Squamous metaplasia
Jump to navigation
Jump to search
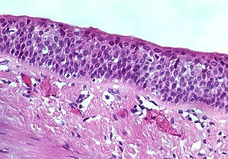
Bronchial squamous metaplasia. H&E stain.
Squamous metaplasia, abbreviated SM, is a benign transformation of an epithelium to a squamous morphology.
It is seen in a number of contexts - including:
- Squamous metaplasia of the uterine cervix.
- Squamous metaplasia of the urinary bladder.
- Squamous metaplasia of lactiferous ducts (SMOLD).
- Squamous metaplasia of the amnion.
- Squamous metaplasia of the endometrium.[1]
- Squamous metaplasia of the bronchial epithelium.
References
|
|
This disambiguation page lists articles associated with the same title. If an internal link led you here, you may wish to change the link to point directly to the intended article. |