stain. | |
|
| |
| Synonyms | previously known as clear cell tubulopapillary renal cell carcinoma and clear cell papillary renal cell carcinoma |
|
| |
| LM | low (ISUP nucleolar) grade apical nuclei, clear cells, pseudopapillae, cystic and/or tubular architectures |
| LM DDx | clear cell renal cell carcinoma, papillary renal cell carcinoma, Xp11.2 translocation carcinoma |
| IHC | CK7 +ve, AMACR -ve, CD10 -ve, TFE3 -ve |
| Grossing notes | total nephrectomy for tumour grossing, partial nephrectomy grossing |
| Staging | kidney cancer staging |
| Site | kidney - see renal tumours |
|
| |
| Prevalence | uncommon |
| Prognosis | good |
| Clin. DDx | other renal tumours |
Clear cell papillary renal cell tumour, abbreviated CCPRCT, is a relatively common benign renal tumour.
It was previously known as clear cell papillary renal cell carcinoma, abbreviated CCPRCC
It is also previously known as clear cell tubulopapillary renal cell carcinoma,[1] abbreviated CCTPRCC.
General
- Relatively new entity.
- Shown to be distinct on a molecular basis.[3]
- No vHL gene mutations,[4] seen in clear cell renal cell carcinoma.
- Good prognosis.
- Previously classified as carcinoma.
- Relatively common - if one considers it a RCC: it is the fourth most common type.[7]
- Most common (in order): clear cell RCC, papillary RCC, chromophobe RCC, clear cell papillary RCC.
Microscopic
Features:[1]
- Some features of both:
- Clear cell RCC.
- Clear cells.
- Papillary RCC.
- Pseudopapillae - often do not have true papillae.
- Clear cell RCC.
- Apical nuclei - should be predominant ‡ - key feature.[8]
- In most glandular structures the nuclei are usu. basally located, i.e. in the cytoplasm adjacent to the basement membrane.
- Tubular and/or cystic architecture.
Notes: ‡
- Apical nuclei may be seen focally in clear cell renal cell carcinoma.
- Nuclei should be low grade (ISUP nucleolar grade 1 or 2).
DDx:
- Clear cell renal cell carcinoma - main DDx.
- Papillary renal cell carcinoma.
- Xp11.2 translocation carcinoma.
Note:
- Renal angiomyoadenomatous tumour has been proposed as separate entity.[9] The Vancouver modification of the WHO classification does not consider it a separate entity; it lumps it with clear cell papillary renal cell carcinoma.
Images
www:
IHC
Features:[1]
- CK7 +ve - esp. diffuse.[10]
- Usually -ve (or patchy) in clear cell RCC.
- CD10 -ve (0 +ve/9 cases in one series[1]).
- Usually +ve in clear cell RCC.
- Positive in Xp11.2 translocation carcinoma.[11]
- TFE3 -ve.
- By definition +ve in Xp11.2 translocation carcinoma.
- AMACR -ve.[12]
- Usu. +ve in Papillary RCC.
- Smooth muscle actin +ve (focal).[13]
Others:[1]
How to remember: The two key stains are opposite of what the name implies.
- Clear cell RCC: CK7 negative. In this tumour it is the opposite - CK7 is positive.
- Papillary RCC: AMACR positive. In this tumour it is the opposite - AMACR is negative.
Sign out
A. Left Kidney Mass, Radical Nephrectomy:
- CLEAR CELL PAPILLARY RENAL CELL TUMOUR, nucleolar grade 1 of 4, see comment.
-- Margins clear.
-- Please see synoptic report.
Comment:
The tumour has a tubulocystic architecture and is composed of cuboidal cells with clear cytoplasm. The nuclei are reverse stratified.
The tumour stains as follows:
POSITIVE: PAX8 (strong, diffuse), CK7 (strong, diffuse), MA903 (strong, diffuse), CAIX (moderate, patchy cup-like), AE1/AE3 (moderate, diffuse), GATA3 (moderate, diffuse).
NEGATIVE: CD10, AMACR.
