Hemangioblastoma

From Libre Pathology
Revision as of 13:57, 19 March 2025 by Michael (talk | contribs)
(diff) ← Older revision | Latest revision (diff) | Newer revision → (diff)
Jump to navigation Jump to search

Hemangioblastoma is a low grade brain tumour tumour typically found the cerebellum.

Hemangioblastoma
Diagnosis in short

Cerebellar hemangioblastoma.

LM vascular tumour with large polygonal stromal cells with hyperchromatic nuclei and vacuolar cytoplasm
LM DDx metastatic clear cell renal cell carcinoma
IHC alpha-inhibin +ve, NSE +ve, EMA -ve
Site brain - usu. cerebellum

Syndromes von Hippel-Lindau disease

Prognosis good (WHO grade I)

General

  • Usually cerebellar.
    • occassionally brainstem or spinal cord. Supratentorial tumors are exceptionally rare.
  • Typically in adults.[1]
  • Associated with von Hippel-Lindau syndrome.
  • Symptomatic when CSF flow is impaired.
  • WHO grade I (ICD-O: 9161/1).[2]

Macroscopy

  • Red to yellow nodules, highly vascularized.
  • 75% are cystic tumors.
    • Peripheral solid portion.


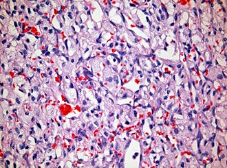
Microscopic

Features:[3]

  • Vascular.
  • Polygonal stromal cells with:
    • Hyperchromatic nuclei.
    • Vacuolar cytoplasm.
  • Occassionally extensive sclerosis.

Note:

  • Based on the stromal content, some classify the tumors as "cellular" and "reticular".[4]


DDx:

Images

www:

IHC

Features:[5]

  • Alpha-inhibin +ve (cytoplasm).
  • EMA -ve.
    • RCC typically +ve.
  • NSE +ve (nucleus + cytoplasm).
    • RCC typically -ve.
  • CK -ve.

See also

References

  1. Kassardjian, CD.; Macdonald, RL.; Munoz, DG. (Jul 2014). "Hemangioblastomas in the elderly: epidemiology and clinical characteristics.". J Clin Neurosci 21 (7): 1205-8. doi:10.1016/j.jocn.2013.10.023. PMID 24629394.
  2. URL: http://www.expertconsultbook.com/expertconsult/ob/book.do?method=display&type=bookPage&decorator=none&eid=4-u1.0-B978-1-4160-4580-9..00019-8--sc0155&isbn=978-1-4160-4580-9. Accessed on: 9 December 2010.
  3. URL: http://emedicine.medscape.com/article/340994-media. Accessed on: 23 June 2010.
  4. Hasselblatt, M.; Jeibmann, A.; Gerss, J.; Behrens, C.; Rama, B.; Wassmann, H.; Paulus, W. (Dec 2005). "Cellular and reticular variants of haemangioblastoma revisited: a clinicopathologic study of 88 cases.". Neuropathol Appl Neurobiol 31 (6): 618-22. doi:10.1111/j.1365-2990.2005.00669.x. PMID 16281910.
  5. URL: http://www.nature.com/modpathol/journal/v18/n6/full/3800351a.html. Accessed on: 9 December 2010.