Collecting duct carcinoma
(Redirected from Carcinoma of the collecting ducts of Bellini)
Jump to navigation
Jump to search
| Collecting duct carcinoma | |
|---|---|
| Diagnosis in short | |
|
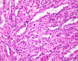
Collecting duct carcinoma. (WC/George Netto) | |
|
| |
| LM | tubular structures with tapered ends, hobnail pattern, nuclear pleomorphism), high mitotic rate |
| LM DDx | papillary renal cell carcinoma, urothelial carcinoma (with glandular differentiation), metastatic adenocarcinoma, renal medullary carcinoma, ALK-rearranged renal cell carcinoma |
| IHC | CD117 +ve, CK7 +ve, PAX8 +ve, CD10 -ve, AMACR -ve, p63 -ve |
| Gross | medullary tumour |
| Grossing notes | total nephrectomy for tumour grossing, partial nephrectomy grossing |
| Staging | kidney cancer staging |
| Site | kidney - see kidney tumours |
|
| |
| Prevalence | very rare |
| Prognosis | poor |
| Clin. DDx | other renal tumours |
Collecting duct carcinoma, also known as Bellini duct carcinoma[1] and carcinoma of the collecting ducts of Bellini, is a rare aggressive kidney tumour.
It should not be confused with tubulocystic carcinoma of the kidney (also known as low-grade collecting duct carcinoma).
General
- Rare.
- Poor prognosis.
- Usually central location.
- Typically young adults.
Gross
- Medullary location - as opposed to cortical.[2]
Microscopic
Features:[3]
- Tubular structures with tapered ends.
- May be described as tubulopapillary.
- Hobnail pattern - cell width smaller at basement membrane than free surface.[4]
- High grade nuclear features (nuclear pleomorphism).
- High mitotic rate.
Notes:
- Benign urothelium must present to excluded urothelial carcinoma.
- Desmoplastic stroma may be prominent.
DDx:
- Papillary renal cell carcinoma.
- Urothelial carcinoma with glandular differentiation.
- Metastatic adenocarcinoma.
- Renal medullary carcinoma - typically younger, sickle cell trait.
- Hereditary leiomyomatosis and renal cell carcinoma syndrome-associated renal cell carcinoma.
Images
www
IHC
Features:[6]
UCC:
Others:
See also
- Kidney tumours.
- Tubulocystic carcinoma of the kidney (low-grade collecting duct carcinoma).
References
- ↑ Stamatiou, K.; Zizi-Sermpetzoglou, A.. "Bellini duct carcinoma accidentally found upon investigation of uric acid lithiasis.". Indian J Pathol Microbiol 54 (1): 229-30. doi:10.4103/0377-4929.77425. PMID 21393935.
- ↑ López, JI.; Larrinaga, G.; Kuroda, N.; Angulo, JC. (Apr 2015). "The normal and pathologic renal medulla: a comprehensive overview.". Pathol Res Pract 211 (4): 271-80. doi:10.1016/j.prp.2014.12.009. PMID 25595996.
- ↑ Zhou, Ming; Magi-Galluzzi, Cristina (2006). Genitourinary Pathology: A Volume in Foundations in Diagnostic Pathology Series (1st ed.). Churchill Livingstone. pp. 295. ISBN 978-0443066771.
- ↑ Cotran, Ramzi S.; Kumar, Vinay; Fausto, Nelson; Nelso Fausto; Robbins, Stanley L.; Abbas, Abul K. (2005). Robbins and Cotran pathologic basis of disease (7th ed.). St. Louis, Mo: Elsevier Saunders. pp. 1018. ISBN 0-7216-0187-1.
- ↑ Prasad, SR.; Humphrey, PA.; Catena, JR.; Narra, VR.; Srigley, JR.; Cortez, AD.; Dalrymple, NC.; Chintapalli, KN.. "Common and uncommon histologic subtypes of renal cell carcinoma: imaging spectrum with pathologic correlation.". Radiographics 26 (6): 1795-806; discussion 1806-10. doi:10.1148/rg.266065010. PMID 17102051.
- ↑ 6.0 6.1 Srigley, JR.; Delahunt, B. (Jun 2009). "Uncommon and recently described renal carcinomas.". Mod Pathol 22 Suppl 2: S2-S23. doi:10.1038/modpathol.2009.70. PMID 19494850.
- ↑ 7.0 7.1 7.2 Albadine, R.; Schultz, L.; Illei, P.; Ertoy, D.; Hicks, J.; Sharma, R.; Epstein, JI.; Netto, GJ. (Jul 2010). "PAX8 (+)/p63 (-) immunostaining pattern in renal collecting duct carcinoma (CDC): a useful immunoprofile in the differential diagnosis of CDC versus urothelial carcinoma of upper urinary tract.". Am J Surg Pathol 34 (7): 965-9. doi:10.1097/PAS.0b013e3181dc5e8a. PMID 20463571.
- ↑ Kim, MK.; Kim, S. (Dec 2002). "Immunohistochemical profile of common epithelial neoplasms arising in the kidney.". Appl Immunohistochem Mol Morphol 10 (4): 332-8. PMID 12613443.
- ↑ Merino, MJ.; Torres-Cabala, C.; Pinto, P.; Linehan, WM. (Oct 2007). "The morphologic spectrum of kidney tumors in hereditary leiomyomatosis and renal cell carcinoma (HLRCC) syndrome.". Am J Surg Pathol 31 (10): 1578-85. doi:10.1097/PAS.0b013e31804375b8. PMID 17895761.