Difference between revisions of "Perineural invasion"

From Libre Pathology
Jump to navigation Jump to search
 
Line 1: Line 1:
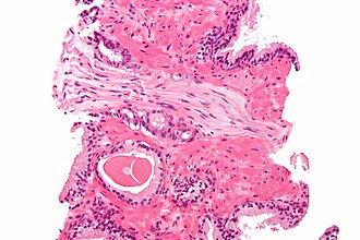
[[Image:Prostatic adenocarcinoma with perineural invasion.JPG|thumb|right|250px|Perineural invasion in prostate carcinoma. [[H&E stain]].]]
[[Image:Prostatic adenocarcinoma with perineural invasion.JPG|thumb|right|300px|Perineural invasion in prostate carcinoma. [[H&E stain]].]]
'''Perineural invasion''', also known as '''perineural tumour''', is the presence of a tumour within the nerve sheath.  It is abbreviated as '''PNI'''.
'''Perineural invasion''', also known as '''perineural tumour''', is the presence of a tumour within the nerve sheath.  It is abbreviated as '''PNI'''.



Latest revision as of 01:09, 21 April 2015

Perineural invasion in prostate carcinoma. H&E stain.

Perineural invasion, also known as perineural tumour, is the presence of a tumour within the nerve sheath. It is abbreviated as PNI.

Generally, it is an indicator of a poor prognosis.

Specific tumours

Tumour Prognosis Comment
Colorectal carcinoma independent predictor[1]

Microscopic

Features:

  • Tumour within the nerve sheath.

DDx:

  • Benign perineural glands (known as benign perineural involvement).[2]
    • Should not completely wrap around the gland.

Images

See also

References

  1. Liebig, C.; Ayala, G.; Wilks, J.; Verstovsek, G.; Liu, H.; Agarwal, N.; Berger, DH.; Albo, D. (Nov 2009). "Perineural invasion is an independent predictor of outcome in colorectal cancer.". J Clin Oncol 27 (31): 5131-7. doi:10.1200/JCO.2009.22.4949. PMID 19738119.
  2. Ali, TZ.; Epstein, JI. (Sep 2005). "Perineural involvement by benign prostatic glands on needle biopsy.". Am J Surg Pathol 29 (9): 1159-63. PMID 16096404.