Corneal ulcer

From Libre Pathology
Revision as of 15:31, 9 February 2016 by Michael (talk | contribs)
(diff) ← Older revision | Latest revision (diff) | Newer revision → (diff)
Jump to navigation Jump to search

Corneal ulcer is benign pathology of the eye characterized by (a focal) loss of the corneal epithelium.

Corneal ulcer
Diagnosis in short

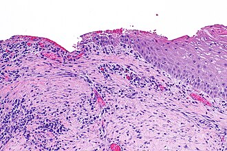
Corneal ulcer. H&E stain. (WC)

LM full thickness loss of epithelium
LM DDx squamous dysplasia
Site eye - cornea

Prognosis dependent on severity

General

  • Cause: trauma.[1]
  • May threaten sight in the eye.[1]

Microscopic

Feature:

DDx:

Images

Sign out

Corneal Button, Left Eye, Keratoplasty: 
- Corneal ulcer associated with neovascularization and chronic inflammation.
- NEGATIVE for dysplasia.

See also

References

  1. 1.0 1.1 Ahmed, F.; House, RJ.; Feldman, BH. (Sep 2015). "Corneal Abrasions and Corneal Foreign Bodies.". Prim Care 42 (3): 363-75. doi:10.1016/j.pop.2015.05.004. PMID 26319343.