Difference between revisions of "Metaphyseal fibrous defect"

From Libre Pathology
Jump to navigation Jump to search
 
(13 intermediate revisions by 2 users not shown)
Line 1: Line 1:
{{ Infobox diagnosis
{{ Infobox diagnosis
| Name      = Metaphyseal fibrous defect
| Name      = Metaphyseal fibrous defect
| Image      =  
| Image      = Bone Metaphyseal Fibrous Defect High Power.JPG
| Width      =
| Width      =
| Caption    =  
| Caption    =  
| Synonyms  = Nonossifying fibroma
| Synonyms  = nonossifying fibroma, fibrous cortical defect, fibrous metaphyseal defect, fibroxanthoma of bone
| Micro      =
| Micro      =
| Subtypes  =
| Subtypes  =
| LMDDx      =  
| LMDDx      = [[giant cell tumour of bone]], others
| Stains    =
| Stains    =
| IHC        =
| IHC        =
Line 15: Line 15:
| Gross      =
| Gross      =
| Grossing  =
| Grossing  =
| Site      =
| Site      = [[metaphysis]] of [[bone]] - usu. lower extremity
| Assdx      =
| Assdx      =
| Syndromes  =  
| Syndromes  =  
| Clinicalhx = Incidental radiograhic finding
| Clinicalhx = incidental radiograhic finding
| Signs      =
| Signs      =
| Symptoms  =
| Symptoms  =
| Prevalence =
| Prevalence = common
| Bloodwork  =
| Bloodwork  =
| Rads      = Lucent defect  
| Rads      = lucent defect  
| Endoscopy  =
| Endoscopy  =
| Prognosis  =  
| Prognosis  = benign
| Other      =
| Other      =
| ClinDDx    =
| ClinDDx    =
| Tx        =
| Tx        = none
}}
}}
{{ Infobox external links
| Name            = {{PAGENAME}}
| EHVSC          =
| EHVSC_mult      =
| pathprotocols  =
| wikipedia      = Nonossifying fibroma
| pathoutlines    =  {{Pathologyoutlines|topic/bonemetaphysealfibrousdefect}}
| rosaicollection =
}}
'''Metaphyseal fibrous defect''', abbreviated '''MFD''', is a common benign abnormality of the [[metaphysis]], classically seen in children and young adults.
They are also known as '''fibrous cortical defect''', '''fibrous metaphyseal defect''', and '''fibroxanthoma of [[bone]]'''. '''Nonossifying fibroma''' is a larger lesion but otherwise identical.


==General==
==General==
*Common
*Common.
*Non-neoplastic
*Non-neoplastic.
*Self-limited
*Self-limited.
*Skeletally immature individuals, children and adolescent
*Skeletally immature individuals, children and adolescents.
*Often small lesions discovered as an radiographic incidentaloma
*Often small lesions discovered as an radiographic incidentaloma.
*Rarely seen as a pathologic specimen (should not be biopsied)
*Rarely seen as a pathologic specimen (should not be biopsied).
*May be seen in the context of ''Jaffe-Campanacci syndrome'' which may be a presentation of Neurofibromatosis Type 1.<ref>URL: [http://www.bonetumor.org/plasma-cell-tumors/jaffe-campanacci-syndrome http://www.bonetumor.org/plasma-cell-tumors/jaffe-campanacci-syndrome]. Accessed on: October 14, 2014.</ref><ref>{{Cite journal  | last1 = Stewart | first1 = DR. | last2 = Brems | first2 = H. | last3 = Gomes | first3 = AG. | last4 = Ruppert | first4 = SL. | last5 = Callens | first5 = T. | last6 = Williams | first6 = J. | last7 = Claes | first7 = K. | last8 = Bober | first8 = MB. | last9 = Hachen | first9 = R. | title = Jaffe-Campanacci syndrome, revisited: detailed clinical and molecular analyses determine whether patients have neurofibromatosis type 1, coincidental manifestations, or a distinct disorder. | journal = Genet Med | volume = 16 | issue = 6 | pages = 448-59 | month = Jun | year = 2014 | doi = 10.1038/gim.2013.163 | PMID = 24232412 }}
</ref>
*Radiographic diagnosis.
 
Clinical history:
*Incidental radiographic finding.
*Pathologic fracture.


==Synonyms==
Treatment:
*Nonossifying fibroma (larger but otherwise identical)
*None (spontaneously resolve by ossification).
*Fibrous cortical defect
**Diagnosis is part of the ''skeletal do not touch list''.<ref>URL: [http://radiopaedia.org/articles/skeletal-do-not-touch-lesions-1 http://radiopaedia.org/articles/skeletal-do-not-touch-lesions-1]. Accessed on: October 14, 2014.</ref>
*Fibrous metaphyseal defect
*Fibroxanthoma of bone


==Site==
Notes:
*Metaphysis of distal femur or proximal tibia (80%)
*May resolve into a ''bone island''.
*Cortical
 
*Metaphysis
Clinical DDx:
*Long bones
*''FOG MACHINES'' acronym for radiographically lytic bone lesions.<ref>URL: [http://radiopaedia.org/articles/lytic-bone-lesion-mnemonic http://radiopaedia.org/articles/lytic-bone-lesion-mnemonic]. Accessed on: October 14, 2014.</ref>
*Eccentric location


==Gross==
==Gross==
Firm, granular, brown to yellow to red
*Firm, granular, brown to yellow to red.
 
