Adenosquamous carcinoma of the uterine cervix

From Libre Pathology
Jump to navigation Jump to search

Adenosquamous carcinoma of the uterine cervix is a rare epithelial malignancy of the uterine cervix.

Adenosquamous carcinoma of the uterine cervix
Diagnosis in short

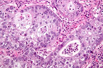
Adenosquamous carcinoma - glandular component. H&E stain.

LM morphologic features of both squamous carcinoma and adenocarcinoma
Subtypes glassy cell carcinoma
LM DDx squamous cell carcinoma of the uterine cervix, endocervical adenocarcinoma
Site uterine cervix

Prevalence rare

General

  • Uncomon.

Note:

Microscopic

Features:

  • Morphologic features of both squamous carcinoma and adenocarcinoma:
    • Adenocarcinoma: gland forming or mucin vacuoles.
    • Squamous carcinoma: abundant eosinophilic cytoplasm, central nucleus.

Images

See also

References

  1. Kosińiska-Kaczyńska, K.; Mazanowska, N.; Bomba-Opoń, D.; Horosz, E.; Marczewska, M.; Wielgoś, M. (Dec 2011). "Glassy cell carcinoma of the cervix--a case report with review of the literature.". Ginekol Pol 82 (12): 936-9. PMID 22384631.