The findings are in keeping with clear cell papillary renal cell tumour. These tumours were previously called "clear cell papillary renal cell carcinoma".[1]
These tumours have a highly favourable clinical behaviour.[2,3]
1. Pathologica. 2022 Feb;115(1):8-22. doi: 10.32074/1591-951X-818. https://pmc.ncbi.nlm.nih.gov/articles/PMC10342217/
2. Am J Surg Pathol. 2015 Dec;39(12):1621-34. DOI: 10.1097/PAS.0000000000000513
3. Pathology. 2020 Nov 19;S0031-3025(20)30957-0. DOI: 10.1016/j.pathol.2020.10.002
Biopsy
Diagnosing the this entity on biopsy should be done with caution as:
- Overlaps are described between clear cell renal cell carcinoma and clear cell papillary renal cell tumour.[17]
- Clear cell papillary renal cell tumour may also be seen in conjunction with (other) renal cell carcinoma(s).[18]
See also
References
- ↑ 1.0 1.1 1.2 1.3 1.4 1.5 Rohan, SM.; Xiao, Y.; Liang, Y.; Dudas, ME.; Al-Ahmadie, HA.; Fine, SW.; Gopalan, A.; Reuter, VE. et al. (Sep 2011). "Clear-cell papillary renal cell carcinoma: molecular and immunohistochemical analysis with emphasis on the von Hippel-Lindau gene and hypoxia-inducible factor pathway-related proteins.". Mod Pathol 24 (9): 1207-20. doi:10.1038/modpathol.2011.80. PMID 21602815.
- ↑ Srigley, JR.; Delahunt, B.; Eble, JN.; Egevad, L.; Epstein, JI.; Grignon, D.; Hes, O.; Moch, H. et al. (Oct 2013). "The International Society of Urological Pathology (ISUP) Vancouver Classification of Renal Neoplasia.". Am J Surg Pathol 37 (10): 1469-89. doi:10.1097/PAS.0b013e318299f2d1. PMID 24025519.
- ↑ Rohan, SM.; Xiao, Y.; Liang, Y.; Dudas, ME.; Al-Ahmadie, HA.; Fine, SW.; Gopalan, A.; Reuter, VE. et al. (Sep 2011). "Clear-cell papillary renal cell carcinoma: molecular and immunohistochemical analysis with emphasis on the von Hippel-Lindau gene and hypoxia-inducible factor pathway-related proteins.". Mod Pathol 24 (9): 1207-20. doi:10.1038/modpathol.2011.80. PMID 21602815.
- ↑ Aydin, H.; Chen, L.; Cheng, L.; Vaziri, S.; He, H.; Ganapathi, R.; Delahunt, B.; Magi-Galluzzi, C. et al. (Nov 2010). "Clear cell tubulopapillary renal cell carcinoma: a study of 36 distinctive low-grade epithelial tumors of the kidney.". Am J Surg Pathol 34 (11): 1608-21. doi:10.1097/PAS.0b013e3181f2ee0b. PMID 20924276.
- ↑ Diolombi, ML.; Cheng, L.; Argani, P.; Epstein, JI. (Dec 2015). "Do Clear Cell Papillary Renal Cell Carcinomas Have Malignant Potential?". Am J Surg Pathol 39 (12): 1621-34. doi:10.1097/PAS.0000000000000513. PMID 26426379.
- ↑ Williamson SR (January 2021). "Clear cell papillary renal cell carcinoma: an update after 15 years". Pathology 53 (1): 109–119. doi:10.1016/j.pathol.2020.10.002. PMID 33223139.
- ↑ Zhou, H.; Zheng, S.; Truong, LD.; Ro, JY.; Ayala, AG.; Shen, SS. (Oct 2013). "Clear cell papillary renal cell carcinoma is the fourth most common histologic type of renal cell carcinoma in 290 consecutive nephrectomies for renal cell carcinoma.". Hum Pathol. doi:10.1016/j.humpath.2013.08.004. PMID 24182559.
- ↑ Bing, Z.; Tomaszewski, JE. (2011). "Case Report: Clear Cell Papillary Renal Cell Carcinoma in the Bilateral Native Kidneys after 2 Years of Renal Transplantation: Report of a Case and Review of the Literature.". Case Reports in Transplantation 2011. doi:10.1155/2011/387645. http://www.hindawi.com/crim/transplantation/2011/387645/cta/.
