Traumatic ulcerative granuloma with stromal eosinophilia
(Redirected from TUGSE)
Jump to navigation
Jump to search
| Traumatic ulcerative granuloma with stromal eosinophilia | |
|---|---|
| Diagnosis in short | |
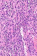
|
TUGSE. H&E stain. (WC/Nephron) | |
|
| |
| LM | stromal eosinophils and lymphocytes, ulceration. |
| LM DDx | diffuse large B-cell lymphoma, lobular capillary hemangioma (pyogenic granuloma), granulation tissue |
| Site | head and neck - usually tongue |
|
| |
| Prevalence | uncommon |
| Prognosis | benign |
Traumatic ulcerative granuloma with stromal eosinophilia, abbreviated TUGSE, is a benign lesion of the oral mucosa.[1]
It is also known as traumatic ulcerative granuloma with stromal eosinphils, eosinophilic ulcer of tongue and traumatic eosinophilic granuloma.
General
- Benign.
- Obscure lesion that is not widely known.[2]
Gross
- Usually tongue ~ 2/3 of cases.[3]
Microscopic
Features:[2]
- Stromal eosinophils and lymphocytes.
- Ulceration.
DDx:
Images
Sign out
Lesion, Right Tongue, Excisional Biopsy:
- Traumatic ulcerative granuloma with stromal eosinophilia (TUGSE), see comment.
- NEGATIVE for malignancy.
Comment:
TUGSE is an uncommon benign lesion of the oral mucosa.
See also
References
- ↑ Hirshberg, A.; Amariglio, N.; Akrish, S.; Yahalom, R.; Rosenbaum, H.; Okon, E.; Kaplan, I. (Oct 2006). "Traumatic ulcerative granuloma with stromal eosinophilia: a reactive lesion of the oral mucosa.". Am J Clin Pathol 126 (4): 522-9. doi:10.1309/AFHA406GBT0N2Y64. PMID 16938660.
- ↑ 2.0 2.1 Sarangarajan, R.; Vaishnavi Vedam, VK.; Sivadas, G.; Sarangarajan, A.; Meera, S. (Aug 2015). "Traumatic ulcerative granuloma with stromal eosinophilia - Mystery of pathogenesis revisited.". J Pharm Bioallied Sci 7 (Suppl 2): S420-3. doi:10.4103/0975-7406.163474. PMID 26538890.
- ↑ Shen, WR.; Chang, JY.; Wu, YC.; Cheng, SJ.; Chen, HM.; Wang, YP. (Sep 2015). "Oral traumatic ulcerative granuloma with stromal eosinophilia: A clinicopathological study of 34 cases.". J Formos Med Assoc 114 (9): 881-5. doi:10.1016/j.jfma.2013.09.012. PMID 24269143.