Breast calcifications

From Libre Pathology
Jump to navigation Jump to search

Breast calcifications may be found in benign or malignant breast specimens.

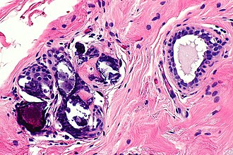
File:Calcification in breast benign -- high mag.jpg
Calcification in benign breast tissue. H&E stain. (WC/Nephron)

General

  • Abnormal breast calcifications are considered a marker of malignancy.
  • Radiologists can pick-up calcifications that are approximately 100 micrometers; if "calcs" is on the requisition, the pathologist should be finding calcifications this size.[1]
    • The large calcifications seen on radiology are approximately 1/5 - 1/6 the size of a HPF, if the field of view (FOV) is ~0.55 mm (as is the case with 22 mm-10x eye pieces and a 40x objective).

Types:

  • Calcium phosphate - typically purple.
    • Q. How to remember? A. Purple = Phosphate.
  • Calcium oxalate - not associated with malignancy.[2]

Microscopic

Features of calcification:

  • Purple globs (with concentric rings) on H&E - represent calcium phosphate.
  • Often in the lumen of a gland, may be in the stroma.
  • Calcific material typically has a well-demarcated border +/- "sharp corners".

Note:

Images

See also

References

  1. MUA. 1 October 2010.
  2. Sharma, T.; Radosevich, JA.; Pachori, G.; Mandal, CC. (Jan 2016). "A Molecular View of Pathological Microcalcification in Breast Cancer.". J Mammary Gland Biol Neoplasia. doi:10.1007/s10911-015-9349-9. PMID 26769216.