- ↑ Petersson, F.; Grossmann, P.; Hora, M.; Sperga, M.; Montiel, DP.; Martinek, P.; Gutierrez, ME.; Bulimbasic, S. et al. (Jul 2013). "Renal cell carcinoma with areas mimicking renal angiomyoadenomatous tumor/clear cell papillary renal cell carcinoma.". Hum Pathol 44 (7): 1412-20. doi:10.1016/j.humpath.2012.11.019. PMID 23434146.
- ↑ Williamson, SR.; Gupta, NS.; Eble, JN.; Rogers, CG.; Michalowski, S.; Zhang, S.; Wang, M.; Grignon, DJ. et al. (Nov 2015). "Clear Cell Renal Cell Carcinoma With Borderline Features of Clear Cell Papillary Renal Cell Carcinoma: Combined Morphologic, Immunohistochemical, and Cytogenetic Analysis.". Am J Surg Pathol 39 (11): 1502-10. doi:10.1097/PAS.0000000000000514. PMID 26457355.
- ↑ He, H.; Zhou, GX.; Zhou, M.; Chen, L. (Sep 2011). "The distinction of clear cell carcinoma of the female genital tract, clear cell renal cell carcinoma, and translocation-associated renal cell carcinoma: an immunohistochemical study using tissue microarray.". Int J Gynecol Pathol 30 (5): 425-30. doi:10.1097/PGP.0b013e318214dd4f. PMID 21804394.
- ↑ Pramick, M.; Ziober, A.; Bing, Z. (Oct 2013). "Useful immunohistochemical panel for differentiating clear cell papillary renal cell carcinoma from its mimics.". Ann Diagn Pathol 17 (5): 437-40. doi:10.1016/j.anndiagpath.2013.05.004. PMID 23791764.
- ↑ Williamson, SR.; Eble, JN.; Cheng, L.; Grignon, DJ. (May 2013). "Clear cell papillary renal cell carcinoma: differential diagnosis and extended immunohistochemical profile.". Mod Pathol 26 (5): 697-708. doi:10.1038/modpathol.2012.204. PMID 23238627.
- ↑ Kuroda, N.; Ohe, C.; Kawakami, F.; Mikami, S.; Furuya, M.; Matsuura, K.; Moriyama, M.; Nagashima, Y. et al. (2014). "Clear cell papillary renal cell carcinoma: a review.". Int J Clin Exp Pathol 7 (11): 7312-8. PMID 25550767.
- ↑ Hakimi, AA.; Tickoo, SK.; Jacobsen, A.; Sarungbam, J.; Sfakianos, JP.; Sato, Y.; Morikawa, T.; Kume, H. et al. (Jun 2015). "TCEB1-mutated renal cell carcinoma: a distinct genomic and morphological subtype.". Mod Pathol 28 (6): 845-53. doi:10.1038/modpathol.2015.6. PMID 25676555.
- ↑ Mantilla JG, Antic T, Tretiakova M (August 2017). "GATA3 as a valuable marker to distinguish clear cell papillary renal cell carcinomas from morphologic mimics". Hum Pathol 66: 152–158. doi:10.1016/j.humpath.2017.06.016. PMID 28705707.
- ↑ "Renal Neoplasms With Overlapping Features of Clear Cell Renal Cell Carcinoma and Clear Cell Papillary Renal Cell Carcinoma: A Clinicopathologic Study of 37 Cases From a Single Institution". Am J Surg Pathol 40 (2): 141–54. February 2016. doi:10.1097/PAS.0000000000000583. PMID 26752401.
- ↑ Shao T, Yousef P, Shipilova I, Saleeb R, Lee JY, Krizova A (March 2016). "Clear cell papillary renal cell carcinoma as part of histologically discordant multifocal renal cell carcinoma: A case report and review of literature". Pathol Res Pract 212 (3): 229–33. doi:10.1016/j.prp.2015.12.007. PMID 26857533.