Giant cells
(Redirected from Touton giant cell)
Jump to navigation
Jump to search
File:Giant cell in bronchial wash -- very high mag.jpg
Giant cell from a bronchial wash. Pap stain.
Giant cells are "big" cells with multiple nuclei. They come in different flavours, which are suggestive of causality.
This article deals with the classic types of giant cells. A more general differential diagnosis of giant cells is in giant cell lesions.
Giant cell types
List:
- Touton giant cell.
- Osteoclast-like giant cell.
- Foreign body type giant cell.
Table
| Type | Histology | DDx | Other | Image |
| Touton giant cell | Nuclei form a ring around the cell periphery with eosinophilic cytoplasm centrally and foamy cytoplasm at the periphery. | Juvenile xanthogranuloma, xanthoma, Erdheim-Chester disease, fat necrosis, dermatofibroma | High lipid content lesions[1], Named after Karl Touton | |
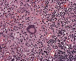
| Epithelioid type | scattered nuclei[2] | drug reaction, neoplasm, foreign body, infection, idiopathic, autoimmune, allergic | granulomatous inflammation | File:Crohn's disease - colon - very high mag.jpg Granuloma (WC) |
| Langhans giant cell | peripheral semi-circular eccentric nuclei[2] | tuberculosis, sarcoidosis. | not to be confused with Langerhans cells, Named after Theodor Langhans | |
| Osteoclast-like giant cells | multiple bland central nuclei, ruffled cell membrane. | osteoclasts, others | AKA osteoclast-type giant cells |
See also
- Basics.
- Giant cell lesions - includes a DDx of lesions with giant cells.
- Histiocytoses.
References
- ↑ URL: http://granuloma.homestead.com/giant_cells.html. Accessed on: 7 February 2011.
- ↑ 2.0 2.1 Borley, Neil R.; Warren, Bryan F. (2007). Instant Pathology (1st ed.). Wiley-Blackwell. pp. 7. ISBN 978-1405132909.