Chordoma
Jump to navigation
Jump to search
| Chordoma | |
|---|---|
| Diagnosis in short | |
|
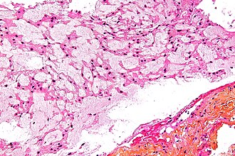
Chordoma. HPS stain. | |
|
| |
| LM | physaliphorous cells (also bubble cells) - very large clear bubble with a sharp border, bubble does not compress nucleus; islands of cells surrounded by fibrous tissue; myxoid background |
| LM DDx | chondrosarcoma, myxoid lesions, parachordoma, chordoid lesions (e.g. chordoid glioma, chordoid meningioma), metastasis (e.g. clear cell renal cell carcinoma) |
| IHC | S-100 +ve, AE1/AE3 +ve, Brachyury +ve, EMA +ve |
| Gross | myxoid |
| Site | sacrum or clivus |
|
| |
| Prevalence | uncommon |
Chordoma is an uncommon tumour in neuropathology.
General
- Location: usually sacrum or clivus.
- It is a malignant bone tumour (1-4% of all primary bone tumors).
- Usually after age 30.
Classification
- Chordoma, NOS (ICD-O: 9370/3).
- Chondroid chordoma (ICD-O: 9371/3).
- Dedifferentiated chordoma (ICD-O: 9372/3).
Gross
- Soft, gelatinous, lobulated.[1]
DDx:
- Bony metastasis (mucinous carcinoma) - typically multifocal.
Image:
Microscopic
Features:[2]
- Architecture: islands of cells surrounded by fibrous tissue.
- Also described as "lobulated" architecture; may not be apparent.
- Myxoid background - grey extracellular material, variable amount present.
- Mixed cell population:
- Abundant eosinophilic cytoplasm.
- Physaliphorous cells or bubble cells - key feature.
- Have a very large clear bubble with a sharp border; bubble does not compress nucleus - nucleus may be in bubble.
DDx:
- Chondrosarcoma - negative for EMA and cytokeratins. Beware of 'chondroid' chordoma.
- Myxoid lesions.
- Myxopapillary ependymoma.
- Myxoid liposarcoma - negative for EMA and cytokeratins.
- Chordoid lesions.
- Chordoid meningioma.
- Chordoid glioma[3] - location, location, location.
- Large notochordal rest - only evidence of destructive growth can identify a chordoma.
- Metastasis.
- Metastatic signet ring cell carcinoma - negative for S100 and brachyury, clinical history (important).
- Metastatic clear cell renal cell carcinoma - negative for S100 and brachyury, clinical history (important).
- Parachordoma - extremely rare.
Images
Case 1
Case 2
Case 3
www
- Chordoma (upmc.edu).
- Chordoma - sacrum - several images (upmc.edu).
- Chordoma - additional case with several images (upmc.edu).
IHC
- S-100 +ve - important.
- AE1/AE3 +ve - important.
- Brachyury +ve - key stain.
- EMA +ve.
- PAX8 -ve (1 +ve (weak) of 12.[8]).
- Other keratins:[9]
Classic chordoma panel:[10]
- EMA, AE1/AE3, CAM5.2, vimentin, S-100.
Key points:
- Brachyury is not a commonly stocked antibody.
- Chordoma will be S100 and epithelial marker positive.
- Many other items in the DDx will be either S100 or epithelial marker positive.
See also
References
- ↑ URL: http://www.histopathology-india.net/Chordoma.htm. Accessed on: 12 April 2012.
- ↑ Tadrous, Paul.J. Diagnostic Criteria Handbook in Histopathology: A Surgical Pathology Vade Mecum (1st ed.). Wiley. pp. 184. ISBN 978-0470519035.
- ↑ Zarghouni, M.; Vandergriff, C.; Layton, KF.; McGowan, JB.; Coimbra, C.; Bhakti, A.; Opatowsky, MJ. (Jul 2012). "Chordoid glioma of the third ventricle.". Proc (Bayl Univ Med Cent) 25 (3): 285-6. PMID 22754136.
- ↑ URL: http://path.upmc.edu/cases/case312/micro.html. Accessed on: 14 January 2012.
- ↑ Coindre, JM.; Rivel, J.; Trojani, M.; De Mascarel, I.; De Mascarel, A. (Sep 1986). "Immunohistological study in chordomas.". J Pathol 150 (1): 61-3. doi:10.1002/path.1711500110. PMID 2431128.
- ↑ Online 'Mendelian Inheritance in Man' (OMIM) 601397
- ↑ URL: http://www.jstor.org/pss/86845. Accessed on: 18 May 2010.
- ↑ Sangoi, AR.; Karamchandani, J.; Lane, B.; Higgins, JP.; Rouse, RV.; Brooks, JD.; McKenney, JK. (Mar 2011). "Specificity of brachyury in the distinction of chordoma from clear cell renal cell carcinoma and germ cell tumors: a study of 305 cases.". Mod Pathol 24 (3): 425-9. doi:10.1038/modpathol.2010.196. PMID 21102418.
- ↑ Naka, T.; Iwamoto, Y.; Shinohara, N.; Chuman, H.; Fukui, M.; Tsuneyoshi, M. (Jun 1997). "Cytokeratin subtyping in chordomas and the fetal notochord: an immunohistochemical analysis of aberrant expression.". Mod Pathol 10 (6): 545-51. PMID 9195570.
- ↑ Shen, J.; Shi, Q.; Lu, J.; Wang, DL.; Zou, TM.; Yang, HL.; Zhu, GQ. (Dec 2013). "Histological study of chordoma origin from fetal notochordal cell rests.". Spine (Phila Pa 1976) 38 (25): 2165-70. doi:10.1097/BRS.0000000000000010. PMID 24296480.