NUT carcinoma

From Libre Pathology
Revision as of 19:30, 17 September 2018 by Michael (talk | contribs) (Michael moved page NUT midline carcinoma to NUT carcinoma over redirect: entity renamed)
Jump to navigation Jump to search

NUT midline carcinoma, abbreviated NMC, is a rare tumour of the head and neck. The WHO calls this tumour carcinoma with t(15;19) translocation.[1] It is also known as NUT carcinoma.

NUT carcinoma
Diagnosis in short

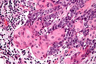
NUT midline carcinoma. H&E stain.

Synonyms NUT carcinoma, carcinoma with t(15;19) translocation

LM cohesive malignant cells (poorly differentiated carcinoma), islands of well-differentiated squamous epithelium
LM DDx Carcinoma ex pleomorphic adenoma, poorly differentiated carcinoma
IHC p63 +ve, CD34 +ve/-ve, EMA +ve
Molecular t(15;19)
Site head and neck, mediastinum, usu. midline

Prevalence very rare
Prognosis very poor

General

  • Not specific to any tissue type or organ.[2]
  • Defined by mutation in NUT gene on chromosome 15.
    • NUT = Nuclear protein in testis.[3]

Clinical:

  • Usually midline - as the name of the tumour suggests.
    • Case report of a NMC in the parotid gland.[4]
  • Head, neck and mediastinum.[5]
  • Very poor prognosis.[4]

Microscopic

Features:[2][5]

  • Poorly differentiated carcinoma.
    • Cohesive malignant cells.
  • Islands of well-differentiated squamous epithelium - key feature.

DDx:

Images

Molecular

  • Rearrangement of the NUT gene.[2]
    • Most common: t(15;19)(q13;p13.1) BRD4/NUT.[8]
      • One source suggests it is: t(15;19)(q14;p13.1).[5]

IHC

  • CD34 +ve seen in ~50% of cases.[9]
  • p63 +ve.[10]
  • EMA +ve.

See also

References

  1. Humphrey, Peter A; Dehner, Louis P; Pfeifer, John D (2008). The Washington Manual of Surgical Pathology (1st ed.). Lippincott Williams & Wilkins. pp. 145. ISBN 978-0781765275.
  2. 2.0 2.1 2.2 French, CA. (Nov 2010). "NUT midline carcinoma.". Cancer Genet Cytogenet 203 (1): 16-20. doi:10.1016/j.cancergencyto.2010.06.007. PMID 20951314.
  3. Online 'Mendelian Inheritance in Man' (OMIM) 608963
  4. 4.0 4.1 den Bakker, MA.; Beverloo, BH.; van den Heuvel-Eibrink, MM.; Meeuwis, CA.; Tan, LM.; Johnson, LA.; French, CA.; van Leenders, GJ. (Aug 2009). "NUT midline carcinoma of the parotid gland with mesenchymal differentiation.". Am J Surg Pathol 33 (8): 1253-8. doi:10.1097/PAS.0b013e3181abe120. PMID 19561446.
  5. 5.0 5.1 5.2 French, CA. (Jun 2010). "Demystified molecular pathology of NUT midline carcinomas.". J Clin Pathol 63 (6): 492-6. doi:10.1136/jcp.2007.052902. PMID 18552174.
  6. Bishop, JA.; Antonescu, CR.; Westra, WH. (Sep 2014). "SMARCB1 (INI-1)-deficient carcinomas of the sinonasal tract.". Am J Surg Pathol 38 (9): 1282-9. doi:10.1097/PAS.0000000000000285. PMID 25007146.
  7. Li, W.; Chastain, K. (Jul 2018). "NUT midline carcinoma with leukemic presentation mimicking CD34-positive acute leukemia.". Blood 132 (4): 456. doi:10.1182/blood-2017-07-796268. PMID 30049733.
  8. Online 'Mendelian Inheritance in Man' (OMIM) 608749
  9. Stelow, EB. (Mar 2011). "A review of NUT midline carcinoma.". Head Neck Pathol 5 (1): 31-5. doi:10.1007/s12105-010-0235-x. PMID 21221870.
  10. Bishop, JA.; Westra, WH. (Aug 2012). "NUT midline carcinomas of the sinonasal tract.". Am J Surg Pathol 36 (8): 1216-21. doi:10.1097/PAS.0b013e318254ce54. PMID 22534723.