Acute myeloid leukemia

From Libre Pathology
Jump to navigation Jump to search

Acute myeloid leukemia, abbreviated AML, is a group of malignancies.

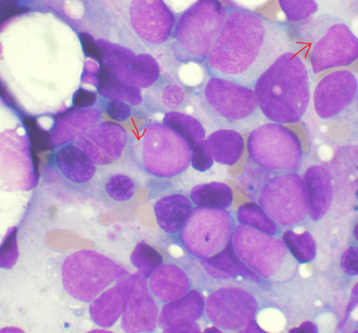
Auer rods characterize acute myeloid leukemia.

Overview

  • Group of malignancies.
  • Defined by the cytogenetic abnormalities.

No recurrent cytogenetic abnormalities

Acute myeloid leukemia without recurrent cytogenetic abnormalities

General

  • Adults.

Exclusions for this diagnosis:

Microscopic

Features:

  • Auer rods present
  • Cytoplasmic granularity.
  • Large cells.

Note:

  • May be classified by morphology, using the (old) French-American-British (FAB) classification (M0-M7).

Image

www:

Molecular

  • Must exclude all the recurrent cytogenetic abnormalities - see below.

AML with recurrent cytogenetic abnormalities

Acute myeloid leukemia with t(8;21)

IHC

  • CD34+, CD13+, MPO+ (cytoplasm), CD33+ (weak).
  • CD56+, CD117+.
    • Usu. assoc. with a bad prognosis.

Flow cytometry

  • CD19+, PAX5+, CD79a +/-.

Images:

Molecular

  • t(8;21)(q22;q22).[1]

Acute myeloid leukemia with inv(16)

  • inv(16)(p13.1q22).[2]

Microscopic

  • Blast count usu. ~20% (low).
  • Eosinophilic granules.
    • Used to be classified as "M4" with eosinophilia.

IHC

  • CD2+ -- common.

Acute myeloid leukemia with t(15;17)

  • AKA acute promyelocytic leukemia
    • Abbreviated APL.
  • t(15;17)(q22;q12).
    • Fusion transcripts: PML[3]-RARA.[4]

General

Clinical:

  • Associated with DIC.
  • Treatment: all-trans retinoic acid (ATRA).

Microscopic

Comes in two flavours.

Microscopic (Hypergranular or typical APL):

  • Bean-shaped nucleus or bilobed nucleus.
  • Buddles of Auer rods - known as "Faggot cells".

Microscopic (Microgranular or hypogranular APL):

  • Bilobed nuclei with nuclear overlap. (???)
  • Absence of granules on light microscopy.

Images

www:

IHC

  • CD2 +ve, CD34 +ve/-ve, CD56 +ve/-ve.

Flow cytometry

  • CD34 -ve, HLA-DR -ve.
  • CD33 +ve, CD13 +ve/-ve, CD117 +ve (weak), CD56 +ve/-ve.

Molecular

Variants:

  • t(11;17) -- ATRA doesn't work.[6]
  • t(17;17) -- ATRA doesn't work.
  • t(5;17). (???)

Acute myeloid leukemia with t(9;11)

General

Clinical:

  • +/-DIC.
  • Usu. children.

Microscopic

  • Monoblastic morphology. (???)
  • Myelomonocytic morphology. (???)

IHC

  • CD33+, CD65+, CD4+, HLA-DR+.
  • CD34+. (???)
  • CD13+. (???)

Molecular

  • t(9;11).

See also

References

  1. Berger, R. (1994). "Translocation t(8;21)(q22;q22): cytogenetics and molecular biology.". Nouv Rev Fr Hematol 36 Suppl 1: S67-9. PMID 8177719.
  2. Lu, CM.; Murata-Collins, JL.; Wang, E.; Siddiqi, I.; Lawrence, HJ. (Dec 2006). "Concurrent acute myeloid leukemia with inv(16)(p13.1q22) and chronic lymphocytic leukemia: molecular evidence of two separate diseases.". Am J Hematol 81 (12): 963-8. doi:10.1002/ajh.20716. PMID 16917916.
  3. Online 'Mendelian Inheritance in Man' (OMIM) 102578
  4. Online 'Mendelian Inheritance in Man' (OMIM) 180240
  5. URL: http://path.upmc.edu/cases/case457.html. Accessed on: 21 January 2012.
  6. Lefkowitch, Jay H. (2006). Anatomic Pathology Board Review (1st ed.). Saunders. pp. 623 Q2. ISBN 978-1416025887.