Atypical lung carcinoid tumour

From Libre Pathology
Revision as of 05:45, 20 April 2016 by Michael (talk | contribs) (tweak)
(diff) ← Older revision | Latest revision (diff) | Newer revision → (diff)
Jump to navigation Jump to search
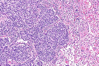
Atypical lung carcinoid tumour
Diagnosis in short

Atypical lung carcinoid tumour. H&E stain.

Synonyms atypical carcinoid, atypical lung carcinoid, atypical pulmonary carcinoid
LM DDx small cell carcinoma of the lung, carcinoid lung tumour, pulmonary carcinoid tumourlet, lung adenocarcinoma, metastatic small cell carcinoma
IHC Ki-67 ~17% (range 10-26%)
Site lung - see lung tumours

Prognosis moderate; poor vis-à-vis typical carcinoid
Clin. DDx other lung tumours
Treatment surgical resection +/-chemotherapy

Atypical carcinoid lung tumour, also atypical carcinoid, is an uncommon lung tumour with a poor outcome.

General

Prognosis:

  • Significantly worse than for typical carcinoids; in one series,[2] the five year survival was 95% and 45% for typical carcinoid and atypical carcinoid respectively.

Treatment:

  • Surgery for diagnosis and treatment.
  • Chemotherapy for advanced/metastatic disease.[3]

Microscopic

Features:[4]

  • Nests of cells.
    • Stippled chromatin.
    • Mild-to-moderate amount of cytoplasm.
  • No necrosis/focal necrosis.
  • Moderate mitotic rate (2-10/HPF - definition suffers from HPFitis).

DDx:

Images

IHC

  • Ki-67 ~17% (range 10-26%).[5]

Note:

  • Typical carcinoid is considerably lower ~2% (range 0-7%) and large cell neuroendocrine considerable higher ~81% (range 63-92%).[5]

See also

References

  1. Naalsund, A.; Rostad, H.; Strøm, EH.; Lund, MB.; Strand, TE. (Apr 2011). "Carcinoid lung tumors--incidence, treatment and outcomes: a population-based study.". Eur J Cardiothorac Surg 39 (4): 565-9. doi:10.1016/j.ejcts.2010.08.036. PMID 20888248.
  2. Ayadi-Kaddour, A.; Marghli, A.; Zairi, S.; Zribi, H.; Ismail, O.; Braham, E.; Hantous-Zannad, S.; Kilani, T. et al. (Dec 2015). "[Bronchopulmonary carcinoid tumors: Tunisian experience with 115 surgically treated cases].". Rev Pneumol Clin 71 (6): 319-26. doi:10.1016/j.pneumo.2015.04.003. PMID 26195112.
  3. Chong, CR.; Wirth, LJ.; Nishino, M.; Chen, AB.; Sholl, LM.; Kulke, MH.; McNamee, CJ.; Jänne, PA. et al. (Nov 2014). "Chemotherapy for locally advanced and metastatic pulmonary carcinoid tumors.". Lung Cancer 86 (2): 241-6. doi:10.1016/j.lungcan.2014.08.012. PMID 25218177.
  4. Humphrey, Peter A; Dehner, Louis P; Pfeifer, John D (2008). The Washington Manual of Surgical Pathology (1st ed.). Lippincott Williams & Wilkins. pp. 115. ISBN 978-0781765275.
  5. 5.0 5.1 Liu, SZ.; Staats, PN.; Goicochea, L.; Alexiev, BA.; Shah, N.; Dixon, R.; Burke, AP. (2014). "Automated quantification of Ki-67 proliferative index of excised neuroendocrine tumors of the lung.". Diagn Pathol 9: 174. doi:10.1186/s13000-014-0174-z. PMID 25318848.