Acute infectious pneumonia

From Libre Pathology
Jump to navigation Jump to search

Acute infectious pneumonia is a common type of pneumonia. It is usually diagnosed clinically and uncommonly biopsied.

General

Clinical features:

It is seen by pathologists at autopsy from time-to-time, and in advanced lung cancer.

Etiology

Most common cause:

  • Streptococcus pneumoniae.[1]

The top three community acquired (acute) pneumonia:[2]

  • Streptococcuc pneumonia.
  • Haemophilus influenzae.
  • Moraxella catarrhalis.

Other community acquired pneumonia:[1]

  • S. aureus.
  • Legionaella pneumophila.
  • Klebsiella pneumoniae.
  • Pseudomonas.

Hospital-acquired pneumonia:[1]

  • Gram-negative rods.
  • Staphylococcus aureus.

Radiologic correlate

  • Air space disease.

Gross pathology

  • Consolidation (the lung parenchyma is firm) - best appreciated by running a finger over the cut surface of the lung with a small-to-moderate amount of pressure.

Bronchopneumonia:

  • Classically yellow-white centered on the bronchi.[3]

Lobar pneumnia is classically described in four stages:[4][5]

  1. Congestion - day 1-2.
  2. Red hepatization - day 2-4.
  3. Gray hepatization - day 4-6.
  4. Resolution - day 6+.

Note:

  • The stages of lobar pneumonia is considered more-or-less historical. In the age of antibiotics, lobar pneumonia is uncommon.

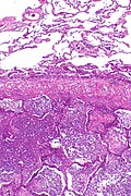
Microscopic

Features:

  • Alveoli packed with PMNs.
  • +/-Clusters of bacteria - small dots or rods.
  • +/-Abscess formation.
    • Lung abscess = destruction of parenchyma + PMNs.[6]

DDx:

Images

Stains

  • Gram stain -- to type the bacteria.

See also

References

  1. 1.0 1.1 1.2 Kumar, Vinay; Abbas, Abul K.; Fausto, Nelson; Aster, Jon (2009). Robbins and Cotran pathologic basis of disease (8th ed.). Elsevier Saunders. pp. 711. ISBN 978-1416031215.
  2. Nicolau, D. (Sep 2002). "Clinical and economic implications of antimicrobial resistance for the management of community-acquired respiratory tract infections.". J Antimicrob Chemother 50 Suppl S1: 61-70. PMID 12239229.
  3. Rose, Alan G. (2008). Atlas of Gross Pathology with Histologic Correlation (1st ed.). Cambridge University Press. pp. 93. ISBN 978-0521868792.
  4. Rose, Alan G. (2008). Atlas of Gross Pathology with Histologic Correlation (1st ed.). Cambridge University Press. pp. 92. ISBN 978-0521868792.
  5. URL: http://www.histopathology-india.net/Lobar_Pneumonia.htm. Accessed on: 27 February 2012.
  6. Rose, Alan G. (2008). Atlas of Gross Pathology with Histologic Correlation (1st ed.). Cambridge University Press. pp. 95. ISBN 978-0521868792.