Amyloid in the seminal vesicles

From Libre Pathology
Revision as of 20:12, 18 August 2025 by Michael (talk | contribs) (→‎Sign out)
(diff) ← Older revision | Latest revision (diff) | Newer revision → (diff)
Jump to navigation Jump to search

Amyloid in the seminal vesicles is a relatively common histologic finding.

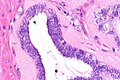
Seminal vesicle with amyloid. H&E stain.

General

  • Prevlance is 5-21% in two large prostatectomy series.[1][2]

Significance/management

  • A paper by Yang et al. (looking at a small series) suggests seminal vesicle amyloid is not necessary to work-up further.[3]

Note:

  • Amyloid in the prostate is rare and should be worked-up.[4]

Microscopic

Features:

  • Hyaline material with a "cracked" appearance surrounding the glandular component of the seminal vesicles.

Images

Stains

Images

Sign out

Yang et al. suggests (isolated) incidental seminal vesicle amyloid is not necessary to work-up further.[1]
1. Asian J Androl 15 (1): 149-51. doi:10.1038/aja.2012.125. PMID 23223033.

See also

References

  1. Argon, A.; Sımşır, A.; Sarsik, B.; Tuna, B.; Yörükoğlu, K.; Nıflıoğlu, GG.; Sen, S. (2012). "Amyloidosis of seminal vesicles; incidence and pathologic characteristics.". Turk Patoloji Derg 28 (1): 44-8. doi:10.5146/tjpath.2012.01096. PMID 22207431.
  2. Pitkänen, P.; Westermark, P.; Cornwell, GG.; Murdoch, W. (Jan 1983). "Amyloid of the seminal vesicles. A distinctive and common localized form of senile amyloidosis.". Am J Pathol 110 (1): 64-9. PMID 6849372.
  3. Yang, Z.; Laird, A.; Monaghan, A.; Seywright, M.; Ahmad, I.; Leung, HY. (Jan 2013). "Incidental seminal vesicle amyloidosis observed in diagnostic prostate biopsies--are routine investigations for systemic amyloidosis warranted?". Asian J Androl 15 (1): 149-51. doi:10.1038/aja.2012.125. PMID 23223033.
  4. Nevo A, Muchtar E, Stern KL, Moore JP, Cheney SM, Humphreys MR, Grogan M, Stanton ML (November 2020). "The Clinical Implication of Incidental Prostatic Amyloidosis". Urology 145: 253–257. doi:10.1016/j.urology.2020.08.053. PMID 32961226.