Difference between revisions of "Renal mucinous tubular and spindle cell carcinoma"
Jump to navigation
Jump to search
| Line 48: | Line 48: | ||
==Microscopic== | ==Microscopic== | ||
Features:<ref name=pmid19066686>{{cite journal |author=Trabelsi A, Stita W, Yacoubi MT, Rammeh S, Hmissa S, Korbi S |title=Renal mucinous tubular and spindle cell carcinoma |journal=Can Urol Assoc J |volume=2 |issue=6 |pages=635–6 |year=2008 |month=December |pmid=19066686 |pmc=2593603 |doi= |url=}}</ref> | Features:<ref name=pmid19066686>{{cite journal |author=Trabelsi A, Stita W, Yacoubi MT, Rammeh S, Hmissa S, Korbi S |title=Renal mucinous tubular and spindle cell carcinoma |journal=Can Urol Assoc J |volume=2 |issue=6 |pages=635–6 |year=2008 |month=December |pmid=19066686 |pmc=2593603 |doi= |url=}}</ref> | ||
*Mucin | *Mucin - may be scant. | ||
**Often within foamy macrophages. | |||
*Spindle cells - '''key feature'''. | *Spindle cells - '''key feature'''. | ||
**Often seen only focally. | **Often seen only focally. | ||
Revision as of 23:50, 23 February 2016
| Renal mucinous tubular and spindle cell carcinoma | |
|---|---|
| Diagnosis in short | |
|
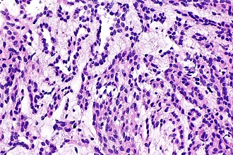
Renal mucinous tubular and spindle cell carcinoma. H&E stain. | |
|
| |
| LM | mucin (foamy macrophages) - may be scant, spindle cells, small tubules - lined by cuboidal epithelium |
| IHC | CK7 +ve, AMACR +ve, CD10 -ve, AE1/AE3 +ve |
| Gross | solid, greyish-yellow or tan-yellow, well-circumscribed |
| Grossing notes | partial nephrectomy grossing, total nephrectomy for tumour grossing |
| Site | kidney - see kidney tumours |
|
| |
| Prevalence | rare |
| Prognosis | good |
| Treatment | surgical excision |
Renal mucinous tubular and spindle cell carcinoma, abbreviated RMTSCC or MTSCC, is a rare malignant epithelial neoplasm of the kidney.
It is also known as renal mucinous tubular spindle cell carcinoma and mucinous tubular and spindle cell carcinoma of the kidney.[1]
General
Gross
Features:[4]
- Solid.
- Greyish-yellow or tan-yellow.
- Well-circumscribed.
Microscopic
Features:[5]
- Mucin - may be scant.
- Often within foamy macrophages.
- Spindle cells - key feature.
- Often seen only focally.
- Small tubules - lined by cuboidal epithelium.[4]
DDx:
- Sarcomatoid papillary renal cell carcinoma[6] (papillary renal cell carcinoma with sarcomatoid differentiation).
- Papillary renal cell carcinoma.
Grading
- Typically ISUP nucleolar (Fuhrman) grade 2.[7]
Images
www
- RMTSCC (ouhsc.edu).
- RMTSCC (cttr.org).[10]
- RMTSCC (diagnosticpathology.org).[4]
- RMTSCC (ijpmonline.org).[11]
Stains
- Mucicarmine - mucin +ve.
- Alcian blue pH 2.5 - mucin +ve.
IHC
Features:[12]
- CK7 +ve.
- AMACR +ve.
- CD10 -ve.
- AE1/AE3 +ve.
Others:
- PAX-8 +ve.
- CAM5.2 +ve.
- p63 -ve.
- CK20 -ve.[15]
Note:
- Immunophenotype overlaps with papillary renal cell carcinoma.Cite error: Invalid
<ref>tag; invalid names, e.g. too many
Sign out
Left Kidney, Partial Nephrectomy: - RENAL MUCINOUS TUBULAR AND SPINDLE CELL CARCINOMA (RMTSCC). -- Margins clear. -- ISUP nucleolar grade 2. -- TNM stage: pT1a pNx. -- Please see tumour summary. Comment: The stains are as follows: POSITIVE: CK7, AMACR, AE1/AE3, mucicarmine. NEGATIVE: WT-1, CD56, CD57, CD10, CD68.
Notes:
- The (bland) spindle areas are not sarcomatoid as per the synoptic report.
Micro
The tumour consists of small cells with mild pleomorphism and mild-to-moderate cytoplasm. A tubular architecture is predominant and mucin is present. Focal spindled areas are also seen.
