Difference between revisions of "Eosinophilic gastritis"
Jump to navigation
Jump to search
| (3 intermediate revisions by the same user not shown) | |||
| Line 1: | Line 1: | ||
{{ Infobox diagnosis | |||
| Name = {{PAGENAME}} | |||
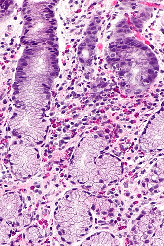
| Image = Stomach_with_eosinophilia_-_2_--_high_mag.jpg | |||
| Width = | |||
| Caption = Stomach with eosinophilia. [[H&E stain]]. | |||
| Synonyms = | |||
| Micro = abundant eosinophils (>=127 eosinophils/mm<sup>2</sup>) | |||
| Subtypes = | |||
| LMDDx = [[chronic gastritis]], [[Helicobacter gastritis]], [[Crohn's disease]] - see ''[[inflammatory bowel disease and the stomach]]'', eosinophilic myeloproliferative neoplasm, eosinophilic gastroenteritis | |||
| Stains = | |||
| IHC = | |||
| EM = | |||
| Molecular = | |||
| IF = | |||
| Gross = | |||
| Grossing = | |||
| Site = [[stomach]] | |||
| Assdx = | |||
| Syndromes = | |||
| Clinicalhx = | |||
| Signs = | |||
| Symptoms = +/-abdominal pain | |||
| Prevalence = very rare | |||
| Bloodwork = | |||
| Rads = | |||
| Endoscopy = | |||
| Prognosis = benign? | |||
| Other = | |||
| ClinDDx = other causes of [[gastritis]] | |||
| Tx = | |||
}} | |||
'''Eosinophilic gastritis''', abbreviated '''EG''', is an uncommon inflammatory process of [[stomach]] characterized by abundant [[eosinophil]]s. | '''Eosinophilic gastritis''', abbreviated '''EG''', is an uncommon inflammatory process of [[stomach]] characterized by abundant [[eosinophil]]s. | ||
==General== | ==General== | ||
*Rare. | *Rare. | ||
Clinical: | |||
*Abdominal pain.<ref name=pmid18693615>{{Cite journal | last1 = Ayyub | first1 = M. | last2 = Almenawi | first2 = L. | last3 = Mogharbel | first3 = MH. | title = Eosinophilic gastritis; an unusual and overlooked cause of chronic abdominal pain. | journal = J Ayub Med Coll Abbottabad | volume = 19 | issue = 4 | pages = 127-30 | month = | year = | doi = | PMID = 18693615 }}</ref> | |||
*May mimic a gastric tumour.<ref name=pmid20501003>{{Cite journal | last1 = Holroyd | first1 = DJ. | last2 = Banerjee | first2 = S. | last3 = Chaudhary | first3 = KS. | last4 = Reshamwalla | first4 = S. | last5 = Vijay | first5 = V. | last6 = Ward | first6 = MW. | title = Transmural eosinophilic gastritis with gastric outlet obstruction: case report and review of the literature. | journal = Ann R Coll Surg Engl | volume = 92 | issue = 4 | pages = W18-20 | month = May | year = 2010 | doi = 10.1308/147870810X12659688851915 | PMID = 20501003 }}</ref> | |||
==Gross== | ==Gross== | ||
| Line 27: | Line 62: | ||
*[[Helicobacter gastritis]]. | *[[Helicobacter gastritis]]. | ||
*[[Crohn's disease]] - see ''[[inflammatory bowel disease and the stomach]]''. | *[[Crohn's disease]] - see ''[[inflammatory bowel disease and the stomach]]''. | ||
*Eosinophilic myeloproliferative neoplasm. | |||
*Eosinophilic gastroenteritis. | |||
*[[Inflammatory fibroid polyp]] - spindle cells. | |||
==Sign out== | ==Sign out== | ||
Latest revision as of 02:22, 7 March 2014
| Eosinophilic gastritis | |
|---|---|
| Diagnosis in short | |
|
Stomach with eosinophilia. H&E stain. | |
|
| |
| LM | abundant eosinophils (>=127 eosinophils/mm2) |
| LM DDx | chronic gastritis, Helicobacter gastritis, Crohn's disease - see inflammatory bowel disease and the stomach, eosinophilic myeloproliferative neoplasm, eosinophilic gastroenteritis |
| Site | stomach |
|
| |
| Symptoms | +/-abdominal pain |
| Prevalence | very rare |
| Prognosis | benign? |
| Clin. DDx | other causes of gastritis |
Eosinophilic gastritis, abbreviated EG, is an uncommon inflammatory process of stomach characterized by abundant eosinophils.
General
- Rare.
Clinical:
Gross
DDx:
Microscopic
Features:
- Abundant eosinophils -- >=127 eosinophils/mm2.[3]
- 30 eosinophils/HPF, if the field diameter of 1 HPF is 0.55 mm.
Notes:
- Normal range:[3]
- <38 eosinophils/mm2.
- Typically ~16 eosinophils/mm2.
- <38 eosinophils/mm2.
- Mild eosinophilia is seen in:[3]
- Crohn's disease ~ 31 eosinophils/mm2 (range: 0-203 eosinophils/mm2).
- Helicobacter gastritis ~ 25 eosinophils/mm2 (range: 0-219 eosinophils/mm2).
DDx:
- Chronic gastritis.
- Helicobacter gastritis.
- Crohn's disease - see inflammatory bowel disease and the stomach.
- Eosinophilic myeloproliferative neoplasm.
- Eosinophilic gastroenteritis.
- Inflammatory fibroid polyp - spindle cells.
Sign out
Focal eosinophilia
STOMACH, BIOPSY: - BODY AND ANTRAL-TYPE GASTRIC MUCOSA WITH MODERATE CHRONIC ACTIVE INFLAMMATION AND FOCAL EOSINOPHILIA. - NEGATIVE FOR HELICOBACTOR-LIKE ORGANISMS. - NEGATIVE FOR INTESTINAL METAPLASIA. - NEGATIVE FOR DYSPLASIA AND NEGATIVE FOR MALIGNANCY. COMMENT: One of four tissue fragments has eosinophilia, with 45 eosinophils/1 HPF (where 1 HPF is 0.2376 mm*mm).
See also
References
- ↑ Ayyub, M.; Almenawi, L.; Mogharbel, MH.. "Eosinophilic gastritis; an unusual and overlooked cause of chronic abdominal pain.". J Ayub Med Coll Abbottabad 19 (4): 127-30. PMID 18693615.
- ↑ Holroyd, DJ.; Banerjee, S.; Chaudhary, KS.; Reshamwalla, S.; Vijay, V.; Ward, MW. (May 2010). "Transmural eosinophilic gastritis with gastric outlet obstruction: case report and review of the literature.". Ann R Coll Surg Engl 92 (4): W18-20. doi:10.1308/147870810X12659688851915. PMID 20501003.
- ↑ 3.0 3.1 3.2 Lwin, T.; Melton, SD.; Genta, RM. (Apr 2011). "Eosinophilic gastritis: histopathological characterization and quantification of the normal gastric eosinophil content.". Mod Pathol 24 (4): 556-63. doi:10.1038/modpathol.2010.221. PMID 21169993.