Cholesterol polyp of the gallbladder
(Redirected from Cholesterol polyp of gallbladder)
Jump to navigation
Jump to search
| Cholesterol polyp of the gallbladder | |
|---|---|
| Diagnosis in short | |
|
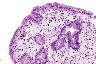
Cholesterol polyp of the gallbladder. H&E stain. | |
|
| |
| LM | foamy macrophages in lamina propria of polypoid lesion |
| LM DDx | cholesterolosis of gallbladder, xanthogranulomatous cholecystitis |
| Gross | polypoid lesion of gallbladder mucosa |
| Grossing notes | gallbladder grossing |
| Site | gallbladder |
|
| |
| Associated Dx | chronic cholecystitis |
| Prevalence | common |
| Radiology | polypoid lesion - projects into lumen of gallbladder |
| Prognosis | benign |
| Clin. DDx | gallbladder adenoma, other polyps |
| Treatment | surgical excision (cholecystectomy) |
Cholesterol polyp of the gallbladder is a common benign finding of the gallbladder.
Cholesterol polyp redirects here.
General
- Benign and common.
- Seen in approximately 6% of removed gallbladders.[1]
- May be detected on ultrasound.[2]
Gross
- Exophytic lesion of the gallbladder mucosa.
DDx:
Microscopic
Features:
- Foamy macrophages in the lamina propria.
- Polypoid shape - epithelium on three sides.
DDx:
- Xanthogranulomatous cholecystitis.
- Cholesterolosis of gallbladder - not polypoid.
Images
See also
References
- ↑ Terada, T. (2013). "Histopathologic features and frequency of gall bladder lesions in consecutive 540 cholecystectomies.". Int J Clin Exp Pathol 6 (1): 91-6. PMID 23236547.
- ↑ 2.0 2.1 Park, CH.; Chung, MJ.; Oh, TG.; Park, JY.; Bang, S.; Park, SW.; Kim, H.; Hwang, HK. et al. (Apr 2013). "Differential diagnosis between gallbladder adenomas and cholesterol polyps on contrast-enhanced harmonic endoscopic ultrasonography.". Surg Endosc 27 (4): 1414-21. doi:10.1007/s00464-012-2620-x. PMID 23233003.