See also
References
- ↑ Brandal, P.; Lie, AK.; Bassarova, A.; Svindland, A.; Risberg, B.; Danielsen, H.; Heim, S. (Feb 2006). "Genomic aberrations in mucinous tubular and spindle cell renal cell carcinomas.". Mod Pathol 19 (2): 186-94. doi:10.1038/modpathol.3800499. PMID 16258504.
- ↑ Srigley, JR.; Delahunt, B. (Jun 2009). "Uncommon and recently described renal carcinomas.". Mod Pathol 22 Suppl 2: S2-S23. doi:10.1038/modpathol.2009.70. PMID 19494850.
- ↑ Geramizadeh B, Salehipour M, Moradi A (2009). "Mucinous tubular and spindle cell carcinoma of kidney: a rare case report and review of the literature". Indian J Pathol Microbiol 52 (4): 514–6. doi:10.4103/0377-4929.56144. PMID 19805959.
- ↑ 4.0 4.1 4.2 Wu, XR.; Chen, YH.; Sha, JJ.; Zhao, L.; Huang, JW.; Bo, JJ.; Liu, DM.; Huang, YR. (Dec 2013). "Renal mucinous tubular and spindle cell carcinoma: a report of 8 cases and review of the literature.". Diagn Pathol 8 (1): 206. doi:10.1186/1746-1596-8-206. PMID 24330589.
- ↑ Trabelsi A, Stita W, Yacoubi MT, Rammeh S, Hmissa S, Korbi S (December 2008). "Renal mucinous tubular and spindle cell carcinoma". Can Urol Assoc J 2 (6): 635–6. PMC 2593603. PMID 19066686. https://www.ncbi.nlm.nih.gov/pmc/articles/PMC2593603/.
- ↑ Dhillon J, Amin MB, Selbs E, Turi GK, Paner GP, Reuter VE (January 2009). "Mucinous tubular and spindle cell carcinoma of the kidney with sarcomatoid change". Am. J. Surg. Pathol. 33 (1): 44–9. doi:10.1097/PAS.0b013e3181829ed5. PMID 18941398.
- ↑ Gross, M. (Apr 1989). "Vertical dimension--Part II.". Refuat Hashinayim 7 (2): 8-18. PMID 2637792.
- ↑ Kuroda, N.; Hes, O.; Michal, M.; Nemcova, J.; Gal, V.; Yamaguchi, T.; Kawada, T.; Imamura, Y. et al. (Dec 2008). "Mucinous tubular and spindle cell carcinoma with Fuhrman nuclear grade 3: a histological, immunohistochemical, ultrastructural and FISH study.". Histol Histopathol 23 (12): 1517-23. PMID 18830937.
- ↑ Kuroda, N.; Hes, O.; Michal, M.; Nemcova, J.; Gal, V.; Yamaguchi, T.; Kawada, T.; Imamura, Y. et al. (Dec 2008). "Mucinous tubular and spindle cell carcinoma with Fuhrman nuclear grade 3: a histological, immunohistochemical, ultrastructural and FISH study.". Histol Histopathol 23 (12): 1517-23. PMID 18830937.
- ↑ URL: http://www.cttr.org/cms/?p=1406. Accessed on: 28 February 2014.
- ↑ Hussain, M.; Ud Din, N.; Azam, M.; Loya, A.. "Mucinous tubular and spindle cell carcinoma of kidney: a clinicopathologic study of six cases.". Indian J Pathol Microbiol 55 (4): 439-42. doi:10.4103/0377-4929.107776. PMID 23455776.
- ↑ Ferlicot S, Allory Y, Compérat E, et al. (December 2005). "Mucinous tubular and spindle cell carcinoma: a report of 15 cases and a review of the literature". Virchows Arch. 447 (6): 978–83. doi:10.1007/s00428-005-0036-x. PMID 16231179.
- ↑ Paner, GP.; Srigley, JR.; Radhakrishnan, A.; Cohen, C.; Skinnider, BF.; Tickoo, SK.; Young, AN.; Amin, MB. (Jan 2006). "Immunohistochemical analysis of mucinous tubular and spindle cell carcinoma and papillary renal cell carcinoma of the kidney: significant immunophenotypic overlap warrants diagnostic caution.". Am J Surg Pathol 30 (1): 13-9. PMID 16330937.
- ↑ Sarsik, B.; Sımşır, A.; Karaarslan, S.; Sen, S. (May 2011). "Mucinous tubular and spindle cell carcinoma of kidney and problems in diagnosis.". Turk Patoloji Derg 27 (2): 116-26. doi:10.5146/tjpath.2011.01059. PMID 21630197.
- ↑ Arias, LF.; Blanco, J.; Hernández, S.; Bocardo, G.; González, L.. "[Immunohistochemical profile and clinical features of mucinous tubular and spindle renal cell carcinoma].". Actas Urol Esp 30 (7): 649-54. PMID 17058608.