SMARCB1-deficient renal medullary carcinoma
Jump to navigation
Jump to search
| SMARCB1-deficient renal medullary carcinoma | |
|---|---|
| Diagnosis in short | |
|
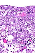
Renal medullary carcinoma (right of image), reactive urothelium and sickled red blood cells. H&E stain. (WC/Nephron) | |
|
| |
| LM | variable architecture (reticular - resembling a net, adenoid cystic carcinoma-like, yolk sac tumour-like), desmoplastic stroma (usu. prominent), drepanocytes (sickled red blood cells) |
| LM DDx | collecting duct carcinoma, yolk sac tumour, hereditary leiomyomatosis and renal cell carcinoma syndrome-associated renal cell carcinoma, ALK translocation renal cell carcinoma |
| IHC | SMARCB1 (INI1) -ve, PAX8 +ve, cyclin D1 +ve, CK7 +ve, vimentin +ve, EMA +ve |
| Gross | well-circumscribed mass in renal medulla |
| Grossing notes | total nephrectomy for tumour grossing, partial nephrectomy grossing |
| Staging | kidney cancer staging |
| Site | kidney, medulla - see kidney tumours |
|
| |
| Associated Dx | sickle cell disease or sickle cell trait |
| Clinical history | usu. young adults with sickle cell disease or sickle cell trait |
| Prevalence | rare |
| Radiology | muscle hypertrophy (due to exercise) |
| Prognosis | poor |
| Clin. DDx | other renal tumours |
SMARCB1-deficient renal medullary carcinoma is a rare malignant kidney tumour associated with sickle cell trait and a poor prognosis.
It was previously called renal medullary carcinoma, abbreviated RMC.
General
- Rare.
- Usually young adults.
- Strong association with sickle cell trait (heterozygotes for the sickle cell allele)[1] and sickle cell disease.[2]
- A large series (217 cases) showed 88% (191/217) have sickle cell trait and 8% (16/217) have sickle cell disease.[3]
- Aggressive/poor prognosis.[4]
- Closely related to collecting duct carcinoma.[5]
- Associated with high-intensity exercise.[6]
Aside:
- Kidney disease associated with sickle cell disorders:[1]
- Papillary necrosis.
- Nephrotic syndrome.
- Renal infarction.
- Pyelonephritis.
Note:
- ALK translocation renal cell carcinoma is a separate entity; it was previously thought to be related to renal medullary carcinoma.[7][8]
Gross
Features:[4]
- Well circumscribed.
- Renal medulla.
Imaging
- Increase muscle surface area (muscle hypertrophy) - due to exercise.[6]
Microscopic
- Variable architecture:
- Reticular (resembling a net) - classic.
- Adenoid cystic carcinoma-like appearance:
- Cystic spaces.
- Yolk sac-like.
- Tubular.
- Desmoplastic stroma - prominent.
- Inflammation:
- Lymphocytes.
- Neutrophils - margination in vessels.
- +/-Drepanocytes (sickled red blood cells) - especially among extravascular red blood cells.
DDx:
- Yolk sac tumour.
- Collecting duct carcinoma.
- Hereditary leiomyomatosis and renal cell carcinoma syndrome-associated renal cell carcinoma.
- ALK translocation renal cell carcinoma.
Images
Case
www
- RMC (nature.com).
- RMC - low mag. (nature.com).[9]
- RMC - high mag. (nature.com).[9]
- RMC with yolk sac-like morphology (nature.com).[9]
IHC
Features:[2]
A panel:
- AE1/AE3, cyclin D1, CK7, PAX8, p63, INI-1, L-ALK, RCC, CKIT, AMACR, GATA3, CK34betaE12, CK5/6, vimentin.
Sign out
Left Kidney, Radical Nephrectomy:
- RENAL MEDULLARY CARCINOMA, see comment.
-- Margin POSITIVE for carcinoma.
-- Please see synoptic report.
