Reactive gastropathy

From Libre Pathology
Revision as of 08:10, 26 July 2013 by Michael (talk | contribs) (tweak)
Jump to navigation Jump to search
Reactive gastropathy
Diagnosis in short

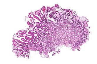
Reactive gastropathy. H&E stain.

LM foveolar hyperplasia - esp. tortuosity of glands in the "neck" region (S shaped glands), smooth muscle hyperplasia, scant inflammatory cells, +/-edema, +/-erosions
Site stomach

Clinical history classically NSAID use or alcohol use
Endoscopy erythema, +/-erosions, +/-bile reflux
Clin. DDx gastritis

Reactive gastropathy, abbreviated RG, a relatively common pathology of the stomach. It is also known as chemical gastropathy,[1] and incorrectly referred to as chemical gastritis (see below).

General

  • May be seen in the context of a previous resection/surgical reconstruction, e.g. Billroth II.

Epidemiology

General assocations:

  • Increases with age.[2]

Etologic factors - associated with:[3]

  • Excess acid.
  • EtOH.
  • Bile.
  • H. pylori.
  • Drugs:[1]
    • Iron (brown pigment on histology).
    • NSAIDs - synergistic effect with corticosteroids.

Drugs that cause erosions and/or ulcers -- adapted from Genta:[1]

Drug Comment Indication for Rx
NSAIDs common cause pain, reduce cardiovascular risk
Corticosteroids synergistic effect with NSAIDs rheumatologic diseases + others
Potassium (KCl) common cause renal failure
Bisphophonates uncommon cause osteoporosis
Ferrous sulfate very common if symptomatic iron deficiency anemia
Chloroquine uncommon only in the context of malaria
Sodium polystyrene sulfonate (Kayexalate) rare renal failure patients

Relation to gastritis

  • May mimic a (true) gastritis symptomatically and visually in an endoscopic examination.
  • "Chemical gastritis" is misnomer. Etymologically, the -itis in gastritis, implies an inflammatory process. Chemical gastropathy is not (predominantly) an inflammatory process.
    • This type of confusion is not uncommon. Steatohepatitis is another example of this; it is not a process with significant inflammation yet, confusingly, carries the -itis ending.

Gross/endoscopic

Features:[4]

  • Antral erythema +/- erosions.
  • +/-Bile.

Microscopic

Features - triad:[5][1]

  1. Foveolar hyperplasia.
    • Tortuosity of glands in the "neck" region of the gastric glands.
    • Associated with "mucin depletion" - cytoplasm not clear -- as is usual.
  2. Smooth muscle fibre hyperplasia.
    • Abundant eosinophilic lamina propria.
  3. Scant acute & chronic inflammatory cells.

Additional features.

  • +/-Edema.
  • +/-Erosions.

Notes:

  • Triad rarely present; mild inflammation common.

DDx:

Images

Sign out

STOMACH, BIOPSY:
- ANTRAL-TYPE GASTRIC MUCOSA WITH REACTIVE GASTROPATHY, SEE COMMENT.
- NEGATIVE FOR INTESTINAL METAPLASIA.
- NEGATIVE FOR HELICOBACTER-LIKE ORGANISMS.
- NEGATIVE FOR DYSPLASIA AND NEGATIVE FOR MALIGNANCY.

COMMENT:
This nonspecific finding may be due to a number of causes, including 
medications (especially NSAIDs), alcohol and bile reflux.

Not well-developed

STOMACH, BIOPSY:
- BODY-TYPE GASTRIC MUCOSA WITHIN NORMAL LIMITS.
- ANTRAL-TYPE GASTRIC MUCOSA WITH SMOOTH MUSCLE HYPERPLASIA,
  RARE GLAND TORTUOSITY AND NO SIGNFICANT INFLAMMATION, SEE COMMENT.
- NEGATIVE FOR INTESTINAL METAPLASIA.
- NEGATIVE FOR HELICOBACTER-LIKE ORGANISMS.
- NEGATIVE FOR DYSPLASIA AND NEGATIVE FOR MALIGNANCY.

COMMENT:
These findings are suggestive of a reactive gastropathy; however, gland 
corkscrewing is not evident.
STOMACH, BIOPSY:
- ANTRAL-TYPE GASTRIC MUCOSA WITH PROMINENT SMOOTH MUSCLE, OTHERWISE WITHIN NORMAL
LIMITS.
- NEGATIVE FOR INTESTINAL METAPLASIA.
- NEGATIVE FOR HELICOBACTER-LIKE ORGANISMS.
- NEGATIVE FOR DYSPLASIA AND NEGATIVE FOR MALIGNANCY.

See also

References

  1. 1.0 1.1 1.2 1.3 Genta, RM. (Nov 2005). "Differential diagnosis of reactive gastropathy.". Semin Diagn Pathol 22 (4): 273-83. PMID 16939055.
  2. Maguilnik, I.; Neumann, WL.; Sonnenberg, A.; Genta, RM. (Aug 2012). "Reactive gastropathy is associated with inflammatory conditions throughout the gastrointestinal tract.". Aliment Pharmacol Ther. doi:10.1111/apt.12031. PMID 22928604.
  3. ALS. 5 February 2009.
  4. Iacobuzio-Donahue, Christine A.; Montgomery, Elizabeth A. (2005). Gastrointestinal and Liver Pathology: A Volume in the Foundations in Diagnostic Pathology Series (1st ed.). Churchill Livingstone. pp. 69. ISBN 978-0443066573.
  5. El-Zimaity. 18 October 2010.
  6. Iacobuzio-Donahue, Christine A.; Montgomery, Elizabeth A. (2005). Gastrointestinal and Liver Pathology: A Volume in the Foundations in Diagnostic Pathology Series (1st ed.). Churchill Livingstone. pp. 69. ISBN 978-0443066573.