Difference between revisions of "Intramuscular myxoma"

From Libre Pathology
Jump to navigation Jump to search
(→‎References: two columns)
 
(One intermediate revision by one other user not shown)
Line 14: Line 14:
| Gross      =
| Gross      =
| Grossing  =
| Grossing  =
| Site      = [[Soft tissue]]
| Site      = [[soft tissue]]
| Assdx      =
| Assdx      =
| Syndromes  =
| Syndromes  =
| Clinicalhx =
| Signs      =
| Signs      =
| Symptoms  =
| Symptoms  =
| Prevalence =
| Prevalence = rare
| Bloodwork  =
| Bloodwork  =
| Rads      =
| Rads      =
| Endoscopy  =
| Endoscopy  =
| Prognosis  =
| Prognosis  = benign, rarely recur
| Other      =
| Other      =
| ClinDDx    =
| ClinDDx    =
Line 53: Line 54:
*[[Myxoid liposarcoma]].
*[[Myxoid liposarcoma]].
*[[Myxofibrosarcoma]]
*[[Myxofibrosarcoma]]
*[[Juxta-articular myxoma]].


===Images===
===Images===

Latest revision as of 20:54, 5 July 2013

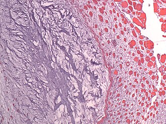
Intramuscular myxoma
Diagnosis in short

Intramuscular myxoma.

LM myxoid stroma with bland stellate cells and/or bland spindle cells, intramuscular, usu. hypervascular and hypercellular
Subtypes hypercellular, hypervascular
LM DDx myxoid lesions
Site soft tissue

Prevalence rare
Prognosis benign, rarely recur

Intramuscular myxoma is an uncommon benign intramuscular myxoid lesion.

General

  • Rare.[1]
  • Usually do not recur.[2]
  • Present as a mass.[2]

Gross

  • Usually thigh muscles.[2]

Microscopic

Features:[1][3]

  • Myxoid stroma - key feature
  • Bland stellate or spindle cells.
    • Typically paucicellular. †
    • Usually with scant vascularity. ‡
  • Contained within skeletal muscle - essential.

Note:

  • † A hypercellular variant exists.
  • ‡ A hypervascular variant exists.

DDx:[3]

Images

See also

References

  1. 1.0 1.1 Charron, P.; Smith, J. (Dec 2004). "Intramuscular myxomas: a clinicopathologic study with emphasis on surgical management.". Am Surg 70 (12): 1073-7. PMID 15663047.
  2. 2.0 2.1 2.2 Silver, WP.; Harrelson, JM.; Scully, SP. (Oct 2002). "Intramuscular myxoma: a clinicopathologic study of 17 patients.". Clin Orthop Relat Res (403): 191-7. PMID 12360026.
  3. 3.0 3.1 Nielsen, GP.; O'Connell, JX.; Rosenberg, AE. (Oct 1998). "Intramuscular myxoma: a clinicopathologic study of 51 cases with emphasis on hypercellular and hypervascular variants.". Am J Surg Pathol 22 (10): 1222-7. PMID 9777984.
  4. Yamashita, H.; Endo, K.; Takeda, C.; Teshima, R.; Osaki, M.; Yoshida, H. (May 2013). "Intramuscular myxoma of the buttock mimicking low-grade fibromyxoid sarcoma: diagnostic usefulness of MUC4 expression.". Skeletal Radiol. doi:10.1007/s00256-013-1641-4. PMID 23685711.