Uterine cervix with atrophic changes

From Libre Pathology
Revision as of 13:55, 27 June 2015 by Michael (talk | contribs) (touch)
(diff) ← Older revision | Latest revision (diff) | Newer revision → (diff)
Jump to navigation Jump to search

Uterine cervix with atrophic changes is relatively common and is important to recognize as it can mimic HSIL.

Uterine cervix with atrophic changes
Diagnosis in short

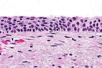
Atrophic cervix. H&E stain.

LM small squamous cells with grey/blue cytoplasm, no "dancing"/"sparkling" chromatin, no mitoses
LM DDx HSIL, immature squamous metaplasia
IHC p16 -ve, Ki-67 rare basal cells
Site uterine cervix - exocervix

Clinical history usually postmenopausal
Prevalence common
Prognosis benign
Other normal - postmenopausal

It is also known as atrophy of the uterine cervix, cervical atrophy, atrophy of the cervix and cervix with atrophic changes.

General

  • Common.
  • Post-menupausal.
  • Important to recognize and differentiate from HSIL.

Microscopic

Features - squamous cells:

  • Cells smaller.
  • Cytoplasm grey/blue.
  • No "dancing"/"sparkling" chromatin.
  • No mitoses.

Notes:

  • Mitosis do not exclude the diagnosis.... but should make one think HSIL.

DDx:

Images

www:

IHC

Features:[1]

  • p16 -ve.
  • Ki-67 rare basal cells.

Sign out

UTERINE CERVIX, BIOPSY:
- SQUAMOUS MUCOSA WITH ATROPHIC CHANGES.
- BENIGN ENDOCERVICAL EPITHELIUM.
- NEGATIVE FOR DYSPLASIA.

COMMENT:
A p16 immunostain is negative. A Ki-67 immunostain marks rare basal cells.

See also

References

  1. 1.0 1.1 Iaconis, L.; Hyjek, E.; Ellenson, LH.; Pirog, EC. (Sep 2007). "p16 and Ki-67 immunostaining in atypical immature squamous metaplasia of the uterine cervix: correlation with human papillomavirus detection.". Arch Pathol Lab Med 131 (9): 1343-9. doi:10.1043/1543-2165(2007)131[1343:PAKIIA]2.0.CO;2. PMID 17824788.
  2. URL: http://www.eurocytology.eu/static/eurocytology/TUR/cervical/LP1ContentLcontC.html. Accessed on: 13 December 2013.