Cystinosis
Cystinosis is a lysosomal storage disease and very rare.[1]
| Cystinosis | |
|---|---|
| Diagnosis in short | |
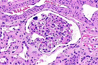
|
Changes of cystinosis in the kidney. H&E stain. | |
|
| |
| LM | dependent on site, kidney: multinucleation of podocytes, bone marrow: histiocytes with (cysteine) crystals |
| Molecular | cystinosin gene mutation |
| Site | kidney, bone marrow, others |
|
| |
| Associated Dx | nephrolithiasis, chronic renal failure |
| Clinical history | +/-consanguinity |
| Prevalence | rare |
| Other | hexagonal shaped crystals in urine |
General
- Rare.
- Associated with nephrolithiasis (renal stones)[2] and renal failure.
- Autosomal recessive.[1]
- Mutation in cystinosin gene (CTNS).[3][4][5]
Microscopic
Kidney
Images
Case
www
Urine
- Hexagonal shaped crystals.
Bone marrow
- Histiocytes with (cysteine) crystals.[8]
- Birefringent with polarized light.
Images
See also
References
- ↑ 1.0 1.1 Veys, KR.; Besouw, MT.; Pinxten, AM.; Dyck, MV.; Casteels, I.; Levtchenko, EN. (Jan 2015). "Cystinosis: a new perspective.". Acta Clin Belg: 2295333714Y0000000113. doi:10.1179/2295333714Y.0000000113. PMID 25560059.
- ↑ Theodoropoulos, DS.; Shawker, TH.; Heinrichs, C.; Gahl, WA. (Aug 1995). "Medullary nephrocalcinosis in nephropathic cystinosis.". Pediatr Nephrol 9 (4): 412-8. PMID 7577398.
- ↑ Online 'Mendelian Inheritance in Man' (OMIM) 606272
- ↑ Online 'Mendelian Inheritance in Man' (OMIM) 219800
- ↑ Online 'Mendelian Inheritance in Man' (OMIM) 219900
- ↑ 6.0 6.1 Sharma, A.; Gupta, R.; Sethi, SK.; Bagga, A.; Dinda, AK. (Apr 2011). "Giant cell transformation of podocytes: A unique histological feature associated with cystinosis.". Indian J Nephrol 21 (2): 123-5. doi:10.4103/0971-4065.78067. PMID 21769177.
- ↑ 7.0 7.1 Chandra, M.; Stokes, MB.; Kaskel, F. (Nov 2010). "Multinucleated podocytes: a diagnostic clue to cystinosis.". Kidney Int 78 (10): 1052. doi:10.1038/ki.2010.341. PMID 21030980.
- ↑ Emadi, A.; Burns, KH.; Confer, B.; Borowitz, MJ.; Streiff, MB. (2008). "Hematological manifestations of nephropathic cystinosis.". Acta Haematol 119 (3): 169-72. doi:10.1159/000134222. PMID 18493119.