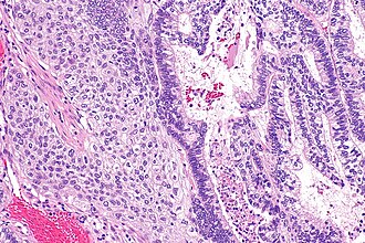
Adenosquamous carcinoma

From Libre Pathology
Revision as of 05:32, 29 December 2015 by Michael (talk | contribs)
(diff) ← Older revision | Latest revision (diff) | Newer revision → (diff)
Jump to navigation Jump to search

Adenosquamous carcinoma is an uncommon epithelial neoplasm that has features of adenocarcinoma and squamous carcinoma. It is classified as a subtype of squamous carcinoma.[1]

It can arise is any number of sites.

Images

Specific sites

Other sites:

See also

References

  1. URL: http://www.cap.org/apps/docs/committees/cancer/cancer_protocols/2011/LipOralCav_11protocol.pdf. Accessed on: 3 April 2012.
  2. Kardon, DE.; Thompson, LD.; Przygodzki, RM.; Heffess, CS. (May 2001). "Adenosquamous carcinoma of the pancreas: a clinicopathologic series of 25 cases.". Mod Pathol 14 (5): 443-51. doi:10.1038/modpathol.3880332. PMID 11353055.