Site:
*[[Metaphysis]] of distal femur or proximal tibia (80%).
*Cortical.
*Metaphysis.
*Long bones.
*Eccentric location.
 
===Radiology===
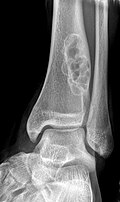
*Sharply demarcated, lucent, loculated, meta-diaphyseal lesion.
*Surrounded by a rim of sclerotic bone.
 
<gallery>
Image:NOF 1.jpg|Nonossifying fibroma. (WC)
</gallery>


==Microscopic==
==Microscopic==
Spindle cells without cytologic atypia are arranged in a storiform pattern with scattered chronic inflammatory cells and benign giant cells.  Foam cells and hemosiderin deposition are present.  Mitoses are seen but cytologic atypia is absent.
Features:
*Spindle cells without cytologic atypia are arranged in a storiform pattern.
*Scattered chronic inflammatory cells and benign [[giant cell]]s.   
*Foam cells and hemosiderin deposition are present.   
*Mitoses are seen but cytologic atypia is absent.


==Differential Diagnosis==
DDx (microscopic):
*[[Giant cell tumour of bone]] (epiphyseal location, occurs in adults)
*[[Giant cell tumour of bone]] - [[epiphysis|epiphyseal]] location, occurs in adults.
 
*Other [[giant cell lesions]] of bone.
==Relevant Diagnostic Groups==
*[[Spindle cell lesion]]s of bone.
*Clinical
**FOG MACHINES - acronym for radiographically lytic bone lesions <ref>URL: [http://radiopaedia.org/articles/lytic-bone-lesion-mnemonic http://radiopaedia.org/articles/lytic-bone-lesion-mnemonic]. Accessed on: October 14, 2014.</ref>
**'Skeletal do not touch list' <ref>URL: [http://radiopaedia.org/articles/skeletal-do-not-touch-lesions-1 http://radiopaedia.org/articles/skeletal-do-not-touch-lesions-1]. Accessed on: October 14, 2014.</ref>
*Pathologic
**Giant cell lesions of bone.
**Spindle cell lesions of bone.


==Images==
==Images==
[[File:Bone Metaphyseal Fibrous Defect Medium Power.JPG|thumb|Bone Metaphyseal Fibrous Defect Medium Power]]
<gallery>
[[File:Bone Metaphyseal Fibrous Defect High Power.JPG|thumb|Bone Metaphyseal Fibrous Defect High Power]]
Image:Bone Metaphyseal Fibrous Defect Medium Power.JPG|Metaphyseal fibrous defect - intermediate magnification.
*[http://njms2.umdnj.edu/tutorweb/casegifs/nofhe1.jpg]
Image:Bone Metaphyseal Fibrous Defect High Power.JPG|Metaphyseal fibrous defect - high magnification.
*[http://njms2.umdnj.edu/tutorweb/casegifs/nofhe2.jpg]
</gallery>
*[http://njms2.umdnj.edu/tutorweb/casegifs/nofhe1.jpg]
www:
*[http://pathologyoutlines.com/wick/non-ossifying%20fibroma%20(metaphyseal%20fibrous%20defect)%20micro.jpg]
*[http://njms2.umdnj.edu/tutorweb/casegifs/nofhe1.jpg MFD (umdnj.edu)].
*[http://njms2.umdnj.edu/tutorweb/casegifs/nofhe2.jpg MFD (umdnj.edu)].
*[http://njms2.umdnj.edu/tutorweb/casegifs/nofhe1.jpg MFD (umdnj.edu)].
*[http://pathologyoutlines.com/wick/non-ossifying%20fibroma%20(metaphyseal%20fibrous%20defect)%20micro.jpg MFD (pathologyoutlines.com)].


==Stains==
==Stains==
Not relevant.
*Not relevant.


==IHC==
==IHC==
Not relevant
*Not relevant.


==Molecular==
==Molecular==
Not relevant
*Not relevant.
 