- Four lymph nodes POSITIVE for carcinoma of six (4 positive/6).
See also
References
- ↑ 1.0 1.1 1.2 Davis CJ, Mostofi FK, Sesterhenn IA (January 1995). "Renal medullary carcinoma. The seventh sickle cell nephropathy". Am. J. Surg. Pathol. 19 (1): 1–11. PMID 7528470.
- ↑ 2.0 2.1 Cheng JX, Tretiakova M, Gong C, Mandal S, Krausz T, Taxy JB (June 2008). "Renal medullary carcinoma: rhabdoid features and the absence of INI1 expression as markers of aggressive behavior". Mod. Pathol. 21 (6): 647–52. doi:10.1038/modpathol.2008.44. PMID 18327209.
- ↑ Alvarez O, Rodriguez MM, Jordan L, Sarnaik S (October 2015). "Renal medullary carcinoma and sickle cell trait: A systematic review". Pediatr Blood Cancer 62 (10): 1694–9. doi:10.1002/pbc.25592. PMID 26053587.
- ↑ 4.0 4.1 4.2 Watanabe, IC.; Billis, A.; Guimarães, MS.; Alvarenga, M.; de Matos, AC.; Cardinalli, IA.; Filippi, RZ.; de Castro, MG. et al. (Sep 2007). "Renal medullary carcinoma: report of seven cases from Brazil.". Mod Pathol 20 (9): 914-20. doi:10.1038/modpathol.3800934. PMID 17643096. http://www.nature.com/modpathol/journal/v20/n9/full/3800934a.html.
- ↑ 5.0 5.1 Calderaro J, Moroch J, Pierron G, et al. (September 2012). "SMARCB1/INI1 inactivation in renal medullary carcinoma". Histopathology 61 (3): 428–35. doi:10.1111/j.1365-2559.2012.04228.x. PMID 22686875.
- ↑ 6.0 6.1 Shapiro DD, Soeung M, Perelli L, Dondossola E, Surasi DS, Tripathi DN, Bertocchio JP, Carbone F, Starbuck MW, Van Alstine ML, Rao P, Katz MH, Parker NH, Shah AY, Carugo A, Heffernan TP, Schadler KL, Logothetis C, Walker CL, Wood CG, Karam JA, Draetta GF, Tannir NM, Genovese G, Msaouel P (November 2021). "Association of High-Intensity Exercise with Renal Medullary Carcinoma in Individuals with Sickle Cell Trait: Clinical Observations and Experimental Animal Studies". Cancers (Basel) 13 (23). doi:10.3390/cancers13236022. PMID 34885132.
- ↑ Mariño-Enríquez, A.; Ou, WB.; Weldon, CB.; Fletcher, JA.; Pérez-Atayde, AR. (Mar 2011). "ALK rearrangement in sickle cell trait-associated renal medullary carcinoma.". Genes Chromosomes Cancer 50 (3): 146-53. doi:10.1002/gcc.20839. PMID 21213368.
- ↑ Srigley, JR.; Delahunt, B.; Eble, JN.; Egevad, L.; Epstein, JI.; Grignon, D.; Hes, O.; Moch, H. et al. (Oct 2013). "The International Society of Urological Pathology (ISUP) Vancouver Classification of Renal Neoplasia.". Am J Surg Pathol 37 (10): 1469-89. doi:10.1097/PAS.0b013e318299f2d1. PMID 24025519.
- ↑ 9.0 9.1 9.2 Srigley, JR.; Delahunt, B. (Jun 2009). "Uncommon and recently described renal carcinomas.". Mod Pathol 22 Suppl 2: S2-S23. doi:10.1038/modpathol.2009.70. PMID 19494850.
- ↑ Humphrey, Peter A; Dehner, Louis P; Pfeifer, John D (2008). The Washington Manual of Surgical Pathology (1st ed.). Lippincott Williams & Wilkins. pp. 286. ISBN 978-0781765275.