==Syndromes==
Jaffe-Campanacci syndrome <ref>URL: [http://www.bonetumor.org/plasma-cell-tumors/jaffe-campanacci-syndrome http://www.bonetumor.org/plasma-cell-tumors/jaffe-campanacci-syndrome]. Accessed on: October 14, 2014.</ref>
 
==Clinical history==
*Incidental radiographic finding
*Pathologic fracture
 
==Prognosis==
*Ideally should not be biopsied
*Radiographically characteristic and benign
*Ideally should not be treated or even biopsied
*Spontaneously resolve by ossification
*May resolve into a 'bone island'
 
==Radiographic findings==
Sharply demarcated, lucent, loculated, meta-diaphyseal lesion surrounded by a rim of sclerotic bone


==Sign out==
==Sign out==
BONE; CURETTAGE: METAPHYSEAL FIBROUS DEFECT / NONOSSIFYING FIBROMA.
<pre>
BONE, CURETTAGE:  
- METAPHYSEAL FIBROUS DEFECT / NONOSSIFYING FIBROMA.
</pre>


==See also==
==See also==
*http://njms2.umdnj.edu/tutorweb/case8.htm
*[[Bone]].
*http://www.pathologyoutlines.com/topic/bonemetaphysealfibrousdefect.html
*http://radiopaedia.org/articles/fibrous-cortical-defect
*http://radiopaedia.org/articles/non-ossifying-fibroma-1


==References==
==References==
{{Reflist|1}}
{{Reflist|1}}
==External links==
*[http://njms2.umdnj.edu/tutorweb/case8.htm A case of MFD (umdnj.edu)].
*[http://radiopaedia.org/articles/fibrous-cortical-defect Fibrous cortical defect (radiopaedia.org)].
*[http://radiopaedia.org/articles/non-ossifying-fibroma-1 Non-ossifying fibroma (radiopaedia.org)].


[[Category:Diagnosis]]
[[Category:Diagnosis]]
[[Category:Bone]]

Latest revision as of 23:43, 18 October 2014

Metaphyseal fibrous defect
Diagnosis in short

Synonyms nonossifying fibroma, fibrous cortical defect, fibrous metaphyseal defect, fibroxanthoma of bone
LM DDx giant cell tumour of bone, others
Site metaphysis of bone - usu. lower extremity

Clinical history incidental radiograhic finding
Prevalence common
Radiology lucent defect
Prognosis benign
Treatment none
Metaphyseal fibrous defect
External resources
Wikipedia Nonossifying fibroma
Pathology Outlines topic/bonemetaphysealfibrousdefect

Metaphyseal fibrous defect, abbreviated MFD, is a common benign abnormality of the metaphysis, classically seen in children and young adults.

They are also known as fibrous cortical defect, fibrous metaphyseal defect, and fibroxanthoma of bone. Nonossifying fibroma is a larger lesion but otherwise identical.

General

  • Common.
  • Non-neoplastic.
  • Self-limited.
  • Skeletally immature individuals, children and adolescents.
  • Often small lesions discovered as an radiographic incidentaloma.
  • Rarely seen as a pathologic specimen (should not be biopsied).
  • May be seen in the context of Jaffe-Campanacci syndrome which may be a presentation of Neurofibromatosis Type 1.[1][2]
  • Radiographic diagnosis.

Clinical history:

  • Incidental radiographic finding.
  • Pathologic fracture.

Treatment:

  • None (spontaneously resolve by ossification).
    • Diagnosis is part of the skeletal do not touch list.[3]

Notes:

  • May resolve into a bone island.

Clinical DDx:

  • FOG MACHINES acronym for radiographically lytic bone lesions.[4]

Gross

  • Firm, granular, brown to yellow to red.

Site:

  • Metaphysis of distal femur or proximal tibia (80%).
  • Cortical.
  • Metaphysis.
  • Long bones.
  • Eccentric location.

Radiology

  • Sharply demarcated, lucent, loculated, meta-diaphyseal lesion.
  • Surrounded by a rim of sclerotic bone.

Microscopic

Features:

  • Spindle cells without cytologic atypia are arranged in a storiform pattern.
  • Scattered chronic inflammatory cells and benign giant cells.
  • Foam cells and hemosiderin deposition are present.
  • Mitoses are seen but cytologic atypia is absent.

DDx (microscopic):

Images

www:

Stains

  • Not relevant.

IHC

  • Not relevant.

Molecular

  • Not relevant.

Sign out

BONE, CURETTAGE: 
- METAPHYSEAL FIBROUS DEFECT / NONOSSIFYING FIBROMA.

See also

References

  1. URL: http://www.bonetumor.org/plasma-cell-tumors/jaffe-campanacci-syndrome. Accessed on: October 14, 2014.
  2. Stewart, DR.; Brems, H.; Gomes, AG.; Ruppert, SL.; Callens, T.; Williams, J.; Claes, K.; Bober, MB. et al. (Jun 2014). "Jaffe-Campanacci syndrome, revisited: detailed clinical and molecular analyses determine whether patients have neurofibromatosis type 1, coincidental manifestations, or a distinct disorder.". Genet Med 16 (6): 448-59. doi:10.1038/gim.2013.163. PMID 24232412.
  3. URL: http://radiopaedia.org/articles/skeletal-do-not-touch-lesions-1. Accessed on: October 14, 2014.
  4. URL: http://radiopaedia.org/articles/lytic-bone-lesion-mnemonic. Accessed on: October 14, 2